Cariesforebyggelse

  English version under construction.

Tandlæge Benny Kaufmann Solbirk

Fluor, vidundermiddel eller unødvendig kemi, der forsinker cariesforebyggelsen. Læs hvordan forskerne stadig anbefaler fluor, selvom al forskning viser, at det ikke har nogen effekt på tandsundheden.

10.000 kroner
Kvaksalveri i tandplejen
Forskerne
Caries
Fluor
Plakfjernelse
Konklusion
Myter

Forord
Baggrund
Væsentlig forskning
Probiotika
Fluorid
Slid kontra Caries
Anbefalinger
Cariesbehandling
Forfatteroplysninger

10.000 kroner.

Tilbage til start

10.000 danske kroner udloves til den første, der uigenkaldeligt kan bevise påstanden:

»man får huller, hvis man ikke bruger fluor«.

»man får huller, hvis man ikke bruger fluor« og »bakterier hjælper dig til nul huller« er blot to uhyrlige udsagn fra skrupelløse forskere og firmaer, der skader tandsundheden. De har ikke skyggen af beviser, men det skæpper godt i kassen, når de kan få folk til at skrue ned for mundhygiejnen, og skrue op for fluor og gode bakterier. Både fordi der er penge i tandpasta og probiotika, og fordi tandlægerne får mere at lave.

Er det virkelig sådan, at alle er dømt til at få caries på alle tandoverflader, hvis man fjerner al fluorid fra tandpasta, kost og drikkevarer? Eller er denne løgn blot en blandt mange, fremsat af bedragere og kvaksalvere, der i generationer har vildledt en flok abekatte uden selvstændig tankevirksomhed, til enorm skade for tandsundheden?

Heldigvis falder stadig færre for den slags svindel og humbug. Andelen af cariesfri unge er mere end tredoblet i perioden 1988-2011. Cariesfriheden har de opnået på nøjagtig samme måde, som mennesker og dyr i naturen har undgået caries gennem millioner af år; nemlig ved med regelmæssige mellemrum, at fjerne årsagen til caries, de bakteriebelægninger, der sætter sig på tænderne, plakken. I naturen foregår det ved at bruge tænderne til at tygge store mængder af grov kost. Hos det moderne menneske foregår det med tandbørste og tandtråd.

Danmark ville forlængst have været cariesfrit, og vi ville have været godt igang med at hjælpe resten af verden til cariesfrihed, hvis vi ikke var blevet bombarderet med spredehagl af løgne fra tandplejen i form af blandt andet fluor- og sukkerkampagner.

Forskerne siger selv, at fluor ikke kan standse caries (fluorid sænker progressionshastigheden), at det ikke kan forhindre at caries opstår, at fluorid virker ved en remineralisationsproces (en sådan forudsætter en demineralisation), og at det skal tilføres regelmæssigt, fordi effekten er lokal (topical). Med andre ord kan fluorid ikke forebygge, men kun behandle caries. Det virker kun når der er sygdom, under caries-demineralisationsprocessen.

Alle fakta viser, at fluorid ikke har noget med cariesfrihed at gøre. Og cariesfrihed er det vi ønsker for risikopatienterne og alle andre. Netop for risikopatienterne er forskernes forbryderiske udtalelser gift. Når man har set små børn med masser af huller, skrigende af smerter og angst i tandlægestolen; og man ved, at fluor er medvirkende årsag, fordi det får folk til at slække på plakfjernelsen. Så undrer man sig over, at myndighederne tillader, at kvaksalvere, der burde sidde bag tremmer, går frit omkring. At kalde det videnskabelig uredelighed er århundredets underdrivelse.

Når det er så vigtigt skyldes det, at betydningen af optimal plakfjernelse som kernen i cariesforebyggelsen, ville have langt større betydning for tandsundheden end alt andet i tandplejen gennem de sidste 100 år. Tandplejens evne til at optimere plakfjernelsen hos befolkningen er det eneste der har betydning for tandsundheden og cariesfrihed. Alt andet, inkluderet sukker og fluor, har kun betydning for cariesprogressionshastigheden. Og i tandsundhedssammenhæng er det skadeligt, fordi det blot er distraktion.

Effekten af selv en lille forbedring i plakfjernelsen er af langt større betydning end selv drastiske ændringer i fluor- eller sukkerpåvirkning. Derfor ses så store forskelle i cariesforekomst helt uafhængigt af fluor og sukker, og derfor bør tandplejen udelukkende beskæftige sig med plakfjernelse som cariesforebyggelse (og forebyggelse af tandkødssygdomme).

Når vi ser et cariesangreb, og få millimeter derfra ser en sund overflade på samme tand. Når vi ser drengen med caries, og naboens dreng cariesfri. Når vi ser en befolkning, der er præget af caries, og en cariesfri nabobefolkning. Så er det der gør forskellen regelmæssig plakfjernelse. Det har intet med fluor eller sukker at gøre.

Befolkningen har krav på svar, på helt basale spørgsmål. Og spørgsmålene forsvinder ikke, bare fordi de ikke bliver besvaret. Det burde være en smal sag for de troende.

  1. Der er aldrig nogensinde lavet undersøgelser, der viser at fluorid kan give cariesfrihed, eller at fluorid er nødvendigt for at undgå caries. Undersøgelserne gør det ikke muligt, at skelne mellem effekten af fluorid og effekten af plakfjernelse.
  2. Hvordan forklare stigningen i andelen af cariesfri, uden ændringer i fluorpåvirkning? (Ingen undersøgelser viser at fluoridforbruget er øget, eller at de cariesfrie bruger tandpasta med højere fluoridindhold i perioden 1988-2011, hvor andelen af cariesfri er mere end tredoblet).
  3. Hvordan forklare cariesfrihed i naturen? (Dyr i naturen er cariesfri, også i områder med meget lav fluorforekomst).
  4. Hvorfor er cariesforekomsten ikke steget efter ophør af vandfluorideringer og fluorskylninger? (Efter ophør af fluorskylninger i danske skoler er cariesforekomsten ikke steget, tværtimod).
  5. Hvordan kan det være at børn kan holdes cariesfri med lavere fluoriddoser? (For at undgå dental fluorose anbefales lave fluoriddoser til små børn, alligevel kan de holdes cariesfri).
  6. Hvorfor har de cariesfrie lavere fluor-indhold i mundhulen end risikopatienterne? (fluorid findes i større koncentrationer i plak og i carieret emalje).
  7. Kan de bevise, at der eksisterer et eneste cariesfrit individ, hvor regelmæssig plakfjernelse kan udelukkes som hovedårsag til cariesfriheden?
  8. Kan de vise, at sukkerforbruget er faldet, eller at de cariesfri spiser mindre sukker end risikopatienterne?
  9. Det evolutionære rationale bag glatte tandoverflader. (Glatte tandoverflader er naturens metode til at besværliggøre plakdannelse på de flader, der ikke er udsat for kraftig mekanisk påvirkning (tygning) i naturen).
  10. Kan de bevise at dyr i naturen kun har bakterier i mundhulen, der ikke kan give caries (økologisk biofilm antyder, at individer med økologisk biofilm ikke kan få caries, selvom de får samme kost som moderne mennesker)? Er der nogen bakterier som er nødvendige for vores sundhed, og som kun kan eksistere på tandoverflader?
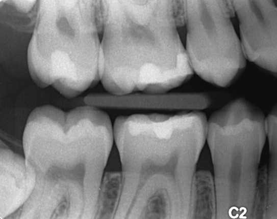
  11. I 2004 havde 15-årige i Langebæk kommune med mere end 1 ppm fluorid i drikkevandet, en DMF-S på 3,29; begge dele langt over landsgennemsnittet. Hvordan lyder anbefalingen her? Skal de så have mere fluorid i tandpastaen?
  12. Dean fandt i 1942 blandt 12-14 årige i områder med allerhøjst drikkevandsfluorindhold en gennemsnitlig DMF-T, der ingen steder kom under 2. I Danmark er det i dag kun de allerdårligste kommuner, der har en gennemsnitlig DMF-T på mere end 2, blandt 12-14 årige, selv i områder med meget lavt fluorid-indhold i drikkevandet.
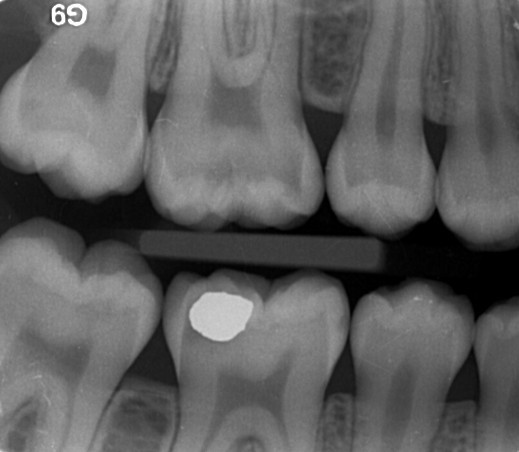
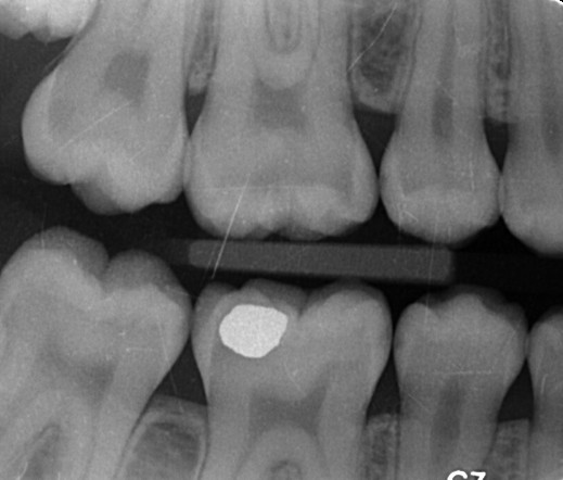
  13. I Nexø kommunale tandpleje er andelen af cariesfri 5-årige mere end fordoblet fra 29,2 % til 75,95 % i perioden 1978-2004. def-s faldt fra 6,2 til 0,62. Blandt 15-årige steg andelen af cariesfri fra 0,7 % til 79,29 %, og DMF-S faldt fra 16,9 til 0,56 i perioden 1980-2004. Det er mere end 100 gange så mange cariesfrie, og en DMF-S reduceret til 1/30. Fluorindholdet i drikkevandet har altid været relativt højt i Nexø, og det var det også i 1980. Den eneste mulige forklaring på ændringerne er bedre plakfjernelse.

Ingen har nogensinde fået huller på grund af fluormangel. Det er kun mangelfuld plakfjernelse, der kan give huller i tænderne. Fluor, sukker og alt andet kan kun være medbestemmende til at afgøre hvor hurtigt sygdommen udvikler sig, når plakfjernelsen er utilstrækkelig. Der er aldrig nogensinde etableret en sammenhæng mellem minumumfluorpåvirkning og caries.

Når der er caries, har fluorid betydning for hvor hurtigt sygdommen udvikler sig. Skal sygdommen standses, kan det kun ske med regelmæssig plakfjernelse. Når der ikke er caries, har fluorid ingen betydning overhovedet. Historisk har fluorid været en fordel i samfund præget af stor uvidenhed og med meget caries. Men årsagen til at vi står foran udryddelsen af caries, har ikke noget med fluor at gøre.

Sukker er ikke sundt, og vi spiser alt for meget sukker. Men sukker giver ikke huller i rene tænder. Plakken og biofilmen på tænderne er i høj grad afhængig af hvad vi spiser. Men regelmæssig plakfjernelse er af langt større betydning for bakteriesammensætningen i biofilmen, og gør at den aldrig bliver cariesfremkaldende. Både når det drejer sig om den enkelte tandoverflade, det enkelte individ, og på populationsbasis, så er regelmæssig plakfjernelse den eneste og mest effektive cariesforebyggelse.

Kvaksalveri og uredelighed i tandplejen

Tilbage til start

10.000 danske kroner udloves til den første, der uigenkaldeligt kan bevise påstanden:

»man får huller, hvis man ikke bruger fluor«.

Når plakken (de bløde bakteriebelægninger) fjernes fra tandoverfladen dagligt kan der ikke opstå caries (huller i tænderne). Der kommer ikke hul i en ren tand. Andelen af unge danskere uden caries er flerdoblet indenfor en generation. Årsagen til at stadig flere er cariesfrie er forbedret mundhygiejne. Cariesfriheden skyldes ikke at der spises mindre sukker, eller at kosten har ændret sig på andre måder. Det er heller ikke fluor der er årsagen til cariesfrihed. Når man lytter til tandlægeskolerne og tandplejen er budskaberne dog helt anderledes, og faktorer som sukker og fluor får fremtrædende roller. På Tænk's hjemmeside kan man læse: »man får caries, hvis man ikke bruger fluor«. Og på videnskab.dk kan man læse: »Bakterier hjælper dig til nul huller«.

I 2011 var andelen af cariesfrie 15-årige mere end tre-doblet på 23 år. Mere end halvdelen af alle 15-årige danskere er cariesfrie i 2011. Når massive ændringer i sygdomsforekomsten sker indenfor meget kort tid, er det et tegn på at der er tale om ændringer i helt centrale faktorer. Når det drejer sig om caries er den eneste helt centrale faktor tilstedeværelsen eller fraværet af sygdomsårsagen (plakken). Bedre plakfjernelse med bedre hjælpemidler, mere fokus på tandbørstning og tandtråd er årsagen. Ingen andre faktorer kan forklare ændringerne, heller ikke fluor. Fra Tandlægebladets temanummer om caries 2013, side 206.

Med kampagner og anbefalinger om fluor og sukker er der sat spørgsmålstegn ved tandplejens reelle hensigter. Det er kun regelmæssig plakfjernelse der kan give cariesfrihed. Alle andre metoder kan kun medføre en sænket cariesprogressionshastighed. Sålænge der er plak på tænderne vil der være caries. Uden plak er der ingen caries, helt uafhængigt af fluor og sukker. Stadig flere er cariesfrie, en cariesfrihed som helt uden tvivl er opnået ved bedre plakfjernelse. Men der er stadig risikopatienter med caries som har brug for bedre regelmæssig plakfjernelse. Den plak der er årsagen til caries på risikopatienternes tænder, har de netop på grund af den forvirring som kvaksalverne skaber omkring plakfjernelse med sukker og fluor. De har ikke skyggen af bevis for at de cariesfri bruger mindre sukker eller mere fluor. Vi burde for længst have været cariesfrie allesammen. Men sålænge kvaksalverne får lov til at udbrede deres løgne, vil der være ofre der falder for dem. Små børn vil til stadighed komme grædende til tandlægen med huller i tænderne forårsaget af plak der ikke er blevet fjernet på grund af de skadelige fluor- og sukkerkampagner.

Med usædvanlig snilde og ihærdighed har kvaksalverne i snart 100 år haft held til at vildlede alt og alle. De fleste ved godt at der ikke kommer hul i en ren tand. Plak er en absolut nødvendig forudsætning for caries og regelmæssig fjernelse af plakken er den eneste metode til at standse og forhindre caries. Fremfor at forske i hvordan vi bedst får fjernet mest mulig plak fra tænderne, har kvaksalverne misbrugt ressourcerne på at multifaktorialisere cariessygdommen. I en eufemistisk mirakelkur er plak blevet til biofilm, der skal vedligeholdes i et tyndt lag fremfor at fjernes. Multifaktorialiseringen omfatter blandt andet fluor, metabolismehæmmere, kost, sukker, probiotika, økologi, tandpasta, gener, spyt, tandstilling, økonomi, social status, uddannelse, fødselsmetode, samt et hav af andre variable, som tillægges forskellig vægt. Fælles for alle disse faktorer er at ingen af dem kan fremkalde caries på en ren tandoverflade. Og vigtigere, når der er caries, er det allerbedste vi kan opnå med plakbevarende cariesbekæmpelse langsommere cariesprogression, ingen af dem kan standse caries. Samlebetegnelsen for alle disse faktorer er plakbevarende (på kvaksalversprog hedder det biofilmkontrollerende eller biofilmvedligeholdende) cariesbekæmpelse, fordi plak på tandoverfladen og/eller sygdom er en absolut nødvendig forudsætning for at alle disse faktorer kan have betydning for caries. På en ren tandoverflade er alle disse faktorer helt uden betydning.

I skarp kontrast til den plakbevarende cariesbekæmpelse er den årsagsfjernende cariesforebyggelse. Når plakken fjernes fra tandoverfladen med regelmæssige mellemrum er alle andre faktorer helt uden betydning. Når der ikke er plak på tandoverfladen vil et igangværende cariesangreb også gå i stå. Tilstedeværelsen af plak er en forudsætning for caries og plak kan fremkalde caries, helt uafhængigt af alle andre faktorer.

Den rene tand. Når caries stiger hos ældre er det ikke på grund af tiltagende fluormangel. Fluormangel ikke årsag til carieseksplosion omkring år 1900. Dyr i naturen har ikke brug for fluor. Myten om den sidste plak. Et af de stærkeste argumenter for brugen af fluor er at der altid vil være plak tilbage på tænderne, at tænderne aldrig kan blive helt rene. Uanset hvor godt vi børster og uanset hvilke hjælpemidler vi bruger vil der altid være et sted med plak. Og der vil altid være individer som ikke formår at få fjernet al plak. Da vi aldrig vil opnå helt rene tænder hos alle, er det en god ide at give op på forhånd. Mere end halvdelen af unge danskere er cariesfri fordi de får fjernet plak nok til at være cariesfri. Risikopatienterne får ikke huller på grund af fluormangel, men på grund af mangelfuld plakfjernelse. Men hvorfor gå efter helt rene tænder? Så ville kvaksalverne jo ikke kunne tjene penge på fluorprodukter og anden plakbevarende cariesbekæmpelse. Selvom vi aldrig kan opnå helt rene tænder, så er det de rene tænder der er målet. Plakbevarende cariesbekæmpelse kan allerhøjst resultere i langsommere cariesudvikling, aldrig i cariesfrihed. Når dyr i naturen er cariesfri, så er det ikke fordi de er plakfri. Men det slid som tænder udsættes for i naturen med regelmæssige mellemrum trænger plakken så langt tilbage at den ikke er sygdomsfremkaldende, uanset fluorniveau og sukker. Man kan også se det fra patientens synspunkt. Hvorfor spilde tid på at børste tænderne lidt bedre og på den måde undgå caries, når man lige så godt kan bruge fluor eller anden plakbevarende cariesbekæmpelse og få sygdommen til at udvikle sig langsommere. Sålænge der er plak på tænderne er det plakfjernelsen der skal optimeres. Først når vi er gode nok til at fjerne plakken kan alle blive cariesfrie. Og når vi er cariesfrie er alle plakbevarende cariesbekæmpelsesmetoder betydningsløse.

Fremfor at finde ud af hvorfor dyr i naturen er cariesfrie i meget fluorfattige omgivelser. Fremfor at finde ud af hvorfor risikopatienter har mere fluor i munden end de cariesfri.

Hvor skal vi hen?

Når mere end halvdelen af unge danskere er cariesfri, en andel der er flerdoblet indenfor få årtier, er det vigtigt at forstå hvad der adskiller de cariesfri fra alle andre. Når det er sådan at en stigende andel af befolkningen er sygdomsfri er det klart at løsningen skjuler sig lige foran næsen på os (hiding within plain sight). Ifølge svindlerne er denne løsning multifaktoriel. De væsentlige faktorer er tandbørstning med fluortandpasta, probiotika til kontrol af bakteriefloraen, reduktion i sukkerindtaget, samt andre forhold som spyt og gener. Nu er der ikke noget galt i at spise mindre sukker, tværtimod. Medens man nok kan betvivle fordelene ved at øge fluorpåvirkningen. Umiddelbart er der heller ikke noget galt i at spise sundere ved for eksempel at spise mere probiotika. Men hvis det er sådan at nogle tjener penge på fluor, probiotika og sukkererstatninger i cariesforebyggelsens tegn, og det viser sig at det ikke er løsningen eller en del af løsningen, så er det kvaksalveri. Hvis anklagen om kvaksalveri skal modbevises, så skal det bevises at regelmæssig plakfjernelse alene ikke kan forårsage cariesfrihed. Vi ved godt at der ikke kommer hul i en ren tand. Det vil sige at hvis plakken fjernes fra en tandoverflade med regelmæssige mellemrum (en gang om dagen) lige fra tandfrembrud, så kan der ikke opstå caries på denne overflade. Men er det alligevel sådan at caries kan opstå på en ren tandoverflade hvis der ikke er små mængder af fluorid i omgivelserne eller hvis man ikke spiser probiotisk yoghurt ved siden af? Kan der godt komme hul på en helt ren tandoverflade, hvis der er for lidt fluor eller for meget sukker? Hjælper vi risikopatienterne ved at skyde med spredehagl, fordi fluor er absolut nødvendigt for at de kan blive cariesfrie? Er vi alle helt afhængige af små mængder af fluor for at undgå huller, eller anser kvaksalverne blot risikopatienterne for at være så uhjælpelig dumme, at de skal have støttepædagoger i form af kvaksalvernes spredehagl fordi de aldrig vil kunne finde af at børste tænderne godt nok? Der er ingen tvivl om at unge i områder med meget højt fluoridindhold i drikkevandet havde mindre caries i 1942. De havde også mere dental fluorose. Idag ved vi at en ren tand er en cariesfri tand uanset at der ikke findes en fluorion i miles omkreds. Forskellen mellem de cariesfrie og alle andre er en tilstrækkelig god mundhygiejne. Når mundhygiejnen er tilstrækkelig god, så er alle andre faktorer helt uden betydning. En risikopatient der skal gøres cariesfri har derfor ikke brug for fluor. Fluor kan ikke give cariesfrihed, det kan kun regelmæssig plakfjernelse. Så det risikopatienten har brug for er bedre mundhygiejne, ligesom de cariesfrie. De cariesfrie bruger heller ikke mere fluor end alle andre, tværtimod.

Nu går det jo den rigtige vej, så hvad kan det skade at en flok kvaksalvere forsøger at tjene penge på løgne og vildledning. Det går ud over nogen når tandplejen forbryder sig mod helt grundlæggende videnskabelige principper og skader tandsundheden. Ofrene er risikopatienterne. Der findes ikke nogen bedre undskyldning for mangelfuld mundhygiejne end tandplejens multifaktorielle spredehagl. Risikopatienterne benytter sig af alle de undskyldninger, de kan komme i nærheden af, og her er tandplejens løgne de giftigste.

Men hvordan kan det være at kvaksalverne i over 50 år har kunnet føre hele befolkningen og forskerverdenen bag lyset? Hvad er caries, og hvorfor får vi huller? Hvordan virker fluor, og hvad er dets begrænsninger?

Årsagen til caries er, at moderne kost slider mindre på tænderne. Reduktionen i slid medfører, at den cariesfremkaldende plak kan sidde længere og i større mængder. I 1960 kan man i Journal of Dental Research læse: »Dental caries has been one of the most widely studied diseases of mankind, but it was not until 1954 that Orland et al. using germ-free rats maintained on a cariogenic diet provided unequivocal evidence that experimental caries does not occur in the absence of micro-organisms«. Caries kan ikke opstå uden bakterier.

I 1980'erne viste professor Thylstrup på Tandlægeskolen, at uforstyrret plak gav alle forsøgspersoner caries i løbet af fem uger, samtidig med at plakfjernelse én gang om ugen helt kunne forhindre caries hos alle forsøgspersoner. Selvom alle forsøgspersoner havde cariesfremkaldende bakterier ifærd med at lave hul i tænderne, kunne plakfjernelse én gang om ugen forhindre caries. Altså var det muligt både at fremkalde og forhindre caries helt uafhængigt af fluorid, sukker, spyt, probiotika, økologisk biofilm og arv.

Hvor regelmæssig plakfjernelse både kan forhindre at caries opstår og standse et igangværende cariesangreb, så kan alle andre faktorer og foranstaltninger kun påvirke sygdommens udviklingshastighed, når mundhygiejnen er mangelfuld. Når tænderne er tilstrækkelig rene, som de er det hos mere end halvdelen af unge danskere, så er alle andre faktorer helt uden betydning. Caries er ikke en multifaktoriel sygdom; den eneste faktor, der har afgørende betydning for om caries kan opstå, er tilstedeværelsen eller fraværet af plak.

Da fluorids cariesbegrænsende effekt blev kendt i begyndelsen af det 20. århundrede, var regelmæssig plakfjernelse nærmest et ukendt begreb. Industrialiseringen havde medført at vi kunne dække vores kaloriebehov, uden at kosten sled på tænderne. Og kun de færreste var begyndt at fjerne plakken systematisk. Da Dean i 1940'erne sammenlignede unge i forskellige byer i USA var den eneste forskel drikkevandets fluoridindhold, og han fandt en stærk sammenhæng mellem fluorid og caries. Det er dog vigtigt at bemærke, at selv i de byer som havde allermest fluorid i drikkevandet, var der stadig mere caries end vi har i Danmark i dag.

Et mesterstykke i bedrag. Deans undersøgelser fra 1942 af sammenhængene mellem caries, fluor og dental fluorose i 13 amerikanske byer. Af uransagelige årsager er 0-punktet for fluorose henlagt til en cariesforekomst på 3 DMF-T. Herved opnås et skæringspunkt mellem de to linier svarende til et fluoridindhold i drikkevandet på 1 ppm (det såkaldt optimale fluorindhold). Ingen af byerne havde en gennemsnitlig DMF-T blandt 12 til 14 årige på mindre end 2. I dagens Danmark betragtes dette som en meget høj cariesforekomst. Årsagen er at mundhygiejnen i USA i 1942 var ekstrem dårlig, en faktor som der slet ikke er taget højde for.

Fluorid virker ved at forbinde sig med noget af det mineral der opløses i cariesprocessen og genudfældes i tandoverfladen. Nettotabet af mineral i den cariesramte tand over en given periode vil være mindre, og cariesprocessen vil forløbe langsommere. Fluorid kan hverken standse caries eller forhindre at sygdommen opstår. Og der er aldrig lavet forskning, som viser noget andet.

Når man nu ønsker at løse et problem (caries), hvorfor så ikke forsøge at løse flere problemer på en gang? Ved at kombinere noget der forhindrer caries (tandbørstning) med noget der får cariesprocessen til at forløbe langsommere (fluor), er det muligt at få cariesforekomsten til at falde langsomt og samtidig tjene penge på fluortandpasta. Sammenblandingen af fluor og plakfjernelse er et uhyre raffineret svindelnummer. Svindelen går ud på at skabe uklarhed om cariesforebyggelse, ved at gøre cariessygdommen multifaktoriel. Sålænge svindlerne kan holde gang i en debat om alt muligt andet end optimal plakfjernelse, vil der være risikopatienter som benytter det som undskyldning til at skrue ned for mundhygiejnen. Og sålænge kan svindlerne tjene penge på behandlinger.

Med andre ord ville det være overordentligt svært at finde en fluorfri befolkningsgruppe til videnskabelige undersøgelser. En skelnen mellem effekten af de forskellige faktorer bliver sløret. I et normalt forskermiljø ville en afdækning af de enkelte faktorers betydning være ønskværdig. Men blandt svindlerne er det modsatte tilfældet.

Farvestoffer til afsløring af plak på tænderne. Selv efter tre uger uden tandbørstning er der plakfri områder. Et område uden plak er et cariesfrit område. Med regelmæssig brug af tandbørste og tandtråd er det muligt helt at fjerne cariestruslen. Kun steder hvor plakken ikke fjernes regelmæssigt kan der opstå caries. I naturen er det den grove kost der fjerner plakken. Glatte tandoverflader er en evolutionær genistreg, der letter plakfjernelsen på de flader der udsættes for mindre slid. Formålet med regelmæssig plakfjernelse er at få fjernet plakken fra de tandoverflader, hvor almindelig tygning ikke fjerner plakken (plak-stagnations-områderne). (Else Theilade).

Der er aldrig nogensinde blevet fastlagt brugbare standarder for tændernes renhed. Vi ved derfor ikke om vi er blevet bedre til at børste tænderne. Det ville også være svært at fastlægge sådanne standarder fordi tænderne ikke nødvendigvis behøver at være rene hver dag. Og der er heller aldrig blevet fastlagt et minimum for fluorpåvirkning, under hvilket caries vil være uundgåelig.

Formålet er selvfølgelig, at finde årsagen til den drastiske forbedring i tandsundheden, der kan iagttages i Danmark i de sidste årtier. Der findes nemlig stadig lande med meget caries. Hvis tandsundheden havde været uændret, ville det ikke være så interessant. Men når meget store ændringer sker på meget kort tid, vil der være faktorer, der på forhånd kan udelukkes som årsag. For eksempel kan ændringer i arvemassen udelukkes som årsag. Det betyder ikke at gensammensætningen er uden betydning for caries hos enkelte individer, men generne er uden betydning for ændringerne i cariesforekomsten i befolkningen.

Vi må herefter se om der er sket ændringer i andre faktorer der menes at påvirke cariessygdommen, som vil kunne forklare udryddelsen af caries. Et formindsket sukkerindtag er oplagt, at undersøge. Men intet tyder på at vi indtager mindre sukker, og at dette skulle være forklaringen, eller en del af forklaringen på at caries forsvinder. Selvom sukker altså af mange er blevet udråbt som ærkeskurken, så kan sukker ikke gøre skade på en ren tand. Og man kan godt få huller i tænderne selvom man ikke indtager sukker gennem mundhulen; det ser man for eksempel hos coma-patienter, der får sondemad.

På samme måde er det muligt at udelukke alle de andre faktorer i svindlernes multifaktorielle opspind. Hverken enkeltvis eller i kombination kan de forklare noget. Og vi vender tilbage til fluor og plakfjernelse. Er der ændringer i vores omgang med fluor, der vil kunne forklare den øgede tandsundhed? Der er to sider af fluor. Det ene er om svindlerne kan vise at vi påvirkes af stadig mere fluor, eller at den fluor som vi udsættes bliver stadig mere effektiv. Det andet er om de overhovedet har en hypotese der kan forklare hvordan fluor skulle kunne give cariesfrihed.

Der er ikke blevet fremlagt beviser på at vi udsættes for mere fluor eller at fluor er blevet mere effektiv. Til gengæld kan man heller ikke modbevise det. I de senere år har svindlerne forsøgt sig med at anbefale tandpastaer med et højere fluoridindhold. Hvor der tidligere var omkring 1.000 ppm fluorid i tandpastaen, anbefales nu 1.500 ppm fluorid. Vi ved dog ikke noget om forbruget af fluortandpasta, hverken hvad angår fluormængder eller om brugere af tandpasta med meget fluor har færre huller.

Nogle ting ved vi dog helt sikkert. Fluorid kan ikke forhindre caries, fordi fluorid virker ved en remineralisationsproces når der allerede er caries. Cariesfrie har mindre fluor i mundhulen fordi fluor ophobes i plak og cariesramt emalje. Derfor er det usandsynligt at en øget fluorpåvirkning har betydning for antallet af cariesfrie. Dette underbygges yderligere af, at der ikke findes nogensomhelst teoretiske eller praktiske forklaringer på sammenhæng mellem fluor og cariesfrihed.

Den eneste mulige forklaring på eksplosionen i cariesfrihed, er forbedret regelmæssig plakfjernelse. Derfor er cariesforekomsten ikke steget efter at fluorskylningerne i skolerne ophørte. Derfor er dyr i naturen cariesfrie, selv i meget fluorfattige omgivelser. Derfor kan vi også finde høje cariesforekomster i områder med højt fluoridindhold i drikkevandet. Og derfor kan små børn holdes cariesfri selvom mindre fluor anbefales. Selv under forhold hvor vi med sikkerhed kan sige at fluorpåvirkningen har været lav eller lavere, har det ikke betydet mere caries, tværtimod. Alle andre faktorer er uden betydning for de ændringer vi kan iagttage. Det betyder ikke at nogle ikke kan være genetisk disponeret for at få mindre caries. Eller at man ikke får huller i tænderne når man spiser sukker med beskidte tænder. Eller at hullerne ikke udvikler sig langsommere når der er fluor. Men når andelen af cariesfrie unge er mere end tredoblet siden 1988, så er årsagen udelukkende bedre plakfjernelse.

Hvis man i 1800-tallet og begyndelsen af 1900-tallet havde kunnet konstatere en tiltagende mangel på fluor i omgivelserne som en årsag til at cariesforekomsten dengang steg ukontrollabelt mange steder, så kunne man tale om at genoprette en naturlig balance ved igen at øge fluorpåvirkningen. Men der er ingen tegn på at caries skulle være helt eller delvist forårsaget af akut eller kronisk fluormangel. Tværtimod. Den balance der skal genoprettes er en balance hvor tandoverfladerne med jævne mellemrum udsættes for mekaniske påvirkninger der kan fjerne plakken. Både fordi regelmæssig plakfjernelse er den eneste form for cariesforebyggelse der med garanti kan udrydde caries og fordi det er den balance der altid har begrænset truslen fra caries.

På den ene side har vi en flok kvaksalvere der ustraffet fremkommer med uunderbyggede påstande som promoverer en multifaktoriel tilgang til cariesforebyggelse på bekostning af optimal plakfjernelse. Med udsagn som: børst tænder med fluortandpasta, man får huller af sukker eller hvis man ikke bruger fluor, bakterier beskytter mod huller, og tandlæger der ikke mener at tænderne er blevet renere, Udsagn som på den ene eller anden måde alle er med til at skabe tvivl om effekten af plakfjernelse, en tvivl som risikopatienterne bruger som den ultimative undskyldning. De skader både cariesforebyggelsen og kampen mod tandkødssygdomme.

På den anden side har vi en virkelighed med stadig mere fokus på tandbørstning og øget brug af tandtråd. En virkelighed uden tegn på at vi bruger mindre sukker eller mere fluorid. Hvis mennesket og andre dyr havde været afhængige af fluor for at undgå caries ville verden og tænderne have set helt anderledes ud. De kræfter der har betydning for om vi får caries er nogle helt andre. Hvor kvaksalverne spreder løgne om kemisk og biologisk cariesforebyggelse er regelmæssig mekanisk påvirkning af tandoverfladen den eneste rigtige cariesforebyggelse, og har altid været det. Derfor kan man standse et cariesangreb med en tæt forsegling. Ved at lakere over et cariesangreb er det muligt at standse progressionen. Så længe forseglingen er tæt hindrer den at bakterier kan etablere sig på overfladen, og sygdommen går i stå, helt uafhængigt af fluor og kost.

Tandslid under naturlige forhold. Når tænder udsættes for grov kost over lang tid vil emaljen blive slidt. Når emaljen regelmæssigt udsættes for slid vil plakken aldrig kunne blive cariesfremkaldende, fordi den hele tiden skal starte forfra. Moderne kost slider kun meget lidt på tænderne. Med regelmæssig plakfjernelse er det muligt at bevare et sygdomsfrit tandsæt med kun få slidskader gennem hele livet. Glatte tandoverflader gør det lettere at undgå sygdom på de flader hvor det naturlige slid er begrænset.

Det er det manglende slid forårsaget af blød og kalorierig kost, der er årsagen til at caries blev et stadig større problem fra 1800-tallet og frem til tandbørsten begyndte at slå igennem. Cariesforekomsten steg, og det gjorde den også i områder med meget fluor i drikkevandet, her gik det bare langsommere. Når caries ikke er noget problem i naturen så er forudsætningen at det slid som tænderne udsættes for regelmæssigt fjerner bakteriebelægningerne fra tandoverfladerne.

Emaljen dækker tandkronen og er karakteriseret ved at være kroppens hårdeste og mest slidresistente materiale. Emalje indeholder ikke levende celler og den påvirkes normalt ikke af kemi. Det er kun når bakterier får lov til at ophobes på overfladen eller den udsættes for syre i større mængder at emalje kan opløses. Emaljens tykkelse og overfladens form viser også at det er de mekaniske kræfter, der altid har haft afgørende betydning for tandsundhed. Tyggeflader har ved frembrud en meget ujævn overflade, som ved naturligt slid hurtigt udjævnes. Alle andre overflader er glatte, fordi man under almindelige forhold lettere kan holde en glat overflade bakteriefri. Det slid der gjorde at plakken med regelmæssige mellemrum blev fjernet fra tandoverfladerne medførte samtidig at nabotænder gnubbede og sled mod hinanden. Dette slid var årsagen til at der i 18-års-alderen også var plads til visdomstænderne i tandrækken. Udviklingen har altså gjort det helt klart at plak er uønsket på tandoverflader. I det hele taget har de mekaniske påvirkninger langt større betydning for at opretholde balancen i mundhulen. Man kan blot prøve at gnide en belagt tungeryg mod ganen. På den måde får man både ryddet lidt op i bakterierne på tungeryggen og i ganen.

Det risikopatienterne har brug for er regelmæssig optimal plakfjernelse. Alle andre tiltag kan ikke forhindre men kun forsinke caries. Effekten af selv en lille forbedring af plakfjernelsen overstiger langt den samlede effekt af selv drastiske ændringer i alle andre faktorer. Tandplejens anbefaling til alle i forbindelse med forebyggelse af caries og tandkødssygdomme er derfor udelukkende forbundet med optimering af den regelmæssige plakfjernelse. Det gælder om at starte tidligt, ved tandfrembrud, at fjerne plakken uden at skade tænder eller tandkød, og at være opmærksom på tyggeflader, ujævnheder, tandmellemrum, områder langs med tandkødet og fyldninger, og de bageste tænder. Når plakken fjernes dagligt har det ingen betydning for tandsundheden, hvad man spiser eller om man får fluor.

Når man lyver om effekten af fluor og på den måde opnår en økonomisk fordel, så er kvaksalveri en passende betegnelse. Befolkningen har ingen fordel af øget fluorforbrug, fordi det fjerner fokus fra den altafgørende plakfjernelse, og øger risikoen for dental fluorose. Brugen af fluor hjælper ikke nogen til at børste tænderne bedre, tværtimod. Og da bedre tandbørstning er løsningen, så er tandplejens brug af fluor skadelig. Tandlægerne er så godt indoktrineret mod fornuft, at selv de mest fanatiske talebanere ville kunne lære noget.

Projektet.

At gøre alle risikopatienter cariesfri. Man kan selvfølgelig ikke få et hul i en tand til at forsvinde, men målet er at standse caries og forhindre ny caries. Hvis vi definerer en risikopatient som en der har eller vil få caries, så består en befolkning af risikopatienter og cariesfri. På et givet tidspunkt vil et individ befinde sig i en af de to grupper. Hvis der sker ændringer for individet kan det flytte fra en gruppe til den anden. Det er en stor opgave, men vi er ikke på helt bar bund. Mere end halvdelen af alle danskere under 18 år er cariesfrie, og ser vi på dyr og mennesker i naturen udgør caries heller ikke noget problem. Mennesket har altså haft en periode med meget lav cariesforekomst, efterfulgt af en periode med meget høj forekomst, som nu igen langsomt er på vej ned. Hvilke midler er det hensigtsmæssigt at anvende i kampen mod caries?
Det er indlysende at starte med fluor som i snart 100 år er blevet hyldet som noget af et vidundermiddel indenfor cariesforebyggelsen. Vi ved at fluor kan forsinke udviklingen i et cariesangreb (sænke progressionshastigheden). Men fluor kan ikke standse et cariesangreb eller forhindre at caries opstår. Vi ved også at mangel på fluor ikke var årsagen til at cariesforekomsten steg. Vi ved for eksempel at selvom man holdt op med at tilsætte fluor til drikkevand, og selvom man holdt op med at fluorskylle i danske folkeskoler, så fortsatte cariesforekomsten med at falde. Vi har også et problem med små børn på grund af risikoen for dental fluorose, hvor fluor kan skade tanddannelsen. At øge fluortilførslen til små børn er derfor ikke en god ide. Ser vi bort fra små børn kan vi således håbe på at halvere cariesprogressionshastigheden ved for eksempel at fordoble fluorpåvirkningen. Men vi kan ikke standse caries og dermed ikke gøre nogen cariesfrie ved hjælp af fluor.
Men hvad så med kosten? Den har ændret sig, og der er ingen tvivl om kostændringer har medført en stigning i cariesforekomsten i begyndelsen af 1900-tallet. Og idag får vi mere sukker end nogensinde tidligere. Hvis vi nu kunne få alle risikopatienter til at holde helt op med at spise sukker? Har forskellen mellem risikopatienterne og de cariesfrie noget med sukker at gøre? Er det sådan at de cariesfrie slet ikke spiser sukker, men kun sund mad, og at det er derfor de ikke får huller? Selvfølgelig er det godt at spise sundt og undgå sukker, men der er ikke lavet undersøgelser der viser at cariesfrie spiser sundere. Kostændringer skal derfor være helt ekstreme, hvis vi skal kunne forvente en mærkbar påvirkning af cariesrisikoen.
Vi kunne også fodre risikopatienterne med nyttige bakterier. Mange faktorer påvirker mundhulens bakteriesammensætning. Individets gener, alder, spytsammensætning og -mængde og kost er blot et lille udvalg af de kendte faktorer. Vores mulighed for permanent at ændre bakteriesammensætningen i positiv retning er dog lille. Den faktor der ubetinget har størst betydning for plakkens sammensætning på tandoverfladen er regelmæssig fjernelse af plakken. De bakterier der kan etablere sig på en sund og ren tandoverflade er nogle helt andre end de som kan findes i en veletableret plak. De første er uskadelige, medens en veletableret plak før eller senere vil føre til caries.
Vi kunne selvfølgelig prøve med noget genmanipulation. Der er ingen tvivl om at arvemassen hos nogle personer har betydning for deres cariesrisiko. Det betyder ikke at de er immune overfor caries, men at eller andet i deres gener har betydning for deres spyt og andre faktorer der igen påvirker bakteriesammensætningen i deres plak og dermed deres cariesrisiko. Selvom vi i fremtiden muligvis vil kunne mindske cariesrisikoen med kostændringer og genmanipulation, så vil vi ikke kunne opnå cariesfrihed. Det er heller ikke kosten og generne der adskiller risikopatienterne fra de cariesfrie.
Alle de faktorer vi har set på indtil videre kan mindske cariessygdommens udviklingshastighed, men ikke give cariesfrihed. Hverken enkeltvis og uanset indsatsens størrelse eller i nogen kombination er det muligt at disse faktorer kan eller har medført cariesfrihed.
Den sidste faktor er regelmæssig plakfjernelse. Kan regelmæssig plakfjernelse alene eller i nogen kombination føre til cariesfrihed, og er det vejen frem hvis alle skal gøres cariesfrie? Det er nødvendigt at etablere nogle meget stærke sammenhænge. Sammenhængen mellem tilstedeværelse af plak og opståen af caries. Og mellem fravær af plak og fravær af caries. Sammenhængen mellem aktivt slid og fravær af plak og dermed caries. Sammenhængen mellem lokalisation af plakken og lokalisationen af caries. På grund af kvaksalvernes forbryderiske virke, er der ikke lavet undersøgelser der muliggør en relevant skelnen mellem de forskellige faktorer.
Ser vi på kranier af menneskets tidligste forfædre og sammenligner med kranier fra moderne mennesker er det tydeligt at tidlige mennesker brugte tænderne meget mere end vi gør i dag. Der ses tydeligt slid på tænderne, et slid der tiltog gennem hele livet. Hos moderne mennesker er det sjældent at slid er så udtalt, og når det ses er det som oftest en følge af overdrevne mundhygiejnevaner eller overdreven indtagelse sure mad- og drikkevarer. Vi finder en tæt relation mellem kraftigt slid på tænderne og en lav cariesfrekvens. Med blødere kost er slid forårsaget af kost normalt ikke noget der ses hos moderne mennesker. Til gengæld er cariesfrekvensen steget. Hvis vi nu vil lede efter et cariesangreb i tandsættet så vil det være overordentlig dumt at lede på en tandoverflade med lavt fluorindhold. Et øget indhold af fluor i overfladeemaljen er nemlig tegn på dårligt mineraliseret emalje eller caries. Vi vil heller ikke begynde at lede efter huller på plakfri tandoverflader. De steder hvor der er størst sandsynlighed for caries er de såkaldte plakstagnationsområder, steder hvor plakken får lov til at ophobes. Faktisk er sammenhængen mellem caries og plakstagnationsområder meget stærk. Så stærk at kloge mennesker har sluttet at plak er årsagen til caries. Når vi skal have styr på caries så behøver vi ikke at bekymre os om de plakfrie områder. Problemet er plakken. Hvis vi kan kontrollere plakken kan vi også kontrollere caries. Med tandbørstning er det muligt at begrænse det område som vi behøver at bekymre os om. Og ved at supplere med tandtråd, er det muligt helt at eliminere cariestruslen. Men vil der ikke altid være plak på tænderne og vil der ikke altid være overflader der er utilgængelige for plakfjernelse? Hvis unge på 18 år er cariesfri, og hvis de kan bibeholde denne status, så ved vi at stadig flere er gode nok til at fjerne plakken tilstrækkelig godt til at undgå caries. Men hvad med plakken på de utilgængelige steder? Der vil altid være svært tilgængelige overflader på tænderne. Med tandtråd og andre hjælpemidler har det været muligt at indskrænke de utilgængelige områder så et flertal af de unge nu er cariesfri. Det virkelige spørgsmål er hvordan vi rykker grænsen for plakfjernelse så alle kan blive cariesfrie? Når der stadig er plak må vi gå ud fra at den er lokaliseret på de sværest tilgængelige steder, og det er også her vi vil forvente at caries rammer. Med fluor og andre midler kan vi opnå at caries udvikler sig langsommere. Men vi er interesserede i at standse og forhindre caries, ikke at det skal være langsommere. Derfor er det vigtigt at vi kommer så langt som muligt med plakfjernelsen, både fordi plakfjernelsen er den eneste mulighed for at opnå cariesfrihed, og fordi plakfjernelse har bevist sin værdi i naturen og hos et stigende antal unge danskere. Hvordan opnår vi den grad af plakfrihed der er nødvendig for at vi kan blive cariesfri? Det er helt sikkert at fluor ikke er en del af svaret.
Kampen mod caries drejer sig om at fjerne den cariesfremkaldende plak. Sålænge plakken ikke fjernes fra tandoverfladerne med regelmæssige mellemrum vil caries opstå på de mest udsatte steder og hos de mest udsatte patienter. Hverken fluor eller sukker kan standse caries. Multifaktorialiseringen af caries er en forbrydelse mod tandsundheden fordi kvaksalverne rammer helt ved siden af med deres spredehagl. Folk vil tages ved næsen, og det benytter kvaksalverne sig af. Ikke engang halt basale fakta som at der ikke går hul i en ren tand er trængt rigtig ind. Folk vil ikke fatte at sålænge tænderne ikke er rene nok har vi caries. Når tænderne er rene nok så får vi ikke flere huller. Og det er fuldstændig uden betydning om vi får fluor og sukker eller ej. Sålænge befolkningen lader sig lede rundt i manegen af en flok svindlere vil der være problemer med caries.

Tilstedeværelsen af plak er en absolut nødvendig forudsætning for opståen af caries. Når plakken (de bløde bakteriebelægninger, biofilmen) dagligt fjernes fra tandoverfladen kan der ikke opstå caries (huller i tænderne). Sålænge plakken ikke fjernes fra tandoverfladerne med regelmæssige mellemrum vil der være caries. Når der er caries er det fordi plakken ikke er blevet fjernet regelmæssigt. Og sålænge der er caries, er det plakken vi skal gå efter. Fluor, sukker, plaksammensætning og alle andre faktorer med indflydelse på caries har kun betydning for sygdommens udviklingshastighed (caries­pro­gres­sions­has­tig­heden). Årsagen til at risikopatienterne ikke er cariesfri er ikke fluormangel eller for meget sukker. Der vil altid være patienter som får mindre fluor og mere sukker, og som stadig er cariesfrie fordi mundhygiejnen er iorden. Årsagen til caries er mangelfuld mundhygiejne som medfører ophobning af bakterier som igen medfører caries de steder hvor mest plak får lov til at sidde længst. Når en risikopatient får caries så sker det tværtimod fordi der er skruet ned for mundhygiejnen på grund af netop fluor-, sukker- og andre vildledende løgnagtige kampagner. Når risikopatienten får hul i en bestemt tand, så sker det ikke fordi forholdene for denne tand er anderledes hvad angår sukker og fluor, men fordi denne tand blot er den mest udsatte når der skrues ned for plakfjernelsen.
Vi har i langt mere end hundred millioner år levet sammen med bakterier der forårsager caries hvis de får lov til at ophobes på tandoverfladerne. Cariesbakterier er ikke nogen ny opfindelse. Det eneste nye er at bakterierne får lov til at ophobes hos risikopatienterne på grund af blød kalorierig kost og mangelfuld tandbørstning der er en konsekvens af løgnagtige kampagner. Dyr i naturen ville også få caries hvis de fik en kost der ikke fjernede plakken regelmæssigt, og dyr i naturen får også caries hvis man beskytter deres plak mod fjernelse.
Sålænge forbryderiske kvaksalvere får lov til at lave kampagner for fluor og mod sukker i tandsundhedens tegn, vil der være risikopatienter der falder i deres fælde og slækker på tandbørstningen. Det eneste der reelt spænder ben for udryddelsen af caries og tandsundheden er det multifaktorielle pladder der udelukkende virker som en undskyldning for en forringet plakfjernelse.

Plakbevarende (biofilmbevarende) cariesbekæmpelse. Fluor virker ved emaljens mineral erstattes af det tungere opløselige fluorapatit under cariesprocessen. Caries og dermed plak er altså en forudsætning for at fluor har en effekt. Ved at reducere sukkerindtaget kan vi ændre sammensætningen af bakterier i plakken. En ændret bakteriesammensætning kan medføre langsommere cariesudvikling. Det er også muligt aktivt at ændre bakteriesammensætningen i plak ved at indtage speciel kost, for eksempel probiotika. Fluor og xylitol angives at være metabolisk hæmmende, altså medføre at plakken dannes mindre syre. Det angives også at øget spytproduktion er med til at neutralisere syre. Undersøgelser har også vist lavere cariesfrekvenser afhængig af blandt andet fødselsmetode. Når man først er født, kan det dog være svært at ændre ens fødselsmetode. Fælles for alle metoder der indgår i den økologiske plakhypotese og beslægtede former for cariesbekæmpelse er at effekten forudsætter tilstedeværelse af plak eller biofilm. Hvis plakken ikke opløser emaljen er der ikke brug for fluor til at remineralisere den. Og hvis der ikke plak på tænderne kommer der ikke huller uanset hvor meget sukker der spises. Alle disse metoder kan mindske udviklingshastigheden i cariesangreb forårsaget af plak, men de kan aldrig standse caries eller forhindre at caries opstår.
Årsagsfjernende cariesbekæmpelse. Tilstedeværelsen af plak på tandoverfladen er en absolut nødvendig forudsætning for caries-opståen og -udvikling. Regelmæssig mekanisk plakfjernelse er den eneste cariesbekæmpende metode der kan standse et igangværende cariesangreb og forhindre at caries kan opstå. Faktisk viser undersøgelser at en ugentlig plakfjernelse er nok til at forhindre at caries kan opstå når udgangspunktet er en sund tandoverflade. Selvom der altså er plak på tænderne det meste af tiden forbliver man cariesfri når blot plakken må begynde forfra en gang om ugen. Mikrobiel succession gør at selvom cariesfremkaldende bakterier hele tiden er tilstede i mundhulen, så er de ikke sygdomsfremkaldende den første uge efter fjernelse. Når vi skal skelne en cariesfri person fra en med caries, og når vi skal finde et cariesangreb i en ellers cariesfri sund mundhule, så er det indlysende at finde ud af hvor plakken har siddet længst når vi leder efter caries. Og det er indlysende at lede efter cariesfri områder og patienter der hvor plakfjernelsen har fungeret bedst. Når et individ slækker på plakfjernelsen som en konsekvens af biofilmbevarende cariesbekæmpelse, er det også indlysende at caries vil være resultatet.

Hvorfor har dyr ikke brug for fluortandpasta? Når vi skal forhindre caries hos kæledyr er det meget sjældent at vi hører om fluortandpasta. Vi hører at når tænderne bruges nok, slides plakken væk. Nøjagtig det samme gælder for mennesker. Med tandbørste og tandtråd er det endda muligt mere effektivt at fjerne belægninger fra tandoverflader, hvilket giver mulighed for helt at undgå caries.

Det er kun regelmæssig plakfjernelse der kan garantere cariesfrihed. De som stadigvæk har caries selvom stadig flere bliver cariesfrie, er dem med mest plak på tænderne. Og de steder hvor de har caries er de steder hvor tandbørsten ikke er nået hen. Med tandbørste og tandtråd er det faktisk muligt at fjerne den cariesfremkaldende plak mere effektivt og mere skånsomt end det slid der i naturen gør at dyr ikke har problemer med caries. Derfor er stadig flere cariesfrie. Sålænge plakken får lov til at etablere sig på tænderne vil der være caries. Sålænge der stadigvæk er folk der tror at de kan undgå caries ved at bruge fluortandpasta og spise mindre sukker, vil der være plak på tænderne og dermed caries. Uanset hvor meget eller hvor lidt fluor og sukker vi får, så vil hullerne blive ved med at komme de steder hvor der er plak. Samtidig er de steder hvor plakken fjernes regelmæssigt cariesfri, helt uafhængigt af fluor og sukker. Det eneste der står imellem en person og cariesfrihed er regelmæssig plakfjernelse. Der er ingen tvivl om at der er områder på tænderne der er sværere tilgængelige for tandbørsten end andre, og det bliver bestemt ikke lettere med fluor og sukker til at forvirre begreberne. men det der virkelig står i vejen for cariesfrihed er fluor- og sukkerkampagnerne. Derfor har dyr i naturen ikke brug for fluortandpasta eller alternative fluorkilder, selvom de lever i meget fluorfattige områder. Derfor er cariesforekomsten ikke steget efter at man holdt op med at fluorskylle i skolerne. Derfor har tænder glatte overflader. Derfor kan vi være cariesfrie trods et meget højt sukkerforbrug. Derfor er der aldrig konstateret en sammenhæng mellem fluor og cariesfrihed. Derfor er fluorindholdet i carieret emalje højere end i sund emalje. Derfor er det muligt at standse caries ved at etablere en tæt forsegling henover. Der foreligger ikke videnskabelig dokumentation for en sammenhæng mellem fluorid og cariesfrihed. Ifølge sagkundskaben er fluor nødvendig for at forebygge caries. Fra tandlægeskolernes, tandlægeforeningernes og tandlægernes side står man sammen bag udsagn der fremmer fluor på bekostning af regelmæssig plakfjernelse. Vi skal ikke spørge os selv om hvordan vi hjælper folk til at få mindre caries, men hvordan vi bedst hjælper dem til at blive frie for caries. Alle dem som spekulerer i og tjener penge på at snyde folk.

Kvaksalveri og uredelighed i tandplejen. ✡
Kunsten at kunne skelne mellem mindre caries og cariesfrihed. »Man får huller hvis man ikke bruger fluor«. »Bakterier hjælper dig til nul huller«. »Fluorider kan ikke forhindre caries, hvis de nødvendige faktorer er til stede. Fluorid kan derimod nedsætte cariesprogressionshastigheden ved en remineralisationsproces«, og »hvilket underbygger, at fluorid ikke kan standse caries, men nedsætte progressionshastigheden«. Med andre ord: Du får ikke færre huller af at bruge fluor, men dine huller udvikler sig langsommere. Både de huller du har og dem du får.
Stadig flere er cariesfrie. En cariesfrihed der ikke kan skyldes fluor eller nogen anden plakbevarende cariespåvirkningsmetode. Uanset hvor lidt fluor vi får, uanset hvor meget sukker og hvad vi ellers spiser, uanset hvilke gener vi har, og uanset social status, uddannelse eller fødselsmetode, så vil de rene overflader være sunde, og de personer der er gode nok til regelmæssigt at fjerne plakken vil være cariesfrie. Den dag risikopatienterne Brian og Mohammed er cariesfrie, så vil det ikke være på grund af sukker og fluor, men udelukkende på grund af en tilstrækkelig god regelmæssig plakfjernelse. Den dag tyggefladen på 6-års-tanden er cariesfri, så er det ikke på grund af fluor. Tværtimod, er fluorindholdet højere i carieret tandsubstans. Årsagen er udelukkende regelmæssig plakfjernelse fra tandfrembrud. Og den dag hele befolkningen er cariesfri, så er det fordi budskabet om regelmæssig plakfjernelse er trængt ind. På trods af kvaksalvernes og tandplejens anbefalinger af fluor. Om vi så forbød fluor og ikke spiste andet end sukker, så bliver vi cariesfri den dag vi er gode nok til regelmæssigt at fjerne plakken, ikke et sekund før. Det er plakken der er årsagen til caries, og regelmæssig fjernelse af årsagen er den eneste løsning. Alle andre foranstaltninger udsætter kun problemet. Den i særklasse største trussel mod tandsundheden er tandlægernes multifaktorialisering af cariessygdommen.
Men vi får aldrig helt rene tænder. Der vil altid være overflader og personer der ikke kan nås. Patienterne har jo i årtier fået at vide at de skal børste tænderne bedre. Fluor er blot et forsøg på at hjælpe de svage, som (stadig) ikke kan finde ud af det. Er det så ikke smart at få cariesprocessen til at forløbe langsommere samtidig med at arbejdet med at forbedre plakfjernelsen fortsætter? Uanset situationen vil effekten af forbedret plakfjernelse langt overstige den samlede effekt af alle andre faktorer. Vi står med valget mellem at udsætte problemet med plakbevarende cariesbekæmpelse eller at fjerne problemet ved at fjerne årsagen med forbedret plakfjernelse. Der gælder nøjagtig det samme når der er meget plak og dermed meget caries og når der er lidt plak og dermed lidt caries. Fjernelse af plakken standser caries og forhindrer at caries kan opstå, helt uafhængigt af alle andre faktorer. Alle andre faktorer kan kun forsinke cariesprocessen når plakken får fred. Der er ikke tale om at vi ved at bruge fluor kan fjerne den sidste caries. Når en tandoverflade er cariesfri skyldes det ikke fluor eller sukker men udelukkende regelmæssig plakfjernelse. Når en befolkning er cariesfri så er det fordi de har styr på mundhygiejnen. Og de kan udemærket leve helt uden fluor og vælte sig i usundt sukker. Det har ingen betydning for caries på rene tænder. Regelmæssig plakfjernelse er en absolut nødvendig forudsætning for cariesfrihed. Cariesfrihed er målet. Målet vil aldrig kunne nås med plakbevarende cariesbekæmpelse. Og når vi en dag når 0-caries-målet så vil det ikke være på grund af fluor eller andre plakbevarende cariesbekæmpelsesmetoder, men udelukkende på grund af regelmæssig plakfjernelse. Det gælder både for den enkelte tand og for hele populationen. De skader som de har påført befolkningen kan ikke gøres op. Både i form af huller og ubehagelige følger, og tandkødssygdomme. Når vi ved at stadig flere er cariesfrie og at cariesfrihed kun kan opnås ved regelmæssig plakfjernelse, så må det undre at kvaksalverne bruger ressourcer på plakbevarende cariesbekæmpelse. Er risikopatienterne så ufatteligt dumme at det ikke kan forventes at de nogensinde kan opnå den cariesfrihed som opnås af stadig flere, og må de derfor hjælpes til langsommere cariesudvikling med plakbevarende cariesbekæmpelse? Eller er det kvaksalverne der ikke har fattet de helt basale sammenhænge mellem regelmæssig plakfjernelse og cariesfrihed? Og med deres vildledning forsinker og skader. Tandlægerne saver den gren over de selv sidder på. Desværre foregår det med savtakkerne vendt væk fra træet. signalforvrængning. Støj på linjen. Spørgsmålstegn ved tandplejens reelle hensigter. Skaber tvivl om plakfjernelse. Fantasien har fået frie tøjler. Desværre har tandplejen ikke nogen økonomisk interesse i at caries forsvinder. Lade ulven passe får. Man skal beslutte at plakfjernelse ikke er tilstrækkeligt før man bruger fluor. Selvom caries kan standses efterlades ar. Ønsker vi at forsinke caries eller ønsker vi at standse caries? Hvis vi ikke havde vidst at caries kunne standses. Skyde med spredehagl. Om vi så tog daglige bade i fluor og slet ikke spiste sukker så ville vi først blive cariesfri når plakken regelmæssigt fjernes. Når plakken fjernes regelmæssigt er man cariesfri helt uafhængigt af alle andre faktorer. Spørgsmålet er hvordan vi bedst og hurtigst bliver cariesfrie. Bliver vi cariesfrie af at skyde med spredehagl med metoder der hæmmer cariesudviklingen uden at standse den? Eller bliver vi cariesfrie ved at fjerne årsagen regelmæssigt? Både for den enkelte flade, for alle individer og for hele befolkningen er der ingen tvivl overhovedet om at spredehaglene har medført umådelig skade og lidelse hos alle der har lyttet til kvaksalvernes råd. Kun de som på trods af kvaksalvernes råd har formået at holde tænderne rene, har været cariesfrie. Når et individ er cariesfrit, så kan det ikke være på grund af fluor eller sukker, fordi de udelukkende kan medføre ændringer i progressionshastigheden. Cariesfrihed kan udelukkende opnås ved regelmæssig plakfjernelse. Når man sætter ulve til at passe får, så vil sådanne konflikter altid opstå. Man bliver hverken mere eller mindre cariesfri med fluor og sukker, de kan allerhøjst være medbestemmende for hvornår problemet manifesteres. Cariesfrihed kan dække over alt fra reelt sunde og cariesfri flader, individer eller befolkningsgrupper, til uopdaget caries begrundet i mangelfuld diagnostik. Uanset definitionen er der ingen tvivl om at andelen af sunde flader og individer er stigende, at dette skyldes bedre plakfjernelse, at det som positiv bivirkning medfører færre tandkødssygdomme, og at det som negativ bivirkning medfører at nogen går for langt med tandbørsten og skader emaljen. Cariesfrihed er en tilstand der opnås ved regelmæssigt at fjerne årsagen til caries. Når plakken ikke fjernes regelmæssigt er det muligt at påvirke sygdommens udviklingshastighed med kemiske og biologiske midler. Fluor kan hæmme udviklingshastigheden ved delvist at remineralisere opløst emalje. Sukker kan påvirke plakkens bakteriesammensætning, og gøre den mere eller mindre cariogen. Kun regelmæssig plakfjernelse kan både standse, forhindre opståen af, og hæmme udviklingen af caries. Alle andre metoder kan kun hæmme udviklingen af caries. Med et skær af videnskabelighed og forskning. undertrykke og ignorere, udelukker, bremser, standser, dominerende. imod bedreviden. profit. grundlæggende videnskabelige principper. Tandlægeforeninger, tandlægeblade, tandlægeskoler, på bjerget, Patientens behov mod tandlægens behov.

Plakbevarende cariesbekæmpelse/cariespåvirkning. Nedsat cariesprogressionshastighed.
Det teoretiske grundlag for plakbevarende cariesbekæmpelse er misforståelsen at multiple faktorer påvirker cariessygdommen. Og fantasien har fået frit spil. Fælles for alle faktorerne er at de på en eller anden måde kan påvirke cariesprogressionshastigheden og ikke om sygdommen kan opstå eller ej. På en ren tandoverflade er der ingen af faktorerne der kan fremkalde caries. Samtidig kan ingen af faktorerne standse eller forhindre caries på en beskidt tandoverflade. I kvaksalvernes jargon benyttes eufemistiske udtryk som. Biofilmvedligeholdelse. Kontrol af mikroflora. Økologisk plakhypotese. Multifaktorialisering. Eufemi. Bekæmper symptomer fremfor årsag. Tanken om at støtte dem som har svært ved plakfjernelsen forekommer umiddelbart sympatisk. Men man hjælper ikke nogen til cariesfrihed med mere fluor og mindre sukker. Med stadig flere cariesfrie har det der gør forskellen fra caries til cariesfrihed ikke noget med fluor eller sukker at gøre. Fantasien har fået frit løb. Multifaktorialiseringen omfatter blandt andet,
Fluor. Det paradoksale er at i forhold til at få cariessygdommen til at forløbe langsommere har fluor stor betydning, men i forhold til at undgå caries er fluor helt uden betydning. Fluor har ingen betydning for om vi får caries eller ej, men kun for cariessygdommens udviklingshastighed. Jo mere caries jo større effekt har fluor, jo mindre caries jo mindre betydning har fluor, og det er helt uden betydning ved 0-caries. Uanset hvor lidt caries der er, så bliver vi ikke mere cariesfrie af mere fluor. Fluor kan ikke standse caries. De cariesfrie vil altid have mindre fluor i mundhulen fordi fluor har en affinitet for plak og carieret tandsubstans. Det gælder også i fluorfattige områder. Et øget indhold af fluor i emaljeoverfladen er ikke en metode til at beskytte tanden, men et tidligt tegn på caries, fordi fluorapatit ikke kan erstatte emaljens hydroksylapatit uden at den først har været opløst. Det forklarer hvorfor cariesforekomsten ikke er steget i områder hvor fluorskylninger i skoler er ophørt og hvor man er holdt op med at tilsætte fluorid til drikkevandet. Det forklarer også hvorfor man altid vil kunne finde cariesfri overflader og individer, selv i områder med meget lavt fluorindhold i drikkevandet, samt hvorfor man også kan finde høje cariesforekomster i områder med højt fluorindhold i drikkevandet. Det forklarer også hvorfor små børn kan være cariesfrie, selvom det anbefales at mindre mængder af fluor anvendes. Og det forklarer hvorfor dyr i naturen ikke har problemer med caries selvom de lever i områder med meget lidt fluor. Mindre caries med fluor dækker over langsommere cariesudvikling, ikke færre cariesangreb. Det er meget godt at genopbygge emaljen som det siges i reklamerne. Men der er ikke noget emalje at genopbygge, når plakfjernelsen er iorden. Og hvis plakfjernelsen ikke er iorden, så vil fluor ikke genopbygge nogetsomhelst, udover at nedsætte cariesprogressionshastigheden. Genopbygning af emaljen kan kun foregå uden cariesfremkaldende plak på overfladen. Det samme gælder al anden plakbevarende cariesbekæmpelse.
Kost, sukker. Uanset hvor meget sukker man spiser kommer der ikke hul i en ren tand, og selv om man slet ikke spiser sukker kan man få masser af caries, hvilket kan ses hos sondepatienter. Kosten indeholder næring, energi, mikroorganismer og mange andre stoffer som ikke har stor betydning for caries. Det der har størst betydning for caries er kostens evne til mekanisk at slide bakteriebelægningerne væk, og her er moderne kost ikke tilstrækkelig.
Probiotika, økologi, metabolismehæmmere. Ved at ændre sammensætningen af bakterierne er det muligt at ændre cariesprogressionshastigheden. Der findes ingen cariessikker bakteriesammensætning. Også når dyr udsættes for en kost der ligner menneskets moderne kost, det vil sige en kost der ikke slider på tænderne, vil de få caries. Bakterier der normalt er tilstede på tandoverflader er bakterier der hele tiden udskiftes. Bakterier på huden udskiftes hele tiden fordi huden fornyes ved at døde hudceller falder af. Tandoverflader er døde og i naturen opnås fornyelsen i plakken ved at tænderne og plakken regelmæssigt slides af grov kost. Hos moderne mennesker opnås fornyelsen ved tandbørste og tandtråd. Hvis plakken ikke fornyes på grund af mangelfuld regelmæssig plakfjernelse, vil den uundgåeligt blive sygdomsfremkaldende, caries og tandkødssygdomme. Der findes ikke nogen stationær, konstant, permanent, residentiel eller fastboende mikroflora på nogen overflader. Det hele er lagt an på at den enkelte bakterie kun har relativ kort levetid på overfladen, for derefter at blive erstattet substitueret af nye artsfæller fra naboområder. Det specielle ved de bakterier vi normalt finder på overfladerne er at de er gode til netop at være de første til at kolonisere overflader. Det er først når de mekanismer der normalt medfører konstant udskiftning og fornyelse svigter at sygdom kan opstå og andre bakterier kan komme til. Når en overflade er sygdomsfri, så er det ikke fordi bestemte bakterier er tilstede eller fraværende, men fordi mikrofloraen fornyes regelmæssigt. Det gælder såvel bakterier på ydre som på indre overflader. Når plakken fjernes regelmæssigt med tandbørste og tandtråd vil biofilmen således være uskadelig. Ikke fordi den indeholder sunde bakterier, men fordi plakken hele tiden fornys. I dybe fissurer kan der eksistere helt ekstreme betingelser der medfører et meget lavt stofskifte og aktivitetsniveau. Derfor er det muligt at standse caries ved at spærre bakterier inde under en tæt forsegling. Der er uendelig mange metoder til at påvirke bakteriesammensætningen i mikrofloraen, og dermed påvirke progressionshastigheden. Den allervigtigste metode til at påvirke bakteriesammensætningen er regelmæssig plakfjernelse, og det er også den eneste metode der kan standse og forhindre opståen af caries.
Tandpasta. I den udstrækning tandpastaen effektiviserer plakfjernelsen kan den have betydning. Den kemiske sammensætning af tandpastaen herunder tandpastaens fluorindhold har kun betydning for cariesprogressionshastigheden når den regelmæssige plakfjernelse er utilstrækkelig. Noget af den kemi der findes i tandpasta, kan have ubehagelige bivirkninger. Tandpasta er ikke nødvendig for at undgå caries.
Gener, alder, spyt, fødselsmetode. Vi kan ikke gøre så meget ved dem. Immunitet er aldrig fundet.Det er indlysende at ingen af de ændringer der kan iagttages i cariesforekomsten kan skyldes nogen af disse faktorer.
Tandstilling,
Økonomi, social status, uddannelse. Når undersøgelser viser lavere cariesforekomster hos de rige og veluddannede, så er årsagen ikke at deres bakterier laver mindre caries fordi de skal tænke på hvordan de skal bruge pengene eller foretage komplicerede beregninger.
Fælles for alle plakbevarende cariesforebyggelsesmetoder. Alle kan påvirke cariessygdommen men ikke standse den. Caries med og uden sukker. Caries skyldes ikke akut eller kronisk fluormangel. Små børn cariesfri selvom de skal have mindre fluor. Dental fluorose. fluorskylninger i skoler. Man får ikke færre huller i tænderne af at bruge fluor, men de huller man har udvikler sig langsommere. Til gengæld er den anbefalede fluormængde reduceret. I drikkevandet fra 1 ppm til 0,5 ppm. Mindre tandpasta til små børn.

Årsagsfjernende cariesforebyggelse. Standsning af caries. Cariesfrihed.
Hiding within plain sight. Årsagen til caries er i virkeligheden ikke plakken, men at den ikke bliver fjernet regelmæssigt. Rotteforsøg og lille Karlstad. Caries vil ikke forsvinde før vi har styr på plakfjernelsen. Hvad er regelmæssig plakfjernelse? Plak er årsag til tandkødssygdomme. Regelmæssig plakfjernelse er også et kæmpeskridt i kampen mod tandkødssygdomme. Det har aldrig nogensinde været meningen at bakteriebelægninger skulle kunne ophobes på tandoverflader. Bekæmpe årsag fremfor symptomer. Regelmæssig plakfjernelse er den eneste cariesforebyggende metode der både kan reducere cariesprogressionshastigheden og medføre cariesfrihed. Samtidig med at den også er en af de bedste metoder mod tandkødssygdomme. Ingen andre metoder kan medføre cariesfrihed.

Den rene tand og myten om den sidste plak.
Der kommer ikke hul i en ren tand. Problemet er ikke den plak vi kan se, men den vi ikke kan se. Det er ikke den plak vi kan fjerne der udgør problemet, problemet er den plak vi ikke kan få fjernet. Jo mere plak der kan fjernes med optimal plakfjernelse, jo mindre sandsynligt vil det være at den tilbageværende plak er sygdomsfremkaldende. Begrebet cariesfrihed. Lakering for at undgå plakophobning.

Naturen, fortiden og fremtiden.
Stadig flere unge er cariesfrie. Plakfjernelsens historie. Evolution. Glatte flader. Tandens opbygning. En stor tand uden tandmellemrum fremfor mange tænder med mange tandmellemrum. Udsat ved brud. Fordele og ulemper. Dyr i naturen cariesfri uden fluor. Slid på tænderne.


Slut på artikel.
Forfatteroplysninger og litteraturliste findes nederst på siden.


Hvorfor tror alle på fluor?

Tilbage til start

I begyndelsen af det 20. århundrede var cariesforekomsten i USA meget høj. Nogle tandlæger fandt dog ud af, at cariesforekomsten var lavere i områder, hvor drikkevandet indeholdt højere koncentrationer af fluorid. Nogle steder var fluoridkoncentrationerne så høje, at det medførte skader. Det var derfor indlysende, at foreslå en regulering af drikkevandets indhold af fluorid, således at man kunne få den maksimale fordel, og i videst muligt omfang undgå de skadelige bivirkninger. Man vidste dog ikke ret meget om hvordan fluorid virkede.

I de følgende årtier blev brugen af fluorider meget udbredt, og i det store og hele, undgik man de bivirkninger, som fluorid i for høje koncentrationer, kan forårsage. Nogle steder blev fluorid tilsat drikkevandet, andre steder blev fluorid tilsat mælk eller salt. De fleste husker også fluor-skylninger i skolen hver anden uge. Og som kronen på værket fik vi fluortandpasta. Og ingen kunne være i tvivl om effekten, for cariesforekomsten blev ved med at falde.

Fluorid blev udråbt til alle tiders vidunderlige mirakelmiddel indenfor cariesforebyggelse. Forskerne mente slet ikke, at fluorid kunne undværes i cariesforebyggelsen. Alle gode resultater blev tilskrevet fluorid. Og uanset hvad man undersøgte i forbindelse med cariesforebyggelse, så blev fluor altid prist som vidundermiddel.

Men der var nogle problemer. Et stort problem var, at stadig flere unge var cariesfrie, altså helt uden huller. Og der var aldrig nogensinde blevet fremsat en hypotese eller fremlagt forskning, der kunne vise eller antyde, at fluorid kunne give cariesfrihed. Fluorid var nemlig kun i stand til at sænke cariessygdommens progressionshastighed, ved en remineralisationsproces, ikke standse sygdommen.

Det var indlysende, at der måtte være en anden og langt mere betydningsfuld årsag til stigningen i andelen af cariesfri, end fluorid. Denne faktor måtte kunne give cariesfrihed. Den måtte kunne forklare, hvorfor dyr og mennesker i naturen var cariesfri, selv om de boede i meget fluorfattige områder. Den måtte kunne forklare, hvorfor cariesforekomsten fortsætter med at falde, selv om forbruget af fluorid ikke stiger. Og den måtte kunne forklare de meget store variationer i cariesforekomsten, der ses trods ensartede fluorpåvirkninger. Hvorfor var cariesforekomsten for eksempel ikke steget i byer, efter at man var ophørt med at tilsætte fluorid til drikkevandet?

Hvis det var sådan, at en enkelt faktor kunne give cariesfrihed, helt uafhængigt af fluor, så er det meget vigtigt. Fordi det allerbedste resultat man kan håbe på med fluorid er, at cariessygdommen udvikler sig langsommere. Hvis man derimod regelmæssigt fjerner den plak, der er årsagen til caries, så kan sygdommen helt undgås.

Og det er netop den regelmæssige plakfjernelse, der kan give cariesfrihed, som kan forklare cariesfrihed i naturen, og som kan forklare store variationer i cariesforekomsten, helt uafhængigt af fluor og alle andre påvirkninger.

Tandlægebladet 2013, side 486:

Fremskrives cariestallene fra børne- og ungdomstandplejen, vil caries være udryddet om få årtier. Kun de allerdummeste, som ikke kan finde ud af at børste tænderne ordentligt, vil fremover kunne rammes af caries. I virkeligheden er det også utroligt, at små bløde bakterier kan være årsagen til at emaljen, kroppens hårdeste væv, opløses og bryder sammen.

Fluor kan ikke være årsag til cariesfrihed, siger forskerne, fordi fluorid virker ved en remineralisationsproces. Sygdom er altså en forudsætning for at fluorid har en effekt. Det kan man også tydeligt se af de oprindelige arbejder med fluor-effekt. Selv i områder med allermest fluorid, havde de mere caries end vi har i dag. Et ændret sukkerforbrug, probiotikaindtag eller en bedre spytsammensætning kan heller ikke være forklaringen på udryddelsen af caries.

Hvis man nu havde en interesse i at forsinke denne ellers positive udvikling, for eksempel fordi den ville bryde fødekæden til tandlægeboret, eller man var sælger af fluortandpasta eller probiotika; hvad ville man så gøre? Udviklingen kan nok ikke standses, men hvordan kunne den forhales?

Det vigtigste er, at skabe tvivl om årsagen til caries. Det næste er, at skabe tvivl om folks evne til at fjerne årsagen ved hjælp af tandbørsten. For langt de fleste er der ingen tvivl om, at der ikke går hul i en ren tand. Men hvis man nu kunne opfinde et nyt navn til årsagen, for eksempel ved at kalde plak for biofilm, som jo er noget positivt. Og så skal man bare vedligeholde biofilmen fremfor at fjerne plakken. Det gøres ved at øge tilførslen af fluor og probiotika, og reducere tilførslen af sukker. At reducere sukkertilførslen og øge probiotikatilførslen kan betragtes som positive tiltag, medens det samme ikke kan siges om øget fluoridtilførsel.

Men hvordan reducerer man effekten af hjemmemundhygiejne? Man skelner mellem professionel plakfjernelse og amatøragtigt tidsspilde med tandbørste. Det første foregår på en tandklinik, medens det andet foregår i hjemmet. Og man har allerede solid videnskabelig forskning, der viser, at tandbørstning ikke virker mod caries, men kun mod tandkødssygdomme. Man har på den måde både gjort bakteriebelægninger på tænderne til noget positivt, og bevist at folk ikke kan finde ud af at børste tænder.

Men man mangler lige dødsstødet, så enhver indvending kan fejes til side. Ved altid at børste tænder med fluortandpasta, altså altid kombinere plakfjernelse med fluor, er det helt umuligt at afgøre, om en eventuel effekt skyldes plakfjernelsen eller fluortandpastaen.

Svindelnummeret er fuldendt. Bakterierne skal vedligeholdes og ikke fjernes, og folk kan alligevel ikke finde ud af at fjerne dem, og selv hvis de kunne, ville det aldrig nogensinde komme for en dag, fordi det kunne lige så godt være på grund af fluortandpastaen. Der er helt klart bedre økonomi i at vedligeholde biofilmen, fremfor at fjerne plakken, måske ikke for samfundet eller dem som det går ud over, men i hvert fald for nogle.

Det smarte ved det hele er, at alle de kloge godt kan finde ud af at børste tænder, så de ikke får huller. De dumme, som ikke kan finde ud af det, er også for dumme til at brokke sig. Og hvis de gør, kan tandlægen altid sige, at biofilmen ikke er tynd nok, eller at der skal mere fluorid i tandpastaen, eller mindre sukker i kosten. Hvor det, der virkelig er brug for, er bedre plakfjernelse. Metoden er helt skudsikker og har virket for tandlægevidenskaben i næsten hundrede år.

Forskerne

Tilbage til start

I Tandlægebladets temanumre om cariologi (Tandlægebladet 2013, nr. 3 og 4) samt i forfatternes svar til undertegnede (Tandlægebladet 2013, side 333), beskriver professor Svante Twetman og lektor Kim R. Ekstrand den økologiske plakhypotese. Til forskel fra det, de kalder tidligere plakhypoteser, går den økologiske plakhypoteses hovedtese ud på at kontrollere snarere end at eliminere mikrofloraen (Tandlægebladet 2013, side 333).

Følgende er citater af Twetman og Ekstrand fra Tandlægebladet, videnskab.dk og taenk.dk:

Forskernes påstande:

  1. Mekanisk rengøring ved hjælp af god daglig mundhygiejne er naturligvis den grundlæggende forudsætning for at holde biofilmen tynd. Ved almen regelmæssig tandpleje efterlades en tynd plak, der kan beskytte imod erosioner og hypersensibilitet (Tandlægebladet 2013, side 200).
  2. Bakterier hjælper dig til nul huller (Videnskab.dk 18-06-2012).
  3. i dag mener man, at caries er en biofilm-medieret sygdom, som styres af livsstils- og adfærdsfaktorer. Vi ved i dag, at en stabil og diversificeret biofilm medvirker til kropsligt velbefindende. (Tandlægebladet 2013, side 197)
  4. En biofilm er et aggregat eller en klynge af mikroorganismer, fx bakterier, som sammen danner en beskyttende substans (Tandlægebladet 2013, side 199).
  5. man FÅR huller, hvis man ikke bruger fluor, siger professor Kim Ekstrand på Tandlægeskolen ved Københavns Universitet (taenk.dk 19-02-2010).
  6. Tydeligvis er en optimal plakfjernelse af større betydning for gingivitis og marginal parodontitis end for caries (Tandlægebladet 2013, side 333). Så kan vi bare se stort på tandkødssygdommene til fordel for den økologiske plakhypotese.
  7. En optimal cariesregistrering kræver, at tænderne er professionelt rengjorte og undersøges under både våde og tørre forhold (Tandlægebladet 2013, side 215). I stedet for blot at skrive, at optimal cariesregistrering forudsætter rene tænder, så bruger forskerne spalteplads på at fremhæve forskellen mellem professionel og amatør-plakfjernelse.

Den økologiske plakhypotese med sin tynde biofilm, er medvirkende årsag til, at der stadig er mange med huller i tænderne. I Tandlægebladet nr. 3/2013 side 198.

Forskerne mener, at der skal efterlades en tynd biofilm på tandoverflader for at beskytte tanden og skabe kropsligt velvære. For at biofilmen ikke skal blive sygdomsfremkaldende anbefales brugen af metabolismehæmmere (fluorid, xylitol), færre sukkerindtag, salivastimulering, antiseptiske og alkaliske midler, samt pre/probiotika.

Forskernes svar til Benny Kaufmann Solbirk taler for sig selv. Den nu fremherskende »økologiske plakhypotese« har som hovedtese at kontrollere snarere end at eliminere mikrofloraen. Derfor behøves alle »farver« i den forebyggende palet, hvilket vi har forsøgt at beskrive i vore artikler. »Det bør samtidig understreges, at systematiske litteraturoversigter fra Cochrane databasen ikke har fundet nogen cariesforebyggende evidens alene ved tandbørstning og anvendelse af tandtråd«. »Kombineres foranstaltningerne derimod med fluor, findes der stærk evidens for, at de er effektive. Tydeligvis er en optimal plakfjernelse af større betydning for gingivitis og marginal parodontitis end for caries«. Tandlægebladet nr. 4/2013 side 333.

Set i lyset af cariestal der rasler ned, skaber forskerne tvivl om årsagen til caries. Og de skaber tvivl om folks evne til at børste tænderne rene. Men de bidrager ikke med nogen alternativ forklaring på udryddelsen af caries. De understreger, at forskningen ikke tyder på at tandbørstning og tandtråd har nogen effekt, hvis den ikke kombineres med fluor. De fremlægger ikke forskning der antyder at forbruget af fluorid, xylitol, antiseptiske og alkaliske midler, eller pre- og probiotika skulle være i stigning. Eller at antallet af sukkerindtag skulle være faldende.

Det som forskerne siger, er i virkeligheden: Vi ved godt, at grundig tandbørstning og tandtråd kan forhindre caries, men vi mener ikke, at du kan finde ud af det. Derfor mener vi, at der skal forskes i fluorid og økologisk plak, fremfor i at finde ud af hvordan man kan optimere din mundhygiejne.

Altså, på trods af at halvdelen af alle danskere under 18 år ikke har caries, fordi de er gode nok til at børste tænderne, så vil vi hellere bruge forskningsmidler og tandplejens ressourcer på at forske i fluorid og økologisk plakhypotese, og fremme disse metoder, således at de som har caries, kan få et langsommere sygdomsforløb (for vi ved udemærket godt at fluorid og økologisk plak aldrig kan standse caries). Fremfor at hjælpe den halvdel af de unge, som stadig ikke er gode nok til at børste tænder, med at forbedre mundhygiejnen, så foretrækker forskerne at give dem fluor og økologisk plak.

Selvom forskerne altså ikke kan påvise nogen sammenhæng mellem cariesfrihed og fluorid, hverken teoretisk eller i virkeligheden, så påstår de stædigt, at fluorid er uundværligt.

Caries

Tilbage til start

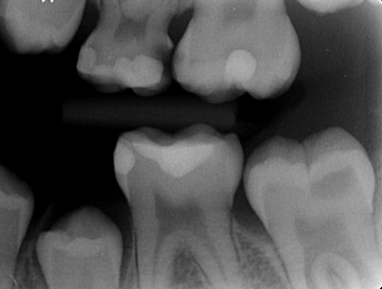
Caries opstår de steder på tænderne, hvor uforstyrret plak har fået lov til at sidde længst. Der kan ikke opstå caries i en ren tand eller på en ren tandoverflade.

Billede af et alvorligt cariesangreb. Men samtidig et billede af tandoverflader der er cariesfri. På den samme tand ses overflader, hvor den regelmæssige plakfjernelse har været god nok, og hvor den har været utilstrækkelig. Billedet kan ikke forklares ved at fluor eller sukker har været mere tilstede det ene sted end det andet. Og det kan heller ikke forklares med forskelle i social status eller anden plakbevarende vås. Forskellen mellem caries og cariesfrihed har udelukkende noget med regelmæssig plakfjernelse at gøre. Det gælder både for den enkelte tandoverflade som for hele befolkningen. Mere end halvdelen af 15-årige danskere er gode nok til at få fjernet plakken regelmæssigt. Og stadig flere vil fremover være gode nok til at fjerne plakken og på den måde undgå caries hele livet.

Caries kan forebygges ved regelmæssigt at fjerne plakken, uanset fluor, sukker, spyt eller probiotika. Ligeledes kan fluor, sukker, spyt eller probiotika aldrig garantere cariesfrihed i en beskidt tand, uanset mængder. De kan kun påvirke cariessygdommens progressionshastighed. De kan ikke afgøre om sygdommen er tilstede eller ej. Ligesom tilstedeværelse eller fravær af plak kan. Det eneste der kan garantere cariesfrihed, er regelmæssig fjernelse af den plak, der er årsag til caries.

Fald i cariesforekomsten (DMF-S) hos danske børn over tre årtier. Det største fald ses inden introduktionen af den økologiske plakhypotese. Fra Tandlægebladets temanummer om caries 2013, side 206.

Cariestallene i Danmark har været faldende siden de nåede et maksimum i 1950'erne. Og stadig flere er cariesfrie.

Antallet af cariesfrie er stigende fra 1988 til 2011. Intet tyder på at denne udvikling kan standses. Med tiden vil alle kunne blive cariesfri hele livet. Årsagen er, at vi bliver stadig bedre til regelmæssigt at fjerne den plak der forårsager caries, med tandbørste, tandtråd (el-tandbørste og lignende). Det har ikke det fjerneste at gøre med fluor, sukker, probiotika eller økologi. Men det kunne gå væsentligt hurtigere, hvis ressourcerne blev brugt på regelmæssig plakfjernelse, fremfor fluor. Fra Tandlægebladets temanummer om caries 2013, side 206.

Fluor

Tilbage til start

Ifølge forskerne FÅR man huller i tænderne, hvis man ikke bruger fluor. Men fluorid kan kun nedsætte progressionshastigheden i et cariesangreb. Når mere end halvdelen af unge danskere er cariesfri, så har de naturligvis ikke brug for fluorid. Og fluorid er heller ikke nødvendig for at de kan forblive cariesfri. Den halvdel af unge som ikke er cariesfri, har naturligvis heller ikke brug for fluorid. De har brug for bedre mundhygiejne, som er det eneste, der har betydning, når det drejer sig om cariesfrihed. Med en kontinuerlig stigning i antallet af cariesfri, uden en tilsvarende stigning i brugen af fluorid, er det indlysende, at de to ting ikke har noget med hinanden at gøre.

I Kolding Kommune er anbefalingen at bruge tandpasta med højt fluorindhold.

Problemet med fluorid er, at der ikke findes nyere forskning som viser effekten af fluorid isoleret fra andre faktorer på populationsbasis. Det nærmeste vi kan komme fluor-forskning er Deans oprindelige fluorundersøgelser fra 1940'erne. De viser en stærk sammenhæng mellem drikkevandets fluoridindhold og caries. Men de viser også, at der var mere caries end i dag, selv i de områder der havde allermest fluor. Årsagen er at mundhygiejnen var meget dårlig i 1940'erne.

Fluor havde en markant betydning i 1942 i USA. Der er en tydelig korrelation mellem drikkevandets fluoridindhold og cariesforekomsten, som tegn på at drikkevandets fluoridindhold havde stor betydning for mængden af caries. Men samtidig ses det, at selv i byer med allermest fluorid, var cariesforekomsten væsentlig højere end i dag. På dette tidspunkt var tandbørstning en sjældenhed.

Med forbedret plakfjernelse er fluorid blevet betydningsløs.

I 2004 i Danmark ses det tydeligt, at spredningen er blevet meget større. De steder hvor tandbørsten er kommet længst, har mindst caries. Når det drejer sig om at opnå cariesfrihed, har fluor ingen betydning, hverken i drikkevandet eller i tandpastaen. Hvis man i stedet for fluor brugte regelmæssig plakfjernelse, så ville der hurtigt vise sig to ting. Et sammenfald mellem caries og dårlig mundhygiejne. Faldende cariesforekomst med bedre plakfjernelse. Og allervigtigst. kurven ville ramme 0-caries (cariesfrihed), noget som aldrig ville være muligt med fluor eller andre biofilmvedligeholdende foranstaltninger. Nexø. Kim Ekstrand.

Cariesforekomst hos unge og fluorid i drikkevandet i Danmark i 2004. I et forsøg på at gentage Dean's påvisning af sammenhængen mellem fluor og caries, udstiller kortet i virkeligheden hvor betydningsløs fluorid er i cariesbekæmpelsen. De højeste fluoridforekomster (mere end 0,5 ppm) i drikkevandet (røde og grønne områder) findes hovedsageligt i øst og syd. Jylland og Fyn er præget af områder med lave fluoridkoncentrationer i drikkevandet (mindre end 0,3 ppm). Jyderne ligger også over gennemsnittet hvad cariesforekomsten angår. Mest caries (7,23 DMFS) findes i Farsø sydvest for Ålborg med lavt (mindre en 0,3 ppm) fluorindhold i drikkevandet. Mindst caries (0,56 DMFS) findes i Nexø Bornholm med højt (mere end 0,5 ppm) drikkevandsfluoridindhold. Tranekær på Nordlangeland med middelhøjt fluor og Broby syd for Odense med lavt fluor har begge meget lave cariestal. Medens Langebæk ved sydspidsen af Sjælland, på trods af de højeste fluortal, har et DMFS på 3,29, altså et usædvanlig højt cariestal, som i hvert fald ikke skyldes fluormangel. Der er helt klart nogle tandplejer der har været mere nidkære med at behandle caries fremfor at forebygge sygdommen. Nogle steder er ulve blevet sat til at vogte får.

Forskerne forklarer selv at fluorid ikke kan forhindre caries.

I Tandlægebladet nr. 4/2013 side 298, skiver forskerne: »Fluorider kan ikke forhindre caries«, og »Fluorid kan derimod nedsætte cariesprogressionshastigheden ved en remineralisationsproces, og der er dokumentation i ældre litteratur for, at fluorid i drikkevandet kan halvere DMFT på populationsbasis«.

Fluorid kan ikke trænge ind i sund emalje. Sund emalje har derfor et meget lavt fluorindhold. Emalje der er dårligt mineraliseret eller har været opløst, vil aldrig nogensinde kunne genvinde eller opnå sund emaljes kompakthed og slidstyrke.

Emalje-plak-grænsen. På en emaljeoverflade som er dækket af plak vil der altid foregå kemiske processer på grænsefladen mellem emalje og plak. Emaljens hydroxylapatit vil opløses, og noget af det opløste emalje kan erstattes ved at fluorapatit erstatter hydroxylapatit og genudfældes i emaljeoverfladen. Jo mere fluorid der er tilstede, jo mere vil dette forsinke cariesprocessen. Men emaljen vil aldrig nogensinde kunne genvinde sin oprindelige kompakthed og styrke.

Dårligt mineraliseret eller porøs emalje har en tendens til at optage fluor. Fluoroptagelsen, og dermed mineraloptagelsen, sker dog hovedsageligt i overfladen, hvilket er en af forklaringerne på den karakteristiske subsurface lesion. Vi ved at dyr i naturen ikke har problemer med caries, også selvom de lever i meget fluorfattige områder, og drikker overfladevand, der har et lavt fluoridinhold.

Fluorindholdet i emaljeoverflade over et cariesangreb er højere end i den omgivende sunde emaljeoverflade. Resultaterne baseret på Weatherell 1977. Her fra lærebog i cariologi.

Men er der da slet ingen der kan have gavn af fluorid? Hvis vi var interesseret i at nedsætte progressionshastigheden i cariesangreb, så ville fluorid være en valgmulighed. Men når halvdelen af danske unge er cariesfrie, så er en nedsættelse af progressionshastigheden uden interesse. Det der gør at de cariesfrie ikke har huller i tænderne, er bedre mundhygiejne. Og det er en optimering af plakfjernelsen, som er det eneste der kan give cariesfrihed. Det som alle har brug for, er optimering af plakfjernelsen. Og sålænge børn stadig har huller i tænderne, er dette mål ikke nået. Og her er fluorid en klods om benet.

Forsiden af Tandlægebladet. Med tanke på hvordan caries udvikler sig, med »subsurface lesion«, forekommer det absurd, når nogen påstår, at fluor skulle styrke tanden eller tandoverfladen. Og det har da heller ikke noget på sig. Der vil altid være opløseligt hydroxylapatit lige i nærheden. En øget koncentration af fluor-ioner i plakvæsken, vil hæmme cariesprocessens progressionshastighed. Men fluorid kan aldrig standse caries. Og fluor indbygget i tandemaljen gør ingen gavn.

Den del af fluoriden der ikke optages af tænderne, altså hovedparten af fluoriden, og som sluges, kan i nogle tilfælde skade tanddannelsen hos børn.

Dental fluorose. Thylstrup og Fejerskovs indeks. Under tanddannelsen, kan indtagelse af fluorid medføre skader. Dental fluorose medfører med stigende fluoridpåvirkning en dårligere mineralisering af emaljen. Den dårligere mineraliserede emalje er hvidere, mere kridtagtig og porøs, og mindre slidstærk. Når tanden kommer frem, kan den se hvid og fin ud. Den bliver dog slidt hurtigt, og farvestoffer kan trænge ind. De steder hvor drikkevandet indeholder mest fluorid vil man ofte forsøge at finde alternative drikkevands-kilder.

  1. Fluorid kan ikke standse et cariesangreb, men kan nedsætte progressionshastigheden.
  2. Fluorid kan ikke forhindre at der opstår caries på en plakdækket overflade.
  3. Et øget fluorindhold i emaljen er et tegn på sygdom (caries eller dental fluorose).
  4. Sygdom er en forudsætning for at fluorid kan have en effekt.
  5. Med dårligere mundhygiejne og mere caries stiger effekten af fluorid (se Deans undersøgelser fra 1942).
  6. Med renere tænder falder effekten af fluorid, og fluorid har slet ingen effekt ved sunde og rene tænder.
  7. En ren tand har ingen gavn af fluorid. Derfor er dyr i naturen i fluorfattige områder også cariesfri.
  8. Cariesfri individer har et lavere fluor- og fluorid-indhold i tænder og mundhule end individer med dårlig mundhygiejne og caries.

Forskerne har ikke vist at vi bruger mere fluortandpasta end tidligere. De har heller ikke sandsynliggjort at den fluorid, der anvendes, er blevet stadig mere effektiv. Og de har ikke fremlagt hypoteser for hvilke egenskaber eller mekanismer ved fluorid, der skulle gøre det uundværligt i cariesforebyggelsen. Når cariesforekomsten falder og andelen af cariesfri stiger så drastisk, over en 30-årig periode, som det kan iagttages i Danmark, kan det umuligt skyldes fluorid. Årsagen kan kun være forbedring af plakfjernelsen.

Det er svært at måle hvor meget fluorid det enkelte individ udsættes for. Fluorid er naturligt forekommende, og det er umuligt helt at undgå fluorid. Forskerne kan således uproblematisk hævde, at der altid er fluorid med i spillet ved cariesforebyggelse, ligesom der altid er fluorid ved alle bryllupper. Problemet er, at de ikke kan forklare de meget drastiske ændringer i cariesforekomsten, med ændringer i fluoridpåvirkningen. Det allerstærkeste kort ville være påvisning af højere fluoridindhold i spyttet hos de cariesfrie, samt lavere fluoridniveauer i spyttet hos risikopatienter. Denne type forskning er dog bandlyst, da den ville påføre fluorkorthuset ubodelig skade.

Når forskerne ønsker højere fluorid-påvirkning hos risikopatienterne, og påstår at det er en uundværlig hjælp, så er deres præmis, at mundhygiejnen hos risikopatienter ikke kan forbedres. Hvis mundhygiejnen kan forbedres, så vil dette alene standse og forebygge caries. Forskellen mellem risikopatienterne og de cariesfri er mundhygiejnen og ikke fluor. Men sålænge forskerne og tandlægerne med forsæt begunstiger fluorid, så sker det på bekostning af bedre mundhygiejne. Især hos risikopatienterne er dette umådeligt skadeligt.

Plakfjernelse

Tilbage til start

Plak er en ophobning af mikroorganismer på tandoverfladen, som hvis den ikke regelmæssigt fjernes eller forstyrres, forårsager caries og tandkødssygdomme. Forskerne benytter i stedet ordet biofilm, og påstår at en diversificeret biofilm beskytter tanden mod erosioner og hypersensibilitet, og medvirker til kropsligt velbefindende. »En tynd plak efterlades ved almen regelmæssig tandpleje«, skriver forskerne. Ifølge forskerne, skal tænderne ikke børstes helt rene.

Silkeborg kommunes hjemmeside 14-03-2013. Overtandlægen beskriver exceptionelt gode caries-resultater, opnået på meget kort tid med plakfjernelse og fluortandpasta. »Den daglige tandbørstning, hvor tænderne børstes helt rene og der anvendes fluortandpasta er helt afgørende«. Som om jyderne ikke har haft adgang til fluortandpasta siden 1970'erne. Det eneste der har betydning for stigningen i antallet af cariesfrie er forbedret regelmæssig plakfjernelse. Bemærk at biofilmvedligeholdelse ikke nævnes, tværtimod skal tænderne børstes helt rene.

Forskerne har problemer med årsag og virkning. Plak på tandoverfladen er årsag til caries. Erosion opstår ved mekanisk påvirkning af en tandoverflade. Når en tandoverflade påvirkes mekanisk er det første der forsvinder plakken. Biofilmen beskytter derfor ikke tandoverfladen, men tilstedeværelse af plak er en konsekvens af at overfladen ikke udsættes for de påvirkninger der kan medføre erosion.

Selv efter tre uger uden tandbørstning er der plakfri områder. Plakfrihed betyder cariesfrihed. Grovere kost slider mere plak væk, medens blødere kost betyder mere plak og mere caries. Grovere kost erstattes i dag af tandbørste og tandtråd, som kan fjerne plakken helt. Biofilm kan ikke beskytte tyggefladerne mod slid eller erosioner, fordi den bliver slidt væk ved almindelig tygning. Glatte tandoverflader er en evolutionær genistreg, der letter plakfjernelsen på de flader der udsættes for mindre slid. Formålet med regelmæssig plakfjernelse er at få fjernet plakken fra de tandoverflader, hvor almindelig tygning ikke fjerner plakken (plak-stagnations-områderne). (Else Theilade).

Hverken for meget eller for lidt plakfjernelse er godt. Hvis plakken ikke fjernes regelmæssigt, opstår caries. Fluor og sukker har kun betydning for progressionshastigheden, når der er plak.

Forskere har i årtier gjort hvad de kunne for at forvanske virkeligheden. På trods af massiv svindel med fortolkning af forskningsresultater, er det dog muligt at danne sig et billede af virkeligheden. I 1960 kan man i Journal of Dental Research læse: »Dental caries has been one of the most widely studied diseases of mankind, but it was not until 1954 that Orland, Blayney, Harrison, Reyniers, Trexler, Wagner, Gordon, and Luckey using germ-free rats maintained on a cariogenic diet provided unequivocal evidence that experimental caries does not occur in the absence of micro-organisms«.

No caries without plaque. R.J. Fitzgerald, H.V. Jordan, H.R. Stanley, W.L. Poole and A. Bowler Experimental Caries and Gingival Pathologic Changes in the Gnotobiotic Rat J DENT RES 1960 39: 923

I 1970'erne gennemførtes i Karlstad i Sverige en række omfattende cariesforebyggende forsøg, som blandt andet indebar professionel plakfjernelse hver anden uge over en to-årig periode. Reduktionen i caries var mellem 90 og 98 %. I 1980'erne viste Thylstrup, at under forhold hvor alle udviklede caries inden for fem uger, kunne plakfjernelse én gang om ugen helt forhindre caries. Altså var det muligt både at fremkalde og forhindre caries helt uafhængigt af fluorid, sukker, økologi, spyt, probiotika, økologisk biofilm og arv.

Lille Karlstad. Plak-beskyttende metalbånd i fem uger, medførte tydelig caries hos alle 14 forsøgspersoner. Ved at fjerne båndet og plakken en gang om ugen og umiddelbart herefter recementere båndet, var det ikke muligt at finde synlige tegn på caries efter fem uger. Split mouth-forsøg. I den side hvor plakken blev beskyttet i fem uger, fik alle caries. I den anden side, hvor plakken blev fjernet en gang om ugen, fik ingen caries.

I naturen er det ikke kostens indhold eller manglende indhold af forskellige kemiske stoffer eller biologiske aggregater, der har betydning for om man får caries. Det eneste der har betydning for om man får caries er kostens evne til regelmæssigt at slide bakteriebelægningerne væk. Hvis kosten er grov nok og spises regelmæssigt i tilstrækkelige mængder, vil der ikke kunne opstå caries. Hvis dette ikke er tilfældet, må kostens plakfjernende effekt erstattes af tandbørste og tandtråd.

Emaljen er tandens slidbane. Emaljetykkelsen er størst der hvor tanden normalt slides mest. Den funktionelle tyggeflade (rød linje) omfatter i overkæben også en del af lingualfladen. Tyggefladerne, som i naturen udsættes for slid, har en ujævn overflade. Øvrige flader, som udsættes for mindre slid, har en jævn og glat overflade, for at lette plakfjernelsen. (DTF's billedarkiv).

Glatte tandoverflader er netop et bevis på at evolutionen har forsøgt at gøre det så besværligt som muligt for bakterierne at etablere sig på tandoverfladen. Det har aldrig nogensinde været meningen at en tynd biofilm skulle kunne etablere sig på tandoverflader, og biofilm på tandoverflader gør ingen gavn overhovedet. Tværtimod har bakterier været et problem lige siden udviklingen af de allerførste tænder. Derfor udvikledes glatte tandoverflader. Glatte tandoverflader er en evolutionær genistreg.

Tænder er beregnet til at blive brugt og til at blive slidt. Tændernes tyggeflader er ru og ujævne med tyk emalje. I naturen bliver den ujævne tyggeflade hurtigt slidt og udjævnet. Med slid eksponeres emalje med lavt fluorindhold. Øvrige dele af tanden har en glat overflade. Det er vigtigt at forstå, at det udelukkende er den regelmæssige mekaniske påvirkning af overfladen, der har betydning for om der kan opstå caries. Alle andre faktorer, sukker, fluorid og så videre, har udelukkende betydning for cariessygdommens progressionshastighed, når der er sygdom, altså når der er plak på tandoverfladen. Sygdomsfremkaldende plak kan kun opstå hvis overfladen ikke regelmæssigt påvirkes mekanisk.

Tandslid under naturlige forhold. Ældre Yanomami indianer før isolationsbrud. Føden opvarmes inden indtagelse, alligevel er sliddet på tænderne betragteligt. Ingen caries på tyggeflader fordi plakken fjernes regelmæssigt af mekaniske kræfter. Dyr i naturen har ikke brug for tandbørstning fordi deres kost er grov og fordi de indtager store mængder. Ligesom vi ser det i Grønland før isolationsbrud. Meget har ændret sig med vores kost gennem de seneste millioner af år. Men kun manglen på regelmæssig plakfjernelse kan medføre caries. Det er indlysende at en tynd biofilm ikke ville beskytte mod slid, uanset tykkelse.

Alle har cariesfremkaldende bakterier i mundhulen. Godt nok ændrer bakteriefloraen sammensætning påvirket af sukker, kost, alder, arv, kemi, mundhygiejne og utallige andre faktorer. Men uanset disse faktorer, så vil der opstå caries, hvis plakken ikke regelmæssigt påvirkes mekanisk.

Kan vi ikke blot spise det samme som dyrene? Altså rå uopvarmet og utilberedt kaloriefattig kost? Selv hvis vi spiste kost, der på alle måder svarede til naturens utilberedte, ville der mangle en meget vigtig komponent. Dyr og mennesker i naturen, udendørs sommer og vinter, har et helt andet energibehov end moderne mennesker. Kosten i naturen er således både grov og energifattig, udover at den skal indtages i meget store mængder for at dække enorme energibehov. Alt dette sikrer regelmæssig mekanisk påvirkning af tandoverfladen, og dermed cariesfrihed. Men ikke uden sværdslag. Glatte tandoverflader viser at bakteriebelægninger og caries, har været en problemstilling lige siden udviklingen af de allerførste tænder. Hvis der havde eksisteret økologiske og ufarlige bakteriebelægninger, ville glatte tandoverflader have været unødvendigt frås. Glatte tandoverflader er udelukkende opstået fordi evolutionen har favoriseret dem fremfor overflader hvor bakterierne lettere kunne få fodfæste og forårsage sygdom.

Naturligt slid. I naturen er slid en af de faktorer der begrænser tændernes holdbarhed. Sliddet forårsages af store mængder af grov uforarbejdet kost, som mekanisk knækker mindre eller større emaljestykker af. Den regelmæssige mekaniske påvirkning af overfladen er også med til at holde den plakfri og cariesfri.

Men moderne mennesker med moderne usund kost og stillesiddende arbejde kan også opnå cariesfrihed. Det kræver blot at plakken regelmæssigt påvirkes mekanisk med tandbørste og tandtråd. Uanset hvor meget sukker vi spiser og uanset hvor lidt fluorid vi udsættes for, så vil der ikke opstå caries når tænderne rengøres regelmæssigt. Bakterierne gør ingen gavn på tandoverfladerne og fluorid hjælper ikke til cariesfrihed. Og det er ikke nok at spise stenalderkost eller helt at undgå sukker, hvis man vil være cariesfri.

Erosioner, Syreskader. Det der ødelægger tænderne er gentagne uhensigtsmæssige tungebevægelser. Uden tungen ville det ikke være muligt. Det ville kunne lade sig gøre helt uden syre, men det går hurtigere når der i tungens fordybninger sidder syre. Tungen rasper emaljen af, og det går hurtigere med syre. Syre alene kan ikke gøre det. Og en nok så tynd biofilm beskytter ikke, fordi den for længst er slidt væk.

Der findes ikke troværdige og reproducerbare studier, der kan fortælle os, hvor gode vi er til at børste tænder og bruge tandtråd. De færreste tvivler nok på at vi er blevet bedre til at fjerne plakken regelmæssigt gennem de sidste tredive eller halvtreds år. Vi kan med sikkerhed sige, at der er sket noget meget radikalt med tandsundheden i denne periode.

Hvad angår forskernes økologiske plakhypotese, kan vi med sikkerhed sige to ting. For det første har forskerne ikke fremlagt nogen dokumentation for at nogle af de faktorer, der indgår i den økologiske plakhypotese, enkeltvis eller i kombination, har ændret sig på en måde, der skulle kunne forklare forbedringen. For det andet er det aldrig nogensinde blevet vist, at nogle af disse faktorer har indflydelse på andet end progressionshastigheden.

Hvad angår regelmæssig plakfjernelse ved vi, at der ikke kan komme hul i en tand, hvis der ikke er bakterier til stede. Vi ved, at hvis en sund tand blot er ren én gang om ugen, opstår der ikke hul i den. Selvom vi således ikke kan bevise, at tænderne er blevet renere gennem de seneste 50 år, fordi det aldrig er blevet undersøgt ordentligt, så ved vi, at hvis tænderne er blevet renere i denne periode, så vil det alene kunne forklare de forandringer, der er sket i cariesforekomsten, helt uafhængigt af alle andre faktorer.

Konklusion

Tilbage til start

Forskernes økologiske plakhypotese går ud på at efterlade en tynd biofilm på tandoverfladen ved tandbørstning. Tænderne skal altså ikke børstes helt rene. Når jeg angriber denne hypotese, er deres svar, at meninger kan afvige, at de ikke tror på den forældede uspecifikke plakhypotese som går ud på optimal plakfjernelse, og som jeg taler for. De fremlægger ikke nogen alternativ hypotese for hvorfor caries er ved at forsvinde. Når det ikke kan være mere fluorid, mindre sukker, bedre spyt eller andre komponenter af deres økologiske plakhypotese, og når det ifølge forskerne heller ikke kan være bedre tandbørstning. Så står vi med uforklarlig reduktion i cariesforekomsten.

Problemet med at efterlade og vedligeholde en tynd biofilm, eller med andre ord at slække på tandbørstningen, er at det uvægerligt vil medføre mere caries og tandkødssygdomme. Selv den bedste plakfjernelse, professionel eller amatør, vil efterlade små plakmængder de mest utilgængelige steder. For det meste medfører denne plak ikke sygdom, hvis optimal plakfjernelse gennemføres regelmæssigt. Men der findes ingen metoder til at opretholde en ensartet tynd og uskadelig biofilm på alle tandoverflader.

Forskernes økologiske plakhypotese dækker over et bredt spektrum, fra absurd hjernespind til voldsomt forvrøvlet vås. Der er ingen sammenhæng med virkeligheden i deres påstande. På grund af en fornuftig befolkning, der af flere andre grunde værdsætter rene tænder, er caries ved at forsvinde. Desværre sker dette på trods af forskernes anbefalinger af at efterlade en tynd biofilm på tandoverfladen ved tandbørstning. Og på trods af tandlægernes vildledende anbefaling af fluorid. Begge dele er skadelige for tandsundheden. I nogle andre lande hvor fluorid har en endnu mere fremtrædende rolle, kan man i visse aldersgrupper iagttage en stigning i cariesforekomsten.

Der er i høj grad tale om videnskabelig uredelighed, når forskerne står fast på deres økologiske plakhypotese. Man er oppe imod en massiv mur af dumhed. Alle med noget at skulle have sagt indenfor cariesforebyggelse, mener at fluorid hjælper, eller at det i hvert fald er uskadeligt. Det bliver derfor op ad bakke at vise, at alt, som bortleder opmærksomheden fra optimal plakfjernelse, er skadeligt.

Forskerne påstår ikke at ændringer i kost, livsstil, spyt, bakterieflora, arvelighed, uddannelse, social status, formue, amning, fødselsmetode, fluor eller andre komponenter i den biofilmvedligeholdende økologisk plakhypotese kan forklare udryddelsen af caries. Og de antyder heller ikke at der skulle foreligge videnskabelig forskning der skulle understøtte dette. Men de påstår at der ikke findes forskning der viser at plakfjernelse alene, uden supplement af fluor og andre faktorer, har cariesforebyggende virkning.

Det er vigtigt at sætte sig ind i forskernes påstande, for at forstå hvor umådeligt skadelige de er for tandsundheden, både hvad angår caries og tandkødssygdomme.

En helt uundværlig undersøgelse ville være måling af spyttets indhold af forskellige stoffer hos befolkningen, før og efter måltider og før og efter tandbørstning, for derefter at sammenholde det med cariesstatus. Undersøgelsen ville vise de laveste fluoridforekomster hos de cariesfri. Simpelthen fordi fluorid har affinitet for plak og caries.

Det er bekymrende, at tandlægestuderende og andre ikke kan gennemskue den massive og umådelig skadelige forvanskning af alt hvad der normalt forbindes med helt grundlæggende videnskabsetik, som man udsættes for. Der er tale om alt fra grove løgne og forvanskninger, til misbrug af statistik og forskningsresultater. Altsammen til stor skade for patienternes tandsundhed.

Myter

Tilbage til start

Tandlæger er ikke dummere end alle andre. Men mange patienter krummer tæer, når tandlægerne siger: »Du får huller i tænderne når du spiser sukker«, »Du skal bruge voksentandpasta«, og »Du skal børste to gange om dagen med fluortandpasta«. Det er ikke ligefrem tillidsskabende når tandlæger kommer med udtalelser der direkte strider mod sund fornuft, og når de endda understøttes af den etablerede tandlægevidenskab. Hvorfor skal dyr i naturen ikke bruge fluortandpasta for at undgå caries?

Sukker er ikke sundt. Og indtaget af sukker bør begrænses mest muligt. Men uanset mængden af sukker der indtages, kommer der ikke hul i en ren tand. Vi er nødt til at skelne mellem alle de faktorer der hæmmer caries, altså påvirker progressionshastigheden; og den faktor der afgør om caries overhovedet kan opstå, nemlig tilstedeværelsen af plak.

Personer med meget højt og hyppigt sukkerindtag kan udmærket være cariesfrie, når blot plakken fjernes regelmæssigt. Ligeledes kan personer, der slet ikke indtager sukker gennem mundhulen, for eksempel når de får føde via sonde, have caries, hvis plakken ikke fjernes regelmæssigt. Når plakken ikke fjernes regelmæssigt, vil mængde og hyppighed af sukkerindtag være medbestemmende for cariessygdommens udviklingshastighed. Men sygdommen kan ikke standses ved at standse sukkerindtaget.

Det gælder også for fluor, at det kun har betydning for cariessygdommens udviklingshastighed. Uden plak er der ingen sygdom, uanset fluor og sukker. Med plak, der ikke fjernes regelmæssigt, vil der altid være sygdom, afhængig af plakmængde og tid. Jo mere plak, jo større er den relative betydning af fluor og sukker. Har man for eksempel 3 huller, vil fluor kunne betyde et hul mindre (33 %). Har man ti huller, vil fluor kunne betyde seks færre huller (60 %). Men har man nul huller, så betyder fluor ingenting, både fordi cariesfriheden ikke skyldes fluor, men regelmæssig plakfjernelse, og fordi fluor ikke har nogen effekt på en ren tandoverflade.

Men uanset hvor meget caries og hvor meget fluor der er tale om, så er det indlysende, at hverken fluor eller forbud mod sukker, er løsningen på cariesproblemet. Det eneste der, helt uafhængigt af alle andre faktorer, kan forhindre og standse caries, er regelmæssig (optimal) plakfjernelse. Thylstrup viste faktisk, at det ikke var nødvendigt at tanden var helt ren hver dag. Det er blandt andet derfor det er så svært at måle mundhygiejne.

Derfor er det også meget effektivt mod caries at lakere ujævne emaljeoverflader. Lakeringen forhindrer at plakken kan få fodfæste på tandoverfladen, og forhindrer caries helt uafhængigt af fluor, sålænge forseglingen er tæt. Fissurforseglingen gør en ujævn overflade glat, og vanskeliggør bakteriernes kolonisering af overfladen. Dette er ikke nødvendigt i naturen, hvor slid fjerner alle bakterier regelmæssigt.

Argumenterne for fluor. Tidligere undersøgelser i befolkninger med meget høj cariesfrekvens viser at fluortilsætning kan halvere cariesforekomsten. Fluorid kan nedsætte cariessygdommens progressionshastighed ved en remineralisationsproces. Fluorid erstatter hydroksyl i emaljekrystaller, som har været opløst, eller på anden måde er skadet. Forskning i cariesforebyggelse omfatter altid fluor, hvilket umuliggør ethvert forsøg på at afgøre om årsagen til en iagttaget effekt er fluor eller plakfjernelse. Eller hvilken del skyldes fluor og hvilken del skyldes plakfjernelse.

Beviserne mod fluor. Store ændringer i cariesforekomst uden tilsvarende ændringer i fluorpåvirkning. Ingen hypoteser eller teorier understøtter at fluor skulle kunne give cariesfrihed, hvilket i betragtning af at mere end halvdelen af unge danskere er cariesfri, slet ikke giver mening. Det er bevist at der ikke kommer hul i en ren tand. Fluor kan ikke påvirke en ren og sund tand. Når plakken fjernes regelmæssigt, kan der ikke opstå caries, helt uafhængigt af sukker, fluor og alle andre faktorer. På nogle flader er plakfjernelse ikke nødvendig, fordi tygning af almindelig blød kost, vil påvirke overfladen mekanisk så belægninger slides væk. Plak på tyggehøje og fortændernes skærekanter er meget udsat, og primær caries i disse områder hører derfor til undtagelsen.

Regelmæssig plakfjernelse indebærer at risikoområder mindst en gang om ugen skal have fjernet plak. En risikoområde er i denne forbindelse, en sund tandoverflade med forøget cariesrisiko forårsaget af svær tilgængelighed (tandmellemrum, tænder bagtil, langs med tandkødet, fordybninger i tandoverfladen, tandreguleringsapparatur). En overflade, der allerede har været udsat for caries, skal rengøres hyppigere. Fluorindholdet i en ren og sund tand er lavere end i en carieret tand. Det er også velkendt at plakfjernelse er det mest effektive middel til forebyggelse af tandkødssygdomme.

Tilbage til start


Slut på første del.
Forfatteroplysninger og litteraturliste findes nederst på siden.


I Deans fluorundersøgelser fra 1942, havde byerne uden fluor mere end dobbelt så meget caries som byerne med høje fluoridkoncentrationer i drikkevandet. Årsagen var den høje cariestilvækst på grund af møgbeskidte tænder. Siden er vi blevet bedre til at børste tænder, og effekten af fluorid er faldet. Og når det drejer sig om at opnå cariesfrihed, har fluorid ingen effekt overhovedet. I 1942 kunne brugen af fluorid forsvares, fordi cariestilvæksten kunne halveres. Men når det drejer sig om at opnå cariesfrihed, er brugen af fluorid skadelig, både fordi fluorid ikke kan standse eller forhindre opståen af caries, og på grund af bivirkningerne.

Ingen er immune overfor caries. Alle har cariesfremkaldende bakterier i mundhulen. Det gælder også dyr i naturen. Der er endnu ikke fundet plaksammensætninger, der ikke er cariesfremkaldende hvis de ikke fjernes regelmæssigt.

Samtidig ved vi at fluorid ikke kan forhindre caries, men blot påvirke progressionshastigheden. Danmark har længe haft et kolossalt og uændret sukkerforbrug. Ingen af de faktorer der indgår i den økologiske plakhypotese har ændret sig på en måde der kunne forklare udryddelsen af caries. Forskerne påstår end ikke at biofilmvedligeholdelse har vist sig at kunne forhindre caries i noget der minder om videnskabelige forsøg.

Vi ved altså at regelmæssig professionel plakfjernelse helt kan forhindre caries. Helt uafhængigt af alle de faktorer der indgår i den økologiske plakhypotese. Det er nu op til forskerne at bevise at de samme resultater ikke kan opnås med tandbørste, elektrisk tandbørste og tandtråd. Det er på tide at forskerne åbner øjnene og finder ud af, at vi er i det 21. århundrede. Det kan virke uoverskueligt med så mange tilsyneladende modstridende oplysninger, men det er ikke nogen undskyldning for helt at koble hjernen fra. Det er på tide at forskerne vågner af deres snart 100-årige fluorose-søvn.

Fluorid gør ikke emaljen stærkere. Fluor i emaljen er tegn på sygdom, enten caries eller dental fluorose. Fluorapatit som erstatter hydroxylapatiten under cariesprocessen vil aldrig nogen sinde kunne blive så kompakt og slidstærk som normal sund hydroxylapatit emalje.

Ingen har brug for fluorid for at undgå caries. De cariesfrie har ingen caries fordi de regelmæssigt fjerner plakken, ikke på grund af fluor. De som har caries har brug for bedre mundhygiejne, ikke fluor. Fordi fluor kan aldrig forhindre opståen af caries eller standse udviklingen i et cariesangreb.

Det der gør at de cariesfrie ikke får huller, er regelmæssig plakfjernelse. Det er ikke mindre sukker eller mere fluorid. Hvis alle skal gøres cariesfrie er mindre sukker og mere fluorid ikke nogen hjælp, fordi de aldrig kan give cariesfrihed, det kan kun regelmæssig plakfjernelse.

Tandlægevidenskaben har i mere end hundrede år gjort caries til et kemisk og biologisk problem. Syre, sukker, spyt og spytmængde, probiotika, biofilm, økologisk balance indgår alle i forskernes »økologiske plakhypotese«. Der er altid bakterier på alle menneskets overflader, både indvendige og udvendige. Og det er ikke tilfældigt hvilke og hvor mange bakterier der er på en overflade. Forskerne vil gerne foregive at bakterierne er uundværlige og sundhedsfremmende på alle overflader, ligesom, de er det i vores tarmsystem. Men der er nogle vigtige undtagelser, herunder hornhindens overflade og tænderne.

Virkeligheden om caries er dog en helt anden. Og bakterier gør slet ingen gavn på tandoverflader, tværtimod. I modsætning til forskernes udlægninger, så er det der har betydning for caries, de fysiske og mekaniske påvirkninger som tanden udsættes for ved tygning eller tandbørstning.

Det er længe siden at mennesket har været en del af naturen. Moderne kost bliver findelt og opvarmet, og næsten alt som ikke indeholder kalorier fjernes. Samtidig er det moderne menneskes kaloriebehov faldet drastisk på grund af et drastisk fald i aktivitetsniveau (stillesiddende arbejde). Dyr i naturen har kun meget sjældent problemer med caries, og eventuelle problemer er helt uafhængige af dyrenes adgang til fluoridholdige drikke- eller madvarer. Men dyr i naturen er kun sjældent helt cariesfri, og de har for det meste også plak på tænderne.

Det der gør at dyr og mennesker i naturen ikke har problemer med caries, er ikke kostens indhold eller manglende indhold af forskellige kemiske eller biologiske komponenter. I naturen er det kostens slid på tænderne, som er det eneste der har betydning for om der kommer huller i tænderne eller ej. Når kosten slider nok på tænderne, udgør caries ikke noget problem. Moderne kost slider ikke nok på tænderne til at vi kan undgå caries. Vi er derfor nødt til at børste tænder med tandbørste og tandtråd. Regelmæssig plakfjernelse med tandbørste og tandtråd giver så til gengæld den fordel fremfor naturens plakfjernelse; at det er muligt at fjerne så meget plak at caries helt kan undgås. Det kan normalt ikke lade sig gøre for dyr i naturen helt at undgå caries.

Naturens slid har også været med til at forme og opbygge tænderne gennem evolutionen. En af de faktorer der allerede fra begyndelsen af har haft betydning for opbygningen af tænderne, er netop caries. I forhold til slid og caries er der to typer af tandoverflader. Der skelnes mellem de flader der direkte indgår i aktiv tygning, tyggefladerne, og alle andre overflader. Tyggefladerne har tyk emalje og ujævn overflade ved frembrud. Ved naturligt slid slides emaljen tyndere, ujævnhederne udviskes, og plakken fjernes. Alle andre overflader udsættes for mindre slid i naturen, derfor har de tyndere emalje og glatte overflader for at lette plakfjernelsen.

Cariesforebyggelse, Tandlæge Benny Kaufmann Solbirk
Andelen af cariesfrie er stigende, og mere end halvdelen af de 15-årige danskere er nu cariesfrie. Det er et bemærkelsesværdigt resultat, og et resultat, der i mange kommuner er opnået over et meget kort tidsrum. Vi må finde ud af hvordan disse exceptionelt gode resultater opnås.
I Tandlægebladet nr. 4/2013 side 292, står »Aarhus-unge i tændernes superliga«, og »Silkeborgs unge har færre huller«. På Silkeborg kommunes hjemmeside findes artiklen »Halvering af huller i tænderne hos børn og unge«, med blandt andet følgende indhold: »På seks år er det lykkedes at halvere antallet af huller i tænderne hos de 0-18 årige. Mere undervisning i tandbørstning hos børn og forældre samt behandling efter behov har gjort forskellen«, »børn og unge under 18 år i Silkeborg Kommune nu har 48 % færre huller i tænderne end i 2006«, »Hver anden ung på 18 år udskrives fra den kommunale tandpleje uden huller«, »Den daglige tandbørstning, hvor tænderne børstes helt rene og der anvendes fluortandpasta er helt afgørende. Også fordi vi i Silkeborg Kommune stort set ikke har fluor i drikkevandet«.
Man lægger mærke til, at overtandlægen mener, at den afgørende årsag til forbedringen, er en kombination af »helt rene tænder, opnået ved tandbørstning«, samt »brugen af fluortandpasta«. Silkeborg har altså på meget kort tid opnået helt utrolige resultater med fluortandpasta og rene tænder. Ikke et ord om tynd biofilm, metabolismehæmmere, sukker, probiotika eller bedre spyt. Når de ikke er nævnt, må vi gå ud fra at overtandlægerne ikke mener, at de er afgørende. Det samme forhold gør sig også gældende for andre kommuner, der har oplevet meget færre huller på kort tid. Rene tænder og fluortandpasta er altså de to håndtag, som tandplejen har valgt at skrue på. Men er de lige betydningsfulde, eller kan den ene undværes?
I Tandlægebladet nr. 4/2013 side 298, skiver forskerne: »Fluorider kan ikke forhindre caries«, og »Fluorid kan derimod nedsætte cariesprogressionshastigheden ved en remineralisationsproces, og der er dokumentation i ældre litteratur for, at fluorid i drikkevandet kan halvere DMFT på populationsbasis«. Fluorider kan altså slet ikke være årsag til cariesfrihed, ifølge forskerne. Forskerne understreger vigtigheden af at foranstaltningerne kombineres. Resultater kan altså, ifølge forskerne, ikke opnås ved at vælge enten den ene eller den anden foranstaltning.
Selv om fluorider ikke kan give cariesfrihed, så kan man altså ved at kombinere det med rene tænder, opnå cariesfrihed, ifølge forskerne. Forskernes mistillid til den cariesforebyggende effekt af tandbørstning og anvendelse af tandtråd, bygger på endog meget solide videnskabelige forskningsresultater. Faktisk er de så solide, at man ifølge forskerne kan betragte det som en konstant, der ikke kan forbedres. Vi kan altså ikke forvente at folk med tiden bliver bedre til at fjerne plakken med tandbørste og tandtråd, eller i hvert fald at dette skulle have nogensomhelst betydning for caries. Det kan kun have betydning for tandkødssygdomme. Dette var bare lige for at opmuntre folk, der ønsker at børste deres eller børnenes tænder bedre.
Ifølge forskerne står vi med to faktorer, fluorid og plakfjernelse, der hver for sig har begrænset eller ingen effekt, men som når de kombineres, kan give cariesfrihed. Forskerne opererer også med begrebet »professionelt rengjorte tænder«. På den måde er det muligt at skelne mellem det amatøragtige tidsspilde der foregår i hjemmene, og den reelle plakfjernelse, der kun kan foregå på en tandklinik. Herved er det muligt at forklare Karlstad, hvor der opnåedes mere end 90 % cariesreduktion ved professionelt at fjerne plak hver anden uge, kombineret med en masse andre foranstaltninger.
Ifølge forskerne er optimal plakfjernelse tydeligvis af større betydning for tandkødssygdomme, medens vi skal vedligeholde en tynd biofilm, hvis vi skal undgå caries. Forskerne forklarer ikke hvordan en tynd biofilm opnås eller hvor tyk den skal være, men kun hvordan den vedligeholdes. De går simpelthen ud fra, at det er helt naturligt at være sjusket med mundhygiejnen. Man behøver heller ikke instruktioner for at kunne tisse i bukserne.
Mens nogle overtandlæger arbejder for helt rene tænder, spænder forskerne her grundigt ben for dem med »tynd biofilm«. Man kan godt forstå at nogle bliver forvirrede, med sådan en spærreballon. Når man læser artiklerne, kan man ikke undgå at komme til at tænke på en selvdestruktiv kult, hvis mål er, at udslette verdens befolkning med tynd biofilm. Snart kan man vel ikke se andet end tynde biofilm i biograferne.
I 1942 offentliggjorde Dean cariestal fra flere byer i USA, og sammenholdt det med fluoridindholdet i drikkevandet. I byer med meget højt fluoridindhold i drikkevandet var der udbredte skader på tænderne (dental fluorose). Men det væsentlige er, at selv i byerne med allerhøjst fluoridindhold i drikkevandet, havde de langt mere caries end vi har i dag.
Caries udgør kun i helt specielle tilfælde et problem for dyr i naturen. Mennesket har også været en del af naturen, men siden har vi blandt andet lært at bruge redskaber og opvarme maden. Moderne kost er en blød kaloriebombe, hvor alt er kværnet og kogt. Tænder er i dag et rent kosmetisk indslag, vi kunne udemærket få dækket alle kostbehov med moderne kost, helt uden tænder. I denne her sammenhæng er stenalderkost noget pjat, fordi maden er bearbejdet og opvarmet.
Ser man på en tidslinje hvor kosten bliver stadig mere raffineret, kalorierig kost der kræver mindre tygning, og et lavere kaloriebehov som følge af mere stillesiddende arbejde, kan vi iagttage en tilsvarende stigning i caries, indtil vi igen får styr på plakken med tandbørsten. Stigningen i caries sker som en konsekvens af manglende slid. Slid er naturens metode til at begrænse plak, og plak er som bekendt årsagen til caries. Det er i den forbindelse fuldstændig irrelevant om kosten indeholder sukker eller fluor. Det som betyder noget, er kostens evne til at slide plak væk.
Tændernes udformning er ligefrem en afspejling af disse forhold. På tyggefladen er emaljen tyk og har en meget ujævn overflade. Her har bakterierne ikke en chance for at ophobes, når overfladen udsættes for slid fra tygning af store mængder kaloriefattig utilberedt kost. Emaljen er tyk fordi en tynd emalje hurtigt ville være slidt igennem med naturlig kost. Langs med tandkødet og i tandmellemrummene er emaljen stadig tyndere, fordi disse flader udsættes for mindre slid. Til gengæld er overfladerne glatte, fordi det er lettere at fjerne plak fra en glat tandoverflade med det mindre slid, der er at gøre godt med, når man fjerner sig fra tyggefladen.
Evolutionen har vinket til os med en vognstang. Plakken gør ikke nogen gavn. På tyggefladen ville det normale slid fjerne plakken, og på de andre overflader er vi hjulpet af glatte flader for at lette plakfjernelsen. Tænk blot hvis approksimalflader havde været ru og ujævne.
Emaljen består af tætpakkede krystaller med mikroskopiske mellemrum. Denne emalje har den største slidstyrke overfor mekanisk slid. Mekanisk slid er det som tænderne udsættes for i naturen. Og i naturen er det sjældent, at mekanisk slid forudgås af syrepåvirkning som svækker overfladeemaljen ved at gøre den porøs. En caries- og plakfri emaljeoverflade har et lavt fluorindhold.
De- og remineraliseringsprocesser kan forekomme i forbindelse med syreangreb, i plakdækket emalje eller ved indtagelse af syreholdige drikkevarer opløses emaljens hydroxylapatit så emaljens porøsitet og gennemtrængelighed øges. Når syreangrebet aftager, er der en tendens til at det tabte mineral erstattes af fluorapatit, som er tungere opløseligt end det hydroxylapatit, der udgør normal emalje. hydroxylionen med 9 protoner og 10 elektroner fordelt på to kerner har en tendens til at blive erstattet af fluoridionen der ligeledes består af 9 protoner og 10 elektroner, men med én kerne. Ikke fordi demineraliseringen mindskes, men fordi remineraliseringen øges.
Plakdækket og carieret emalje har et højere fluorindhold end sund og plakfri emalje. Fluorapatit er mere syreresistent men ikke mere slidstærk overfor mekanisk slid. Emalje der har været opløst, vil aldrig genopnå samme kompakthed som sund emalje. Overfladen forbliver også mere permeabel når den først har været opløst. Cariesprocessen fortsætter da også hovedsageligt under overfladen i den såkaldte subsurface lesion. Det er en udbredt misforståelse, at fluor kan danne et beskyttende overfladelag der kan forhindre at tanden opløses i forbindelse med caries. Cariesprocessen foregår under overfladen, men gennem overfladen. Den porøse subsurface lesion er dækket af et tyndt permeabelt lag emalje med et relativt højt fluorindhold.
Fluor hænger på alle måder sammen med cariessygdommen. Fluorid findes i højere koncentrationer i plak end i spyt, og fluor findes i højere koncentrationer i carieret end i sund emalje. Fluor har ingen effekt på sund emalje. Cariessygdommen udvikler sig langsommere jo højere fluoridpåvirkningen er. Jo højere cariestilvæksten er, jo større effekt opnås med fluorid. Når vi derimod nærmer os cariesfrihed, er der ingen effekt af fluorid.
Og vi hjælper ikke risikopatienterne ved at øge deres fluorid-eksposition. Det som risikopatienterne har brug for, er ikke fluorid, som i allerbedste tilfælde kan ændre cariessygdommens progressionshastighed. Det risikopatienterne har brug for er bedre mundhygiejne, og her er de bedst hjulpet af tandbørsteinstruktion, så de kan komme tættere på de cariesfrie.
En påstand om at fluorid skulle kunne have nogetsomhelst med øget cariesfrihed at gøre, er i direkte modstrid med den viden vi har. Og på samme måde kan alle de øvrige biofilm-vedligeholdende foranstaltninger lægges i graven.
Hvis forskernes påstande skal have nogensomhelst værdi, er det absolut nødvendigt, at de kan sandsynliggøre at deres foranstaltninger kan give anledning, eller har givet anledning til resultater i stil med dem vi ser i Silkeborg og i Nexø. De kunne for eksempel vise at spyt hos cariesfrie adskilte sig fra spyt hos risikopatienter, ved indholdet af fluor, sukker eller lignende, på en måde der sandsynliggjorde deres hypoteser.
De skal også have styr på årsag og virkning. Når der findes en øget forekomst af Streptococcus Mutans hos risikopatienterne, er årsagen så at patienten har en dårlig mundhygiejne, der tillader ophobning af større mængder plak? Eller er tilstedeværelsen af Streptococcus Mutans årsagen til at risikopatienterne ikke kan fjerne plakken? Forskerne har ikke sandsynliggjort deres påstande, eller hypoteser, tværtimod.
Det kan selvfølgelig være et problem for forskerne, når de er så langt forud for deres tid, at virkeligheden ikke kan følge med.
Der går stadigvæk ikke hul i en ren tand. Det gælder både på den enkelte tandoverflade og det gælder på populationsniveau. Og det er helt uafhængigt af sukker, fluor, probiotika og alt andet.
I naturen kan vi faktisk ikke helt undgå caries. Derfor har det blandt andet været nødvendigt med glatte tandoverflader. Men med tandbørste og tandtråd til regelmæssig plakfjernelse har vi for første gang i verdenshistorien mulighed for at opnå reel cariesfrihed. Det er derfor det er så ærgerligt at forskerne ødelægger det med deres forplumringer. Der skal faktisk ikke helt så meget til. Det er derfor stadig flere finder ud af det, på trods af forskerne.
Nu hvor jyderne endelig er kommet efter Nexø, tror jeg også at forskerne vil få problemer med at få folk til at slække på mundhygiejnen. De har nemlig forstået nogle helt grundlæggende sammenhænge, som forskerne slet ikke har fattet.
Der er mange flere oplysninger på hjemmesiden http://www.cariesforebyggelse.dk/.

Andelen af cariesfrie er stigende, og mere end 50% af de 15-årige danskere er nu cariesfrie. Det er et bemærkelsesværdigt resultat, og et resultat, der i mange kommuner er opnået over et meget kort tidsrum.
Årsagen er at vi bliver stadig bedre til regelmæssigt at fjerne plak.
Hvordan kan det være, at helt almindelige mennesker bedre forstår sammenhænge, som professorer, overtandlæger og tandlæger ikke fatter? Hvis det bare havde været uskyldige julelege, men det drejer sig om at gamble med hele befolkningens tandsundhed, til skade for alles tandsundhed.
Forskningen centrerer sig om fluor, probiotika, sukker, biofilmvedligeholdelse, spytforbedringer og metabolismehæmmere. Ingen af disse faktorer kan have haft blot marginal betydning for stigningen i andelen af cariesfri. Og forskningen muliggør ikke en udskilning af årsager. Enhver kan, uden nogen akademisk grad, se, at en plakfri tandoverflade er en sund tandoverflade. Der går ikke hul i en ren tand. Og stadig flere bliver stadig bedre til at holde tænderne rene. Alligevel betaler befolkningen via offentlige midler fede lønninger til bagmænd der med titler som professorer og overtandlæger, uddanner nye svindlere, til at vildlede befolkningen med fluor- og sukkerfabler.
Fornuftige forældre kommenterer med det samme: Det kan i hvert fald ikke være fordi vi spiser mindre sukker, og vi bruger da ikke mere fluortandpasta, Kan det være fordi vi børster tænderne bedre? vi lægger i hvert fald meget vægt på at tænderne er rene.
De andre siger: men vi bestræber os da på at de kun får slik i weekenden, og vi husker altid at bruge fluortandpasta.
Forskellen er, at de fornuftige ignorerer udmeldingerne om fluor og sukker (og probiotika), og koncentrerer sig om regelmæssig plakfjernelse. De svage bliver derimod vildledt af fluormafiaens tandsundhedsskadelige løgne, hvilket svækker mundhygiejnen, og fremmer fødekæden til tandlægeboret.
Forskernes aktiviteter dækker over et bredt spektrum fra absurd hjernespind og til voldsomt forvrøvlet vås. Hvor tyk skal den tynde biofilm for eksempel være? De kan ikke lave det kompliceret nok, i deres bestræbelser på at tilsløre hvad det virkelig drejer sig om. Tænk blot hvis det blev gennemskuet, at de havde misbrugt milliarder på forskning i fuldstændig betydningsløse metoder. Man kan godt forstå at de svage ikke kan gennemskue forplumringen, og bruger ressourcerne på de forkerte områder.
Allerede i 1970'erne opnåede man i Karlstad en reduktion i cariesprogressionen på mere end 90%, ved at lade tandplejepersonale fjerne plakken hver anden uge. I dag forsøger forskerne at nedgøre mundhygiejne ved at skelne mellem hjemmemundhygiejne og professionel plakfjernelse. Ved at gøre hjemmemundhygiejne til en konstant, der ikke kan forbedres, kan de bruge gamle forskningsresultater, der ikke viser noget som helst om effekten af plakfjernelse med moderne hjælpemidler. Det er naturligvis altid vigtigt, at forskning gør det muligt at skelne effekten af plakfjernelse fra effekten af fluor og lignende.
Spytprøver indsamlet blandt mange personer over en længere periode, er en relativ simpel metode. Spyttets indhold af fluor, probiotika, sukker, bakterier og så videre, kunne derefter sammenholdes med deltagernes cariesstatus (cariesfrihed).
Forskerne har ikke modbevist at regelmæssig plakfjernelse er og bliver den eneste årsag til den forbedrede cariessituation. De har heller ikke sandsynliggjort at nogle af deres biofilmvedligeholdende aktiviteter kan være årsagen til de exceptionelt fine cariesforbedringer, hverken enkeltvis eller som en kombineret effekt. Forskerne skylder en forklaring på den forbedrede cariessituation.
Er der tale om en bevidst forretningsstrategi til skade for tandsundheden, eller er der tale om grænseløs uvidenhed? Det er ikke så svært, men det kræver hjerneaktivitet.

Regelmæssig fjernelse af plak fra tandfrembrud er den eneste helt sikre metode til at undgå caries. Fluor, sukker, afbalancering af bakteriearter, og alle andre metoder til at påvirke cariessygdommen, kan kun påvirke sygdommens progressionshastighed. Forskellen mellem cariesfri og risikopatienter er plakfjernelse, det gælder både på den enkelte tandflade, på individniveau og på populationsniveau. Tværtimod findes et højere fluorindhold i overfladen af et cariesangreb end i den omkringliggende sunde tandoverflade. Vi hjælper ikke nogen ved at bruge fluor. Tværtimod så skader man risikopatienterne. Og sukker slår bakterier ihjel, derfor bruger vi det til konservering. Uanset hvor meget sukker man spiser, kommer der ikke hul i en ren tand. Læs om hvordan cariesforebyggelse virkelig hænger sammen, og hvordan fluor i snart hundrede år har bremset udviklingen.

Forord

Tilbage til start

Forskere har udlagt cariesætiologien på forunderlige måder. En af de tidlige modeller er Keyes triade, hvor tanden, mikroorganismerne og deres substrat, tilsammen udgør den cariesfremkaldende mekanisme. Senere har forskere forsøgt at udpege kemiske eller mikrobiologiske forhold som skyldneren. For eksempel er sukker eller bestemte bakteriearter blevet udset som ærkeslyngler, medens fluor er udråbt som en frelsende engel. Dog er akut eller kronisk fluormangel kun de færreste steder nævnt som cariesfremkaldende. De fleste har en klar forestilling om, at dyr i naturen og menneskenes tidligste forfædre ikke lider eller led af huller i tænderne, på grund af den kost de indtog. Men hvad er det ved kosten, af betydning for caries, der har ændret sig? Her har traditionel forskning koncentreret sig om øgede sukkermængder, altså en ændring i kemien i det orale miljø. Dette skulle skabe grundlaget for en overvækst af skadelige bakterier, ophobet på tandoverflader. Den anden tilgang til cariesætiologi er, at mere skadelige bakterier har taget over som følge af kostændringer, altså en mikrobiel ændring. Vi skulle ifølge denne tilgang kunne genskabe en sund mikroflora i balance. På denne måde skulle det være muligt, ved at ændre på kemien og mikrobiologien, at genskabe et oralt paradis, hvor tandbørsten blev overflødig. Både fluor, sukker og mikrobiologi skydes dog ned ved en rationel gennemgang. Ved fluor ved vi at dyr i naturen er »cariesfri«, uanset om det vand, de drikker, er fluorfrit eller fluorrigt. Og vi ved at i områder hvor børnene drak vand med et endog skadeligt højt fluoridindhold, havde mere caries end vi har idag. Når det drejer sig om sukker, så ved vi, at selv individer med ekstremt højt sukkerindtag, kan være cariesfri. Og vi ved, at rotter uden bakterier ikke får caries, uanset hvor sukkerholdig kosten er. Det er ikke engang muligt at give bakterierne skylden. Vi bliver i hvert fald ikke smittet som ved andre smitsomme sygdomme. Der er endnu ikke fundet levende væsener med tænder i munden, som ikke også har cariesfremkaldende bakterier i munden, og blot bakterierne uforstyrret får tid nok på tænderne, vil der opstå caries. Vi er altså allesammen smittet.

Danske børn med caries gennem 30 år. Tre gange så mange danske 15-årige er blevet cariesfrie. DMF-S hos danske 15-årige er mindre end en femtedel. Om vi så tog bad i fluor og smurte os ind i A38-creme, om vi så gjorde det tre gange om dagen, indvortes og udvortes, allesamen. Om vi så indførte et totalforbud mod sukker, så ville det ikke kunne forklare stigningen i antallet af cariesfrie. Der er en afgrundsdyb forskel mellem effekten af regelmæssig plakfjernelse, og alle kemiske og biologiske cariesbekæmpelsesmetoder. Mekanisk plakfjernelse er naturens egen metode til at bekæmpe caries. Og det er den eneste relevante metode til at forebygge caries. Fra Tandlægebladets temanummer om caries 2013, side 206.

Årsagen til caries er, at de bakterier, der til alle tider findes i mundhulen, og ophobes på tandoverfladerne, ikke bliver fjernet eller forstyrret tilstrækkeligt meget, tilstrækkelig ofte, lige fra tandfrembrud.

Anvendelse af fluorider til cariesforebyggelse
Små børn Systemisk fluorid kan skade tanddannelsen og forårsage dental fluorose. Da små børn både har tænder under dannelse og ofte sluger tandpasta, er fluor en rigtig dårlig ide.
Større børn og unge Alle børn og unge bør opleve at have sunde og gode tænder. Dette kan kun opnås med regelmæssig plakfjernelse. For at de unge kan blive selvhjulpne og bringe gode vaner videre til deres egne børn, er det væsentligt, at budskabet ikke forplumres af fluor, som ikke gør andet end at forsinke caries.
Voksne og ældre For at undgå caries er det vigtigt regelmæssigt at fjerne plakken. Når tandbørstningen er god nok, er fluor overflødig.
Ved livets afslutning Hos ældre er plakfjernelse stadig det eneste der kan standse caries. Evnen til selv at gennemføre tilstrækkelig plakfjernelse, falder med alderen, og de ældre vil i stigende grad være afhængige af hjælp fra andre. I livets sidste stadier, hvor tandbørstning kan virke som et overgreb, kan fluorid forsinke udviklingen af cariesangreb. Anvendelsen af fluorid kan forsvares, fordi patienten ikke forventes at overleve.

Når stadig flere er cariesfrie skyldes det, at forældrenes indsats med tandbørste og tandtråd, bliver stadig bedre. Det skyldes ikke ændringer i fluorpåvirkning, sundere kost eller mindre sukker, og bakterierne er heller ikke blevet mere venligtsindede. Forskellen mellem de cariesfri og risikopatienterne er bedre plakfjernelse. Og årsagen til at dyr i naturen ikke får caries, er ikke at de spiser mindre sukker, men at den måde de bruger tænderne, til at bearbejde store mængder af grov kost, medfører at bakteriebelægningerne regelmæssigt bliver forstyrret. Hvis vi skal hjælpe risikopatienterne, så gør vi det ved at forbedre plakfjernelsen. Når man anbefaler fluor til patienter, som må forventes at blive selvhjulpne, så skader vi patienterne, fordi fluorbehandlinger ikke bringer risikopatienterne tættere på bedre plakfjernelse, men tværtimod forvirrer begreberne. Denne forvirring vil med stor sandsynlighed også gå i arv, så risikopatienternes børn også ender som risikopatienter. Dette ville helt kunne undgås, hvis man kom med et klart budskab om bedre regelmæssig plakfjernelse. Man kunne hurtigt afskrive fluorids rolle i cariesfrihed ved at måle spyttets fluoridindhold og sammenholde det med cariesstatus. Her ville det vise sig at de cariesfri havde et lavere fluoridindhold i spyttet end risikopatienterne. I stedet spilder forskerne stadig ressourcer på at undersøge fluorids indvirkning på cariessygdommens progressionshastighed. Fluorid kan nemlig aldrig standse eller forhindre opståen af cariessygdom. Der spildes også ressourcer på at forske i tandvenlige bakteriearter, tandvenlige fødemidler og cariesvacciner. Ingen af disse vil kunne erstatte eller overflødiggøre regelmæssig plakfjernelse. Og når vi ved at det er muligt at undgå caries ved regelmæssig plakfjernelse, så er det vildledning at anvende fluor- og kostvejledning som cariesforebyggelse.

Vigtige spørgsmål til cariesforskerne og fluoreksperterne.

Foreløbige svar.

Kan de fremlægge forskningsresultater der viser forbedringer i cariesforekomsten, og forøgelse i antallet af cariesfri, hvor det kan udelukkes at forbedringen skyldes bedre plakfjernelse?

Årsagen til alle forbedringer og især til cariesfrihed kan kun være plakfjernelse. Der findes ingen forskning der viser noget andet.

Kan de fremlægge en hypotese for hvordan fluorid kan standse caries, og forhindre at der opstår caries på en sund tandoverflade?

Fluorid forsinker cariesprocessen, men kan aldrig hindre opståen eller standse caries.

Fluorindholdet i emaljeoverflade over et cariesangreb er højere end i den omgivende sunde emaljeoverflade. Resultaterne baseret på Weatherell 1977. Her fra lærebog i cariologi.

Vi bliver stadig bedre til at børste tænder. Derfor er stadig flere caries-fri. Ved at børste tænderne, fjerner man plakken, som er årsagen til caries. Uden plak kan der ikke opstå caries. Og plakfjernelse er den eneste metode til at forebygge caries.
Fluorid og andre metoder til at påvirke cariesprocessen, kan nedsætte cariessygdommens progressionshastighed, men de kan aldrig standse caries, det kan kun plakfjernelse. Det er en væsentlig og altoverskyggende forskel mellem plakfjernelse, og alle andre carieshæmmende metoder. Kun plakfjernelse kan give cariesfrihed.

Fremtrædende forskere i cariologi og den tandpleje der skal passe på befolkningens tænder, giver tilsyneladende udtryk for noget helt andet, når de skriver:

Hvis påstandene om fluorids effekt havde været troværdige, så ville man have forventet,

Men

På side 215 i Tandlægebladets (2013) temanummer om caries skriver forskerne: En optimal cariesregistrering kræver, at tænderne er professionelt rengjorte og undersøges under både våde og tørre forhold.
Det vil sige, at en patient der forlader tandlægen med plak på tænderne, de steder hvor der er cariesrisiko, ikke er blevet undersøgt optimalt. Når forskerne skriver »professionelt rengjorte« er det endnu et eksempel på nedgøringen af folks egen mundhygiejne. Hvis de ressourcer der er blevet spildt på fluor og lignende var blevet brugt på optimering af plakfjernelse, ville det have set helt anderledes ud.

Påstanden er, at forbedret mundhygiejne i hjemmene er årsagen til den faldende cariesforekomst og det øgede antal af cariesfri individer, og at det intet har med fluorid eller kost at gøre. Hvis fluorid var årsagen til det stadig stigende antal cariesfri individer, ville vi forvente, at cariesfri havde højere fluorindhold i spytprøver. Men sådanne spytprøver ville være ødelæggende for fluor-korthuset, idet de ville vise de laveste fluorkoncentrationer hos de cariesfri, og de højeste fluorkoncentrationer hos risikopatienterne. Derfor er de ikke blevet gennemført.

Der vil altid være nogle, som ikke kan finde ud af at gå over for grønt. Visse undergrupper (fx visse etniske grupper, lavindkomstgrupper), hvor der ikke er nogen tradition for at gå over for grønt. Hvad nu hvis vi underviser disse undergrupper i at gå over for gult, med begrundelsen, at det i hvert fald er bedre, end at de går over for rødt? Alle ved, at det er en dårlig løsning, hvis det overhovedet kan kaldes en løsning. Det er indlysende, at alle skal undervises i at gå over for grønt. Der skal ikke spildes tid på undervisning i at gå over for gult.
De cariesfrie er cariesfri fordi de er gode nok til at få fjernet den plak, som er den helt nødvendige forudsætning for at der kan opstå caries. Når der spildes tid på fluorid, fremfor plakfjernelse, så svarer det til, at undervise folk i at gå over for gult.

Den stadig bedre tandsundhed er gennem 50 år blevet tilskrevet fluorid. I begyndelsen af 1900-tallet blev man opmærksom på at befolkningen i nogle byer i USA havde misfarvede og i nogle tilfælde endda misdannede tænder. Man fandt en sammenhæng til drikkevandets fluoridindhold. Jo mere fluorid der var i drikkevandet, jo alvorligere var tænderne påvirket af dental fluorose, men samtidig var der mindre caries i tænderne. I 1942 offentliggjorde Dean et. al. en illustration som skulle vise forholdet mellem drikkevandets fluoridindhold, alvorligheden af fluorids giftvirkning (dental fluorose), og forekomsten af caries blandt teenagere i en del byer. Illustrationen blev brugt til at fremme en ideologi, der hævdede, at med omtrent 1 ppm fluorid i drikkevandet, kunne man opnå en stor cariesreducerende effekt, samtidig med at man kunne undgå de negative bivirkninger af fluorid. Man kunne fastlægge et optimalt fluoridindhold i drikkevand. Cariesforekomsten blev målt i DMF-T, og det fremgår af illustrationen, at ingen af de målte områder havde en DMF-T under 2. Idag har flere danske kommuner en cariesforekomst målt i DMF-S på mindre end 1.
Selvom teenagerne i USA levede i områder med alvorlige skader som følge af fluorid, havde de altså mere caries end vi har i dag.

Dental fluorose. Thylstrup og Fejerskovs indeks. Under tanddannelsen, kan indtagelse af fluorid medføre skader. Dental fluorose medfører med stigende fluoridpåvirkning en dårligere mineralisering af emaljen. Den dårligere mineraliserede emalje er hvidere, mere kridtagtig og mindre slidstærk. Når tanden kommer frem, kan den se hvid og fin ud. Den bliver dog slidt hurtigt, og farvestoffer kan trænge ind. De steder hvor drikkevandet indeholder mest fluorid vil man ofte forsøge at finde alternative kilder.

Det som Dean iagttog, var at cariessygdommen udvikledes langsommere med højere fluoridindhold i drikkevandet. Dean vidste, at fluorid ikke kunne standse caries, i hvert fald ikke, hvis patienterne også skulle overleve.

I 1942 viste Deans undersøgelser af cariesforekomsten, at ingen af de byer han undersøgte, havde et DMF-T under 2, selv når drikkevandets fluoridindhold var allerhøjst. Dean forsøger ikke engang at antyde, at carieskurven bevæger sig mod nul, med stigende fluoridpåvirkning. Selv Dean vidste, at fluorid ikke kan standse caries.

Jamen, fluortandpasta styrker tandemaljen og gør den mere modstandsdygtig overfor caries og reducerer mængden af syre i plakken. Og fluortandpasta er en metode til at opnå både fluor-effekt og tandbørsteeffekt, og samtidig reducere de systemiske bivirkninger og øge den lokale effekt i mundhulen (topical effect). Men det kan stadigvæk ikke forklare, at vi har mindre caries i dag, end de havde i områder med massiv naturlig overfluoridering i 1940'erne. Der er ikke dokumentation for at fluorid kan standse caries. Og der tages ikke højde for effekten af plakfjernelse. Og hvad så, hvis det ikke er muligt at bevise effekten af fluorid. Det går jo udmærket. Der er stadig færre huller i tænderne og stadig flere er cariesfri. De fleste kan uden større problemer sortere i det vås de ofte udsættes for i tandplejen. De fleste får derfor børstet deres tænder tilstrækkelig godt til at undgå caries. Ikke fordi tænderne er pinligt rene to gange om dagen, men fordi folk benytter sig af intelligente smutveje. Så hvad kan lidt fluor skade? Det er her det bliver kriminelt. Fordi risikopatienterne er ikke i stand til at overskue den flod af misinformation der kommer fra tandplejen, og det går ud over mundhygiejnen. Det er risikopatienterne der er ofrene for løgnene om fluor, kost og caries. I det følgende vil fluormyten og andre myter systematisk blive pillet fra hinanden.

  1. Mange forskere og tandlæger mener, at fluorid i mundhulens væsker er årsagen til at vi ser stadig mindre caries, og at caries i mange befolkningsgrupper ikke længere udgør noget problem. Men i 1942 havde befolkningen i områder med fluorid-niveauer i drikkevandet, der var så høje, at næsten alle havde alvorlige fluor-skader, mere caries end vi har i dag.
  2. Der findes ingen videnskabelige beviser for at tilsætning af fluorid til tandpasta har medvirket til at forbedre cariessituationen. Fordi der ikke findes forskning, hvor det er muligt at skelne mellem effekten af fluorid og effekten af plakfjernelse.
  3. En professor på Tandlægeskolen påstår, at bakteriebelægninger på tandoverfladen kan være i økologisk balance, og at vi så ikke skal være så ihærdige med tandbørstningen, ellers risikerer vi, at de gode bakterier bliver hjemløse. Men bakterier gør ikke nogen gavn på tandoverfladen, og naturen har gjort alt hvad den kunne for at besværliggøre bakteriernes kolonisering af tandoverflader, blandt andet ved at udvikle glatte tandoverflader.
  4. Forsøg med sterile (bakteriefri) rotter har vist, at de ikke får caries, uanset hvor sukkerholdig deres kost er.
  5. Tandplejer der fokuserer på plakfjernelse, har langt bedre caries-tal end fluorid og kost vil kunne forklare. Forklaringen er da også den bedre plakfjernelse. Forskellen mellem de som har sunde og cariesfri tænder, og de som plages af caries, er mængden af plak på tænderne, og ikke kosten eller fluorid.
    Hvis vi virkelig skal gøre noget godt for risikopatienterne, skal vi naturligvis ikke føre dem ad et vildspor med fluorid eller kostvejledning, men derimod forbedre deres plakfjernelse. For plakfjernelse er det eneste, der virker.
  6. Der er ikke nogen tillægseffekt ved at bruge fluorid. Det er til hver en tid tidsspilde, sammenlignet med plakfjernelse. Kostvejledning med henblik på cariesforebyggelse er ligeledes tidsspilde. Hvis man mener at nogen har brug for et fluortilskud, så er det fordi mundhygiejnen er mangelfuld, og når mundhygiejnen er mangelfuld, har man ikke brug for fluorid, men bedre mundhygiejne.
  7. Når tandlægerne siger, at folk ikke kan finde ud af at børste tænder, så må vi sige, at stadig flere faktisk kan gøre det godt nok til at undgå caries. Den største hindring for en positiv cariesudvikling er de professionelle der skaber mistillid til folks evner, og forplumrer budskabet med fluorid og kostvejledning.
  8. Cariesfrie børster tænderne bedre. Der er ikke nogen forskning som viser, at cariesfrie spiser sundere eller får mere fluorid. Blandt andet fordi der ikke findes forskning, hvor det er muligt at skelne mellem effekten fluorid, kost og plakfjernelse i forhold til caries. Hvis vi skal gøre de cariesplagede en tjeneste, så er det ved at få dem til at børste tænderne bedre.

Hvis vi nu skulle bevise påstanden om at forbedringen skyldes bedre plakfjernelse, hvordan ville vi så gribe sagen an?
Man kunne udsende spørgeskemaer til testpersoner, og spørge om de børster tænderne grundigere eller hyppigere i dag, end de gjorde for ti eller tyve år siden. Man kunne også hive helt tilfældige folk ind til grundig undersøgelse af plakforekomsten på helt tilfældige tidspunkter. Hvis dette blev gjort på en stor population og over en længere periode, kunne det give et godt billede af ændringer i befolkningens mundhygiejnevaner og effekten af dem. Men det er ikke let. Jeg børster ikke tænderne hver dag, men jeg ved, at når jeg børster tænderne, så er de helt rene. Og hvis vi nu får fat i en person med helt rene tænder, så ved vi ikke om de var møgbeskidte en halv time tidligere. Hvor præcis skulle registreringen være? Skulle hver tandflade registreres som ren eller uren? Eller skulle hver tandflade underinddeles, og skulle alderen på plakken bestemmes? Måske skulle vi blot koncentrere os om de områder, hvor der var en hvis sandsynlighed for caries. Af mere urealistiske metoder kunne man indbygge små kameraer i hver enkelt tandbørste, og centralt registrere hvor meget plak der bliver fjernet ved hver tandbørstning.
Uanset hvilken metode man anvender, vil den kunne anfægtes.

Begrundelserne for at betvivle den konventionelle tro på fluorids og moderne kostfaktorers betydning for caries, er flere. Hvordan undgik stenaldermennesker problemer med caries, selvom de levede i områder med meget lave fluorforekomster, og drak overfladevand med lavt fluoridindhold. Hvordan kan det være, at vi i dag har mindre caries end befolkningen havde i de områder hvor alvorlig dental fluorose var udbredt i begyndelsen af 1900-tallet? En hypotese om hvordan fluortandpasta har ført til et generelt højere fluoridniveau i alles mundhuler, uden at fluorids systemiske bivirkninger er tiltaget, er på ingen måde sandsynliggjort. Der er heller ikke nogensomhelst fluor-depoteffekt i sunde tænder. Hvorfor brugte evolutionen ressourcer på at udvikle glatte tandoverflader, selvom de bakteriebelægninger der ophobedes på tandoverfladerne i allerhøjeste grad måtte forventes at være i »økologisk balance«? Og hvis man ikke ved hvor meget plak der er på befolkningens tænder, kan man få lige præcis det resultat man ønsker. Jo tættere man er på tandoverfladerne, jo mere præcise målinger kan man lave, men det kan ikke lade sig gøre uden at resultatet påvirkes.

Ændringer i fluor eller kost kan ikke forklare de ændringer i cariesforekomsten, som vi kan iagttage, fordi fluorid ikke kan give cariesfrihed, uanset fluormængder, og fordi vores kost ikke på nogen måde er blevet ændret i en retning der skulle begunstige cariesfrihed. Det er heller ikke passiv profylakse, i form af professionelle tandrensninger eller lignende, der er årsagen til forbedringen. Tværtimod er de patienter der har de bedste tænder, også de der ses med de længste intervaller i tandplejen. Den eneste sandsynlige forklaring på den positive udvikling, er at vi bliver stadig bedre til at fjerne den plak, der er årsagen til caries, med tandbørste og tandtråd.

For de fleste udgør forvirringen ikke noget problem. På trods af tandplejens forældede bud om at børste to gange om dagen med fluortandpasta, benytter de sig af de intelligente genveje. Hellere børste grundigt en gang om dagen eller hver anden dag. Huske de steder, hvor der ikke blev børstet godt nok sidste gang, og så gøre lidt mere ud de forsømte steder næste gang. Børste inden måltider eller slik, hvis man mener at dette vil give et bedre resultat. Det er også vigtigt at være klar med tandbørsten lige fra frembrud af den allerførste tand, hvadenten det sker med eller uden tandpasta. Elektriske tandbørster vinder også frem, og kan lette plakfjernelsen hos nogen. Også brugen af tandtråd vinder frem, og stadig flere kan bruge tandtråden rigtigt. Altsammen metoder til at forbedre plakfjernelsen, fremfor at øge fluortilførslen. Problemet er ikke flertallet, men risikopatienterne. De får ikke gavn af flertallets gode mundhygiejnevaner, tværtimod så forvirres de af meningsløse udmeldinger om fluor og sukker.

Desværre vil visse dele af tandplejen kunne blive ramt af en forbedret mundhygiejne. Hvad skal fluortandpasta-producenterne foretage sig, når det viser sig, at caries kan forhindres helt uden fluor? Og hvad skal tandlægerne bore i, når der ikke er flere huller? Det kan bekymre. Og så alligevel. Med den fantasi tandplejen har udfoldet omkring fluorid, finder de helt sikkert på noget nyt.

Hver dag får tusindvis af børn verden over huller i tænderne, fordi vi gennem årtier er blevet hjernevasket med fluor. Caries skyldes plak (biofilm) på tandoverfladen. Kun tandoverflader uden plak kan være cariesfri.

Man tvinges til at spørge hvilke økonomiske interesser der ligger bag ønsket om at vedligeholde cariestruslen. Når forskerne vedbliver med forskning i fluorid og cariesreducerende fødemidler, fremfor at forske i fjernelse af årsagen til caries. Det alvorlige spørgsmål er, om forskerne vildleder med vilje, for at tandlægerne fortsat skal have noget at bore i, eller om de virkelig ikke har fattet en brik.

Når forskere kan skrive, at der ikke findes forskning som viser at tandbørstning har nogen effekt, eller at man FÅR huller, hvis man ikke bruger fluor, så kan man virkelig komme i tvivl om hvorfor man overhovedet skal spilde tid på at børste tænderne. Men det fortæller ikke noget om effekten af tandbørstning. Det udstiller derimod et alvorligt problem hos forskerne. Det drejer sig om forskning i irrelevante og uvedkommende metoder, samt misfortolkning af allerede foreliggende forskning. Det er dybt beskæmmende, hver gang der fremlægges forskningsresultater om fluorid eller cariesreducerende fødemidler, uden at der er taget højde for plakforekomst eller plakmængder. Det er et spørgsmål om at bruge hjernen, inden man fortaber sig i meningsløs forskning.

Det er vigtigt at forstå, at effekten af selv en lille forbedring i mundhygiejnen langt overstiger effekten af selv drastiske omlægninger med fluor og kost.
Fluorid vil aldrig kunne påvirke noget andet end progressionshastigheden for caries, fordi fluorid virker ved at opløst emalje i form af hydroxylapatit genudfældes som fluorapatit. Sygdom er altså en nødvendig forudsætning for at fluorid kan have en effekt.
Kostomlægninger kan være positive, men de kostomlægninger der skulle til for reelt at påvirke caries, ville være helt urealistiske.
Enhver forbedring af mundhygiejnen, i form af bedre plakfjernelse, vil derimod fjerne selve årsagen til caries. Regelmæssig tandbørstning og tandtråd er helt uden sammenligning den mest effektive metode til cariesforebyggelse, en metode som kan benyttes hele livet af alle, og effekten er ikke blot cariesforebyggende, men virker også mod tandkødssygdomme.

Med de skader som befolkningens tandsundhed påføres, med de smerter som ofrene udsættes for, og med de omkostninger som samfundet pålægges, kan det undre at cariesforebyggelse ikke tages alvorligt.

Når vi nu »ved«, at børnetandpasta (med lavt fluoridindhold) kan »forebygge« caries hos børn, og det er der faktisk eksempler på. Hvad er det så lige der gør, at det ikke kan »forebygge« caries hos voksne? Hvorfor har voksne brug for mere fluorid for at kunne forebygge caries? Og hvorfor kan de så ikke bare bruge lidt mere børnetandpasta? Hvis voksne bare bruger en mængde børnetandpasta svarende til tommelfingerneglen eller storetåneglen, i stedet for lillefingerneglen, vil det så ikke være lige så godt? Tandlægerne tror måske stadig på myten om børnefluor og voksenfluor. Måske står »forskerne« lige foran et gennembrud med babyfluor, som skal bruges i en mængde svarende til forskernes intelligenskvotient. Hvis man blot tænker dette igennem to gange, er det indlysende, at fluorid er helt uden betydning i cariesforebyggelsen, når blot tænderne holdes rene. Og det virker stødende på intelligente forældre, når tandplejen fremturer med deres forældede og utroværdige floskler om fluorid og cariesforebyggelse.

Det som risikopatienterne har brug for, er at få børstet tænderne bedre, og ikke at blive badet i fluorid. Fordi det der gør at de patienter, der ikke er risikopatienter, ikke er risikopatienter, er at de børster tænderne bedre, ikke at de får mere fluorid. Når jeg ikke får huller i tænderne, så er det fordi jeg børster tænderne bedre, ikke fordi jeg spiser mindre sukker, eller bruger mere fluorid. Og det som risikopatienterne har brug for, er ikke at blive behandlet som undermennesker, og blive udtaget til særbehandling med fluorid, men at få samme muligheder for at få rene tænder som alle andre. Når forskere foreslår tandpasta med højere fluoridindhold til risikopatienter, så skader det risikopatienterne ved at fjerne dem fra målet, som er bedre plakfjernelse. Og når undersøgelserne gennemføres uden at der er kontrol over plakmængder, så er det en skamplet på forskning i tandsundhed. Hvordan mon forsøgskaninerne vil reagere når de finder ud af at de er blevet ført bag lyset af fluormafiaen?

Baggrund

Tilbage til start

Der er gennem tiderne gjort utallige forsøg på at forvirre begreberne indenfor cariesforebyggelse, og utallige teorier og hypoteser om cariesforebyggelse og faktorer med indflydelse på caries er fremsat. Økonomi, uddannelse, sociale forhold, kostens indhold af forskellige stoffer, herunder sukker og fluorid, arv, etnicitet, spyttets sammensætning og mængde, er blot et lille udvalg.

Der skal børstes to gange dagligt! Nej hellere børste én gang grundigt end to gange sjusket.
Man får huller i tænderne af at spise sukker! Ja, hvis man ikke børster tænderne.
Alle ved hvor stor betydning det havde for caries, da fluortandpasta blev indført! Årsagen er at plakfjernelsen blev forbedret samtidig med indførelsen af fluortandpasta. Det er også baggrunden for de afvigelser der er, selv med den samme fluoridpåvirkning. Vi kan således godt se fald i cariesforekomsten uden at vi bruger mere fluorid, og uden at vi spiser mindre sukker.
Alle har hørt om familien der holdt op med at bruge fluortandpasta og alle fik masser af huller i tænderne!

Ser man på Tænk's hjemmeside http://www.taenk.dk/ og søger på fluor, finder man artiklen »Fluor - for eller imod« fra 19-02-2010, med følgende ordlyd:

»Der findes ingen dokumentation for, at andre stoffer virker effektivt. Det er slet, slet ikke som fluor, der er det eneste til at reducere karies. Måske kan andre ting have en antibakteriel effekt, men man FÅR huller, hvis man ikke bruger fluor,« siger professor Kim Ekstrand på Tandlægeskolen ved Københavns Universitet.

og

Kim Ekstrand afviser, at man kan undvære fluor i tandpastaen ved at skære ned på slik og andet, som er skadeligt for tænderne. »Det kan slet ikke lade sig gøre i en dansk dagligdag. Det er fuldstændig vanvittigt ikke at bruge fluortandpasta i Danmark,« mener han.

Ikke ét ord om plakfjernelse!

Sammenhængen mellem drikkevandets fluoridindhold og cariesniveauet halter. Er jyderne i Helle dømt til evig fortabelse i carieshelvedet, blot fordi de bor i et område med lavt fluoridindhold i drikkevandet? Skal man være ligeglad, eller skal der sendes nødhjælp i form af fluoridholdigt drikkevand? Hvorfor har børn i Langebæk så høj cariesforekomst? Deres drikkevand har noget nær det højeste fluoridindhold. Alligevel har de mere caries end de har i Holsted, hvor der næsten ikke er noget fluorid i drikkevandet. Farsø har den højeste cariesforekomst, og ret tæt på ligger kommuner med lavere cariesforekomst, men med nogenlunde samme fluoridindhold i drikkevandet. Tranekær og især Nexø skiller sig ud. Hvad er det de kan i Nexø, som de ikke kan finde ud af i Langebæk og Farsø, og som i hvert fald ikke har det fjerneste med fluorid at gøre?

I en oversigtsartikel nr. 8 i Tandlægebladet 2010 side 622 skriver Sven Poulsen, Alan Richards og Bente Nyvad blandt andet

»Til sammenligning kan det nævnes, at overvågning af tandbørstning skønnes at resultere i en cariesreduktion, der er 11 % lavere end effekten af tandbørstning uden overvågning (15), altså en større gevinst end den, der opnås ved en 500 ppm’s forøgelse af fluoridkoncentrationen i tandpasta«,

og

»Som tidligere nævnt er den cariesforebyggende effekt af børstning med fluoridholdig tandpasta højere, hvis tandbørstningen foregår under overvågning. Dette understreger, at compliance er vigtig for effekten. Høj compliance er imidlertid ikke altid mulig at opnå. Det kan derfor være relevant at genindføre fluorskylninger i visse undergrupper (fx visse etniske grupper, lavindkomstgrupper), hvor der ikke er nogen tradition for tandbørstning«.

Effekten af plakfjernelse er altså stor, og jo bedre vi børster tænderne, jo større er effekten. De fleste kan tilsyneladende finde ud at fjerne plak fra tænderne (høj compliance). Visse undergrupper med andre traditioner kan dog ikke finde ud af det (for dumme?).
Her skriver forfatterne minsandten, at det kan være relevant at genindføre fluorskylninger, selvom de lige har skrevet, at de nok kunne få mere ud af at forbedre eller overvåge plakfjernelsen. I stedet for at forsøge at ændre på traditionerne!
Vil forfatterne bevare disse undergrupper ved at forvirre begreberne med fluorskylninger, i stedet for at forbedre traditionerne hos alle med en forbedret mundhygiejne?
Tror forfatterne at fluorskylninger vil fjerne plak eller få disse undergrupper til at børste deres tænder bedre?
Forfatterne har tilsyneladende problemer med fremmedord som plakfjernelse og mundhygiejne, og ser sig nødsaget til at bruge gode gamle danske ord som »compliance«.
Man kunne selvfølgelig forestille sig at fluorid blev doseret efter intelligenskvotient, afvigende traditioner eller etnicitet. Hvad hvis fluoridioner i tandpasta kom med indbygget overvågning, eller mundskyl med compliance?
Hvor var det lige fornuften sivede ud og fluor ind? Hvis der skulle foregå noget fornuftigt ved de højhellige fluorceremonier så burde det være noget med plakfjernelse.

Af kuriøs forskning kan nævnes standsning af caries med fluorid. Én gang om ugen fjernes plak og fluorid smøres på. I løbet af få uger kan det tydeligt ses at cariesangrebet er gået i stå. Standsningen af cariesangrebet tilskrives fluorid, hvor det i virkeligheden er plakfjernelsen der er årsagen. På samme måde kunne vi fjerne plakken, smøre mayonnaise på og vise hvor god mayonnaise er til at standse caries, eller for den sags skyld syltetøj. Når tanden er ren, standser caries. Det sker uanset om vi smører noget på.

Om caries og forebyggelse på Københavns kommunale Tandplejes hjemmeside.

Paradokset illustreres på Københavns kommunale Tandplejes hjemmeside. Over det lille billede af huller i mælketænder forklares hvorfor der kommer huller i tænderne, og her afsluttes med sætningen: »Hvis tænderne regelmæssigt børstes rene, og man begrænser sukkermængden, kan man undgå huller i tænderne«. Ikke ét ord om fluor.
Under det lille billede forklares hvordan man undgår huller i tænderne. Her får fluorvirkningen pludselig en meget fremtrædende plads.
De fleste ved godt at fluorid er uden betydning og børster derfor tænderne rigtig godt. Problemet med forplumringen er risikopatienterne. Dem får vi aldrig styr på sålænge budskabet ikke er klart.

Om tandundersøgelsen ved KRAM-undersøgelsen.

I magasinet Sundhed fra maj 2012 skriver Tandlægeforeningen om tandundersøgelsen ved KRAM-undersøgelsen, at vi slet ikke er så gode til at børste tænder, som vi selv tror. Selvom 81 procent børster tænderne mere end en gang om dagen. I selve artiklen er fluor slet ikke omtalt. Nederst i højre hjørne findes en lyseblå boks, der sammenfatter det væsentlige. Som et lyn fra en klar himmel dukker fluor op i sætningen: »Børst tænder to gange om dagen med fluortandpasta«. Hovsa, hvor kom fluor lige fra? Så tænker man straks, at Colgate jo støtter Tandlægeforeningen, og så falder det hele på plads.

Hvad står der så i selve KRAM-undersøgelsen om fluor? Tandstatus - tandsundhed objektivt og subjektivt vurderet. Resultater fra Tandundersøgelsen ved KRAM-undersøgelsen. Birthe Cortsen. Rapport 2012.02. Fra Dansk Sundhedsinstituts hjemmeside http://www.dsi.dk/. På side 63 i afsnittet 4.23 Mundhygiejne står følgende:

Størstedelen af den danske befolkning kender i dag til basale råd om daglig tandbørstning med fluortandpasta for at opretholde en god tandsundhed. Igennem de sidste 50 år har undersøgelser igen og igen dokumenteret, at fluortandpasta effektivt kan forebygge udvikling af caries (107, 108). Fluortandpasta styrker tandemaljen og gør den mere modstandsdygtig overfor caries og reducerer mængden af syre i plakken (109).

Der er altså ikke blevet undersøgt noget om fluor i KRAM-undersøgelsen, og som en konsekvens af dette simple faktum, er det ikke muligt at sige nogetsomhelst om fluors effekt udfra undersøgelsen. Af uransaglige årsager skal fluormiraklet dog skamroses med referencer. Et uomgængeligt fluor-mantra.

Ser man på reference (108) Griffin SO, Regner E, Griffin PM, Huntley V. Effectiveness of fluoride in preventing caries in adults. J Dent Res 2007 May, 86(5)410-415. Så indledes abstractet med følgende sætning:

To date, no systematic reviews have found fluoride to be effective in preventing dental caries in adults.

I 2007 var der altså endnu ikke lavet noget systematisk review som kunne vise at fluorid havde nogen cariesforebyggende effekt hos voksne. Det klarer vore dygtige forskere heldigvis i en håndevending. Så nu kan voksne igen med sindsro bruge fluorid. Var der lige nogen som sagde fluor-klaphatte?

Men de andre kan også være med. I det israelske tandlægeblad Dental Medicine, nr. 1, januar 1988, side 16, er artiklen »Caries In Israel - Present and Future«, skrevet af Haim Sarnat, Moshe Gordon og Erica Amir. I artiklen omtales årsagerne til den dramatiske reduktion i cariesforekomsten. Fluorid i forskellige former og metoder er her gennemgående, det nævnes dog at oral hygiejne og kostrådgivning kan have en supplerende effekt. Der nævnes i resuméet 9 anbefalinger til at forbedre cariessituationen. Af dem har 4 med fluor at gøre, og mundhygiejne eller plakfjernelse er ikke nævnt. I den hebraiske originaltekst er mundhygiejne eller plakfjernelse ikke nævnt noget sted i hele artiklen.

I den svenske SBU (Statens beredning för medicinsk utvärdering)-rapport »Att förebygga karies - en systematisk litteraturöversikt (sammanfatning och slutsatser)« fra oktober 2002, beskrives årsagen til caries som værende den biofilm der samler sig på tandoverfladerne. Når det kommer til plakfjernelse står der: »Det saknas dock stöd i litteraturen för att enbart tandborstning utan samtidig fluoranvändning har någon kariesförebyggande effekt.«. I Slutsatser nævnes 11 punkter, af disse har 6 med fluor at gøre, og det eneste der siges om tandbørstning, er at man skal bruge fluortandpasta. Man ved således godt at plak er årsagen til caries, men der er ingen evidens for at fjernelse af årsagen kan forebygge caries. Svenskerne ved altså godt at årsagen til caries er plak, og de skriver faktisk ikke noget om at årsagen til caries skulle være en form for kronisk eller akut fluorid-mangel. Til gengæld kan man tilsyneladende ikke forhindre sygdommen ved at fjerne årsagen. For mange sygdommes vedkommende, er det en god ide at fjerne årsagen til sygdommen, når man vil forebygge sygdommen, men det gælder tilsyneladende ikke for sygdommen caries.

Svenskerne har også præsteret en undersøgelse som viser, at plakkens fluoridindhold stiger ved hyppig brug af tandpasta med højt fluoridindhold. Acta Odontologica Scandinavica 2012 Feb 9. [Epub ahead of print] Effect of a third application of toothpastes (1450 and 5000 ppm F), including a 'massage' method on fluoride retention and pH drop in plaque. Ifølge svenskerne skulle det være muligt at opnå fire gange bedre beskyttelse mod caries. Nu skal vi altså til at passe på plakken for at få bedre beskyttelse mod caries. Svenskerne er dygtige til rigtigt mange ting, men børste tænder, det kan de i hvert fald ikke. Tilsyneladende er der enorme kulturelle forskelle over Øresund. Vest for denne kulturelle afgrund, børster vi hovedsageligt tænder for at fjerne plak. Medens svenskerne børster for at øge plakkens fluoridindhold. Man kan også se på den positive side. Snart kan vi forvente at se negative caries-tal på den anden side af Øresund. Hvad med et DMF-S på minus fem? Hvordan det så end vil komme til udtryk.

Jeg har flere gange hørt fremtrædende forskere fortælle om at forebyggelse kun har meget ringe effekt, og glædet mig over at de ikke skulle forebygge caries hos mine patienter. Hvis man ikke selv tror på at forebyggelse og plakfjernelse med tandbørsten virker, hvordan skulle man så kunne overbevise patienterne om at det er det eneste rigtige.

Jeg talte med en israelsk tandlæge om forebyggende tandpleje i Danmark. Han sagde, at det jo også var det de havde lært på den israelske tandlægeuddannelse. Han havde også arbejdet efter det i begyndelsen. Men så havde han set at det ikke virkede, og så var han begyndt at arbejde som de andre tandlæger,

Det forekommer fuldstændig surrealistisk at forskere i 2010 bruger tid på at diskutere om der skal være 1000 eller 1500 ppm fluorid i tandpasta, når vi ved hvor betydningsløst det er om der overhovedet er fluorid i tandpastaen, sammenlignet med om der er plak på tandoverfladen.
Hvad nu hvis det magiske »tandpasta-fluorid-ppm-tal« viser sig at være 767 eller 1621? Det kan jo også være at det afhænger af årstiden, eller vejret, eller af forskernes intelligenskvotient?

Det skal fremhæves, at de samme forskere i mere populære sammenhænge ofte understreger hvor vigtig plakfjernelse er, men når det drejer sig om »forskning«, så er det kun fluorid, og tandbørsten er dømt ude.

Når man læser ovenstående, og andre »videnskabelige« artikler, kan man virkelig komme i tvivl om, hvorfor man overhovedet skal spilde tid på at børste tænderne. Måske er det der med tandbørstning blot et reklamestunt fra tandbørsteproducenterne. Heldigvis lever vi i »Husk lige tandbørsten«-landet Danmark. Havde det været Sverige, ville det have heddet »Husk lige fluortandpastaen«, og i Finland »Husk lige xylitol-tyggegummiet«. Og de fleste har da også fundet ud af, at det drejer sig om at få fjernet plakken, på trods af forskningen. Tænk hvis Danmark kunne vise vejen ved virkelig at få styr på plakfjernelse.

Der er ikke noget galt i at bruge fluortandpasta. Der er heller ikke noget galt i at spise mindre sukker. Tværtimod. Der er heller ikke noget galt i at have gode gener, i at være rig eller i at have en god uddannelse.
Men hvis vi skal have bugt med caries, så er det kun plakfjernelse der tæller.
Hvis tænderne er rene, så er det helt uden betydning om vi bruger fluortandpasta, om hvor meget sukker vi spiser, hvilke gener vi har arvet, hvilken uddannelse vi har, og om vi har penge eller ej.
Hvis tænderne derimod er beskidte, så er der ikke nogen mængde af fluortandpasta, nogen grad af sukkerafholdenhed, nogen supergener, nogen akademisk grad, eller nogen formue, der kan garantere cariesfrihed.

Væsentlig forskning

Tilbage til start

Der er i hvert fald tre væsentlige forskningsprogrammer der kan bruges i cariesforebyggelsen. Det der udmærker væsentlig forskning indenfor cariesforebyggelse fremfor betydningsløs forskning, er forsøget på at kontrollere plakmængden, samt den meget betydelige cariesreducerende effekt. Fluorid og sukker kan kun have en effekt på tandoverflader med plak. Rene tandoverflader er cariesfri uanset fluorid og sukker. Derfor er forskning i cariesforebyggelse, hvor der ikke er kontrol over hvor og hvor meget plak der er, ikke seriøs.

I 1970'erne gennemførtes i Karlstad en række forsøg (Karlstad-projektet), hvor testpersonerne blev udsat for intensiv forebyggende tandpleje, der ud over mange andre tiltag, omfattede en grundig professionel plakfjernelse hver anden uge. Resultatet var en reduktion på mere end 90 % i caries-tilvæksten sammenlignet med kontrolgruppen. I forsøget fik testpersonerne fjernet al plak hver anden uge, de blev instrueret i grundig hjemmemundhygiejne, alligevel var der ikke en eneste testperson der på noget tidspunkt mødte op til kontrol med helt rene tænder efter to uger på egen hånd, i forsøgsperioden. Forsøget var så omfattende, at det var svært at pege på en enkelt årsag til det helt exceptionelt gode resultat.

For at få en bedre forståelse af de mekanismer, der var på spil, gennemførte Professor Anders Thylstrup i København »Lille Karlstad«. Et split-mouth forsøg hvor to forskellige hypoteser blev afprøvet samtidig i samme mund, hos 14 forsøgspersoner.
Ved at beskytte plak under ortodontiske bånd i fem uger var det muligt at fremkalde irreversible cariesskader hos alle forsøgspersoner. Samtidig var det muligt at forebygge caries i den kontralaterale tand, ved én gang om ugen at fjerne båndet og bruge fem sekunder på at fjerne plakken, hvorefter det plakbeskyttende bånd blev recementeret.
Forsøget viste at der ikke fandtes immunitet over for caries. Selv en helt sund præmolar-facialflade kunne plakken få bugt med. Men der skulle tid til, én uge var ikke nok hos nogen, selvom den blev gentaget fem uger i træk, medens 5 uger uden plakfjernelse var nok hos alle forsøgspersoner.
Det vigtige ved lille Karlstad er at alle medvirkende udviklede tydelige tegn på caries indenfor fem uger med beskyttet plak, samtidig med at ingen udviklede caries med en uge gammel plak, selvom vi ved at der var endog meget gunstige forhold for sygdom, såsom cariesfremkaldende bakterier, i mundhulen. Tilstedeværelse af plak på tandoverfladen, udgør altså intet problem med hensyn til caries, når blot den fjernes en gang om ugen.
Alle mennesker har lige fra deres første måltid, bakterier der kan fremkalde caries i mundhulen. Og metoden til at undgå dental caries, er regelmæssigt at fjerne de belægninger der uundgåeligt opstår på tandoverfladerne. Alle andre metoder til at begrænse caries vil i bedste fald bevirke en langsommere sygdomsudvikling. De skader der kan opstå på tandoverfladen indenfor en uge med cariesfremkaldende plak er reversible.
Kost, fluorid og alle andre faktorer, er helt uden betydning.

Lille Karlstad. Plak-beskyttende metalbånd i fem uger, medførte tydelig caries hos alle 14 forsøgspersoner. Ved at fjerne båndet og plakken en gang om ugen og umiddelbart herefter recementere båndet, var det ikke muligt at finde synlige tegn på caries efter fem uger.

Nexø-metoden har også usædvanligt gode resultater, som blandt andet er opnået ved at forbedre plakfjernelsen omkring tandfrembrud og inddrage forældre. Der er ingen tvivl om at vi kan lære en masse af Nexø-metoden, herunder vigtigheden af at tænder i frembrud får særlig opmærksomhed.
Netop tandfrembruddet er den vigtigste periode for den enkelte tand. En indsats i frembrudsperioden, som kan være langstrakt, har stor betydning for tandsundheden resten af livet. De skader der opstår i tandfrembrudsperioden kan besværliggøre tandplejen for hele livet. Problemet med bakterierne er, at de ikke venter på godt vejr. En manglende indsats kan derfor få stor betydning. Forældrene må børste for børnenes skyld.
Nexø er et af vores allerbedste eksempler på at tidlig hjælp til at forbedre plakfjernelsen helt uden sammenligning er den bedste metode til at forebygge caries (aktiv profylakse). Visse forskeres forsøg på at nedgøre hjemme-mundhygiejnen gøres grundigt til skamme.

Når man har formået at reducere DMF-S hos 15-årige i Nexø fra 16,9 i 1980/81 til 0,56 i 2004, og når man har mangedoblet andelen af cariesfrie 18-årige i Nexø, fra 6,41 % i 1989 til 55,26 % i 2004, så kan det undre, at man i 2010 kan skrive »man FÅR huller, hvis man ikke bruger fluor«. Drikkevandet i Nexø har et højt naturligt fluoridindhold. Men hvis der er nogen som med sikkerhed ikke har fået øget fluoridpåvirkning, så er det de cariesfrie i Nexø. I henhold til kriterierne for Nexø-metoden, så får de cariesfrie ingen fluor-behandlinger, og deres indkaldeintervaller er de længste. I virkeligheden så burde man sige; »man FÅR huller, hvis man BRUGER fluor«. Og lad være med at gå til tandlæge. Men husk også regelmæssigt at få fjernet plakken lige fra tandfrembrud.
Nogle påstår, at Nexø-metoden er svindel. Havde tandplejen i Nexø i virkeligheden en massiv overdiagnosticering af caries i 1980'erne? Eller er de ramt af progressiv caries-blindhed? Selv hvis der skulle være store fejl i materialet, så er Nexø enestående.

Probiotika

Tilbage til start

Hjemmesiden videnskab.dk fra 18. juni 2012. Bakterier hjælper dig til nul huller. Man skulle tro at det var 1. april.

På hjemmesiden videnskab.dk påstås det, at professor Svante Twetman fra Tandlægeskolen på Københavns Universitet, har udtalt følgende: »For 10 år siden troede vi, at der aldrig kunne opstå karies i en tand, hvis vi slog bakterierne ihjel. Men det kan der«. Hermed udfordres dogmet: »Der går ikke hul i en ren tand!«. Utallige lærebøger, som påstår, at caries er en plak- eller biofilm-induceret sygdom, skal herefter skrives om. I artiklen siges det, at bakterierne kan beskytte tænderne, og at vi ikke skal være så ihærdige med tandbørstningen, når blot vi har den rigtige kombination af bakterier på tænderne. Såvidt jeg forstår, så mener professoren, at det er godt at have en mangfoldighed af bakterier, det vil sige, at der skal være både gode og dårlige bakterier i den balancerede mikroflora. Professoren siger også, »at tænder kan klare selv hårde slidskader, så længe biofilmen har det godt«. Den har jeg stadigvæk ikke fattet. Vil det sige at bakteriebelægningerne har det godt på de tandflader der udsættes for slid? Jeg har altid lært, at områder på tænderne der udsættes for aktivt slid, ikke har bakteriebelægninger, men at bakterierne kan ophobes på de flader, der ikke slides.

Probiotika. Reklame for produkterne FotoSan & ProlacSan udsendt til tandlæger.

Som min mors onkel sagde: »Man skal hore meget, før der falder et par ører af!«
Vi har mange flere bakterier end celler i kroppen, hvad antal angår. »Tarmfloraen er kroppens største organ!« siger professoren. Når vi regner den afføring, der til alle tider findes i vores mave-tarm-kanal med, og det er der ikke noget i vejen for, da afføringen på mange måder spiller sammen med resten af menneskekroppen på sin vej gennem mave-tarm-kanalen, så kan man godt betragte det som det største organ, både hvad angår volumen og vægt. Mennesket og alle flercellede væsener er bygget op af celler, og celler er i virkeligheden avancerede bakterier, opstået ved at forskellige bakterier har fundet ud af at samarbejde. Mitochondrierne er et eksempel på hvordan nyttige encellede prokaryoter er blevet inkorporeret i de mere avancerede eukaryoter. Men mitochondrierne tæller ikke med på vægten for bakterier.

Alt liv drejer sig om barrierer, lige fra de mest primitive cellevægge, slimhinder, hud, og til de tykkeste skildpaddeskjolde. Cellevægge kontrollerer hvilke molekyler der kommer ind i og ud af cellen. Og sålænge de er i det rigtige miljø, med de rigtige molekyler, så går det godt. Slimhinder er, ligesom huden, en barriere mellem de indre dele af mennesket, som kan kontrolleres ved hjælp af et indviklet samspil mellem nerver, hormoner og blodbaner. Og på den anden side, det mere ukontrollable miljø, hvor bakterierne har magten. Hud og slimhinder er en del af den barriere der adskiller mennesket fra dets omgivelser. Når mikroorganismerne trænger ind på indersiden af barrieren, iværksættes et kompliceret forsvar, som vi kalder immunsystemet. Men det er dyrt for organismen at bruge dette system, derfor bruges det kun, når det virkelig er nødvendigt.

Langt størstedelen af de påtrængende mikroorganismer afvises allerede langt inden immunforsvaret bliver nødvendigt. Slimhinder i mave-tarm-kanalen, i luftvejene, i urinvejene, og i kønsorganerne, samt alle ydre overflader, er en del af denne barriere. Og meget af den viden vi har omkring barriererne er stadigvæk mangelfuld. Strategierne for at kontrollere mikroorganismerne er mangfoldige. Her følger en overfladisk gennemgang.

Fordøjelsessystemet er et slimhindedækket rør gennem hele kroppen, fra mundhulen til endetarmen. Mikroorganismerne er helt dominerende i mave-tarm-kanalen, og flere mikroorganismer er endda uundværlige i den nedbrydning af fødevarer der foregår i kanalen. Men mikroorganismerne gør kun gavn i mave-tarm-kanalen, og for at forhindre infektion, fornys overfladen hele tiden, samtidig med at forskellige sekreter, slår de fleste mikroorganismer ihjel, og vanskeliggør kolonisation af overfladen. I teorien kan vi godt undvære bakterier. Man har vist, at rotter godt kan leve og formere sig under helt sterile forhold. Det er også blevet vist at sterile rotter ikke fik caries, selvom de blev fodret med meget sukkerholdig kost. Vores liv ville dog se helt anderledes ud uden bakterier. Vi har et ganske udmærket samarbejde med mikroorganismerne i fordøjelsessystemet, og når vi ændrer vores kost, vil sammensætningen af mikroorganismer også tilpasses. Hvis kosten er usund, kan slimhinden tage skade, dårlig fordøjelse, mavesår og kræft. Det er en balance.

Hudoverflader udskiftes hele tiden. Hastigheden kan variere. Går det for langsomt, kan bakterierne nogle gange trænge igennem. Går det for hurtigt, er det heller ikke godt. Skadelige påvirkninger af huden kan komme både indefra, men kommer hyppigst udefra. Vi kan godt undvære bakterier på hudoverfladen, men en bakteriefri hud, ville se anderledes ud. Øjets hornhindeoverflade er et sted der helst skal holdes bakteriefrit. Derfor investerer kroppen store ressourcer i konstant at overskylle den med en flod af bakteriedræbende tårevæske. Og flere gange i minuttet vipper øjenlåget ned foran hornhinden. For det meste er det nok til at holde øjet fri for mikroorganismer. Det er en dyr omgang, men det er vigtigt at mikroorganismer ikke får mulighed for at ophobes på hornhindens overflade. Det er indlysende.

Men hvad med tænderne? De er jo en del af fordøjelsessystemet. I det følgende skal vi berøre:

Ifølge professoren skulle den balancerede mikroflora beskytte tandoverfladen imod caries. Den skulle også være med til at skabe sundhed, ved at fremme den rigtige balance i resten af fordøjelsessystemet, så sygdomme undgås. Mælkesyrebakterier som blandt andet findes i yoghurt, skulle være et eksempel på probiotiske bakterier. Og de skulle kunne hæmme de cariesfremkaldende bakterier. Der skal være en balance. Både gode og dårlige bakterier, men i det rigtige forhold. Og biofilmen må ikke blive stresset af for eksempel usunde sukker- og syreholdige drikkevarer. Og så glider professoren alligevel af på det hele, for der er ikke bevist noget endnu. Så det er nok en god ide, fortsat at børste tænderne med fluortandpasta, siger professoren.

Vi kan godt blive enige om, at det er bedre og sundere at spise et sukkerfrit surmælksprodukt, end at drikke en Coca Cola. Og der er ingen tvivl om at mikrofloraen i fordøjelsessystemet påvirkes, når vi ændrer kostens sammensætning. Men er det nødvendigt, at den balancerede mikroflora skal sidde på tænderne? Kan den ikke etablere sig på tungen, i ganen eller på kindslimhinderne? Der er masser af steder, hvor der kan findes sunde bakterier. Hvorfor skal det lige gå ud over tænderne? Jo, den balancerede mikroflora beskytter tandoverfladen, både mod slid og mod caries. Ophobning af bakterier på tandoverflader er uundgåelig. Det er kun når vi fjerner belægningerne med tandbørste og tandtråd, eller når tygning af for eksempel fødevarer, mekanisk fjerner plakken fra de »selvrensende« tandoverflader, at vi kan finde plakfri områder. De steder, hvor vi ikke kommer hen, vil bakterierne ophobes.

Vi må formode at professoren antager, at naturfolk og dyr i naturen ikke har problemer med caries. Og vi ved, at de har plak på tænderne. Vi må antage at belægningerne er i balance, også selvom surmælksprodukter ikke altid er tilgængelige. I naturen finder vi hyppigt slid på nogle tandoverflader, især på tyggefladerne. På disse slidoverflader, finder vi færre bakterier, og tandoverfladen har et lavt indhold af fluor. På de flader, hvor bakterierne får lov til at ophobes, finder vi et højere indhold af fluor i emaljeoverfladen. Et højere indhold af fluor i emaljeoverfladen er et tegn på caries. I bakteriebelagte emaljeoverflader vil der altid opløses emalje. Noget af det opløste emalje vil gå i forbindelse med fluorid, som altid findes i små mængder i plak, og vil genudfældes i emaljeoverfladen. Vi har altså aldrig været cariesfri. Det slid, som tænderne i naturen regelmæssigt udsættes for, har medført, at mikrofloraen altid begrænses i tid eller i mængde. Derfor udgjorde caries kun i helt ekstreme tilfælde en trussel. Men caries har altid været med os, blot ikke i en grad, der ville kunne opdages klinisk.

Weatherell fandt et højere, og med tiden stigende, fluorindhold i emaljeoverflader, der havde været dækket af plak. Hos dyr med slidte tyggeflader, fandt han et lavt fluorindhold i emaljeoverfladen på tyggefladerne. Jo længere væk fra tyggefladen, og jo tættere på tandkødet tandoverfladen blev testet, jo højere var fluorindholdet i emaljeoverfladen, fordi ophobet plak havde haft mulighed for at starte caries. Men undersøgte Weatherell tænder hos naturfolk og dyr i naturen? Måske er dyr i naturen helt cariesfri, selvom de har bakterier på tænderne, fordi mikrofloraen er i balance. Hvordan kan nogen påstå, at selv dinosaurer havde initiale cariesangreb i form af et øget fluorindhold i emaljeoverfladen, på plakdækkede tandoverflader?

En ujævn, ru, rillet og furet tandoverflade er langt bedre til at bearbejde og fastholde føde. Men en sådan tandoverflade er også et helle for bakterier, hvis den ikke slides. Evolutionen har lige fra udviklingen af de allerførste tænder stået overfor en cariestrussel, fordi tandoverfladen ikke fornyedes, ligesom hud, og fordi nogle tandoverflader i sagens natur blev slidt mindre end andre. En ujævn tandoverflade langs med tandkødet eller i tandmellemrum, ville have været umulig at holde ren og cariesfri. Med en glat tandoverflade er det trods alt lidt lettere. Glatte tandoverflader er en evolutionær genistreg. Glatte tandoverflader har fulgt os i mere end 100 millioner år, lige siden de allerførste tænder udvikledes. Tandens arbejdende flader var ujævne og ru. Her havde bakterierne ikke en chance for at ophobes. Støttefladerne, der ikke var udsat for slid i nævneværdig grad, måtte være glatte, for at lette fjernelsen af ophobet plak. Vi ved altså, at caries har været af betydning lige fra starten af. Ellers ville tandoverflader aldrig være blevet glatte.

Når det påstås, at mikroflora skulle kunne beskytte tandoverfladen, er der tale om et falsum, der på alle måder strider mod sund fornuft. Det er først i moderne tid, at vi overhovedet kan tale om cariesfrihed. Cariesfrihed forudsætter regelmæssig fjernelse af plak fra tandoverfladen lige fra tandfrembrud. Hvor ofte plakken skal fjernes afhænger af hvilket resultat man ønsker. Lille Karlstad viste at man ved at fjerne plakken én gang ugentligt, kunne forebygge alvorlige skader. Der kan stadigvæk ikke komme hul i en ren tand, når vi blot holder den ren lige fra den bryder frem. Det er helt utroligt at en offentlig støttet uddannelsesinstitution, uimodsagt kan få lov til at udgyde en sådan omgang vås.

Sund kost er godt for hele kroppen, og bakterier i fordøjelsessystemet kan hjælpe med at holde kroppen sund. Men der er ingen grund til at bakterier skal etablere sig på tandoverflader. Bakterier gør ikke nogen gavn på tandoverflader. Tværtimod, så har naturen gjort alt for at gøre det helt klart, at bakterier er uønskede på tandoverflader. Glatte tandoverflader er naturens forsøg på at skære det ud i pap. Jo færre bakterier, desto bedre for tanden, både når det drejer sig om caries og tandkødssygdomme. Store mængder af grov og kaloriefattig kost til at dække et stort energibehov i naturen, er nok til at forhindre, at caries udgør et problem. Moderne blød og kalorierig kost, samt et lavt energibehov, som en konsekvens af stillesiddende arbejde, gør at mængden af bakterier der ophobes på tandoverfladerne kan medføre sygdom. På de glatte tandflader langs med tandkødet, men også i dybe furer på tyggeflader, hvor tandslid nærmest umuliggjorde alvorlig caries hos naturfolk, kan bakterier ophobes hos det moderne menneske, på grund af manglende slid. Hvis vi vil undgå caries og tandkødssygdomme, så skal vi fjerne plakken regelmæssigt, og lige fra tandfrembrud. Det har aldrig nogensinde været meningen, at der skulle være bakterier på tandoverfladen, men de små kræ er svære at undgå.

Professoren forsøger også at få det til at lyde som om vi nu er kommet tættere på at løse en af naturens gåder. Det må ikke være for simpelt. Så er det ikke naturligt nok. Der skal være komplicerede og uforståelige sammenhænge. Biologi, kemi, bakteriologi, fluorid, sukker, immunforsvar, uddannelse, fødselsmetode, forældrenes indtægt, det hele skal være med. Og institutterne konkurrerer nærmest om, hvem der kan finde den mest komplicerede udlægning.
En forklaring som, med regelmæssige intervaller, at fjerne selve årsagen til caries, nemlig bakteriebelægningerne, med tandbørste, eller med slid, som det blev gjort i naturen, og at gøre det lige fra tandfrembrud, er alt for simpel til at den nogensinde vil kunne blive taget alvorligt i akademiske kredse. Det er alt for tæt på virkeligheden.

Snart vil vi vel kunne få produkter, der kan få den balancerede mikroflora til at blinke, når vi lyser på den med kryptonit-lamper. Så kan vi med sindsro undlade tandbørstning, når blot mikrofloraen blinker på den rigtige måde. Ellers er det jo et problem at vide hvornår mikrofloraen er balanceret.

Fluorid

Tilbage til start

Fluorid har en effekt på cariessygdommen. Effekten er en konsekvens af at fluorapatit er tungere opløseligt end hydroxylapatit, som normal emalje hovedsageligt består af. Normalt opløses sund emalje ikke, og fluorid påvirker derfor ikke sund emalje. Når tænderne er rene, er tilstedeværelsen af fluorid derfor helt uden betydning. Ved cariessygdommen opløses emalje, og en øget tilstedeværelse af fluorid vil føre til en øget udfældning af fluorapatit, der kan måles som en langsommere udvikling af cariessygdommen. Men fluorid kan aldrig standse cariessygdommen, det kan kun regelmæssig fjernelse af sygdomsårsagen, plak.

Årsagen til at vi de fleste steder ser mindre caries nu end tidligere, har intet med fluorid at gøre. Årsagen er, at vi er blevet stadig bedre til at børste tænderne, og på den måde fjerner sygdomsårsagen. Desværre sker denne forbedring på baggrund af og på trods af fravær af forskning i plakfjernelse. Tværtimod fokuseres forskningen fortsat omkring fluorid og andre virkningsløse metoder. Vi har brug for at forstå, at bedre mundhygiejne er årsagen til at færre udsættes for problemer med caries, samt at plakfjernelse kan lade sig gøre. Den overdrevne fokusering på fluorid og andre metoder skader tandsundheden, fordi effekten er uanseelig og fordi opmærksomheden tages bort fra plakfjernelse.

Fluorids carieshæmmende effekt er posteruptiv (efter tandfrembrud). Fluor virker ved at fluorionen F- som består af en kerne med 9 protoner og en skal med 10 elektroner, kan substituere hydroxylionen OH- som ligeledes består af 9 protoner og 10 elektroner, men fordelt på to kerner, i emaljens apatitkrystaller. Emalje opbygget af hydroxylapatit er mere slidstærk end emalje opbygget af fluorapatit. Derfor består normal emalje næsten udelukkende af hydroxylapatitkrystaller. Hvis organismen udsættes for forhøjede fluoridkoncentrationer under den del af tanddannelsen hvor emaljen mineraliseres, kan de tanddannende celler blive forgiftet. Den andel af fluorid der sluges (optages systemisk), kan være med til at forgifte organismen, og især de tanddannende celler er følsomme. En forøget eksponering for systemisk fluorid under tanddannelsen, medfører forøget risiko for dental fluorose. Dental fluorose er en tilstand med misdannet og svækket tandemalje. Emalje med dental fluorose er mere porøs og hyppigt misfarvet.

Efter at alle tænder er færdigdannede, kan fluorid ikke skade tænderne. Fluorid er stadig en gift, der i store doser kan være dødelig. Fluorid findes opløst i mundhulens væsker, spyt, og især plakvæske. Når tandoverfladen i længere tid er dækket af ugeneret plak, opløses hydroxylapatit fra emaljen, og en del af den opløste apatit vil genudfældes som fluorapatit, fordi fluorapatit er mere modstandsdygtigt mod syre. Der kræves en stærkere syre for at opløse fluorapatit. Udfældningen af fluorapatit afhænger af koncentrationen af fluoridioner i plakvæsken. Cariesopløsningen af emalje vil således forløbe langsommere, fordi noget af den opløste emalje, vil forbindes med fluorid, og genudfældes i emaljeoverfladen som fluorapatit.

Derfor er tanddannelse og især emaljedannelse vigtig og følsom. Store mængder af fluorid før tandfrembrud, eller rettere, under tanddannelsen, medfører en øget risiko for dental fluorose. Det er således klart, at sålænge det ikke er muligt at forhindre at indgivet fluorid bliver optaget systemisk, er det vigtigt at begrænse fluorindtaget i de perioder hvor emaljen bliver mineraliseret. Med andre ord er det nødvendigt at begrænse brugen af fluorider, når det drejer sig om børn. Altså lige der hvor fluorider ellers kunne have gjort mest nytte, er det nødvendigt at begrænse brugen, hvis man vil undgå at skade emaljemineraliseringen. Hvordan vil det være muligt at opnå et højt fluoridindhold i mundhulens væsker (spyt og plakvæske), uden at risikere systemiske bivirkninger? Problemet er ikke blevet løst endnu. Men da det samtidig med indførslen af fluortandpasta viste sig at cariesmængden faldt, var der ingen grund til at bryde hjernen med uvæsentlige ting som fakta. Fluortandpasta gik sin sejrsgang over hele verden. I nogle områder blev der tilsat fluorid til drikkevandet. Og cariesforekomsten faldt.

Weatherell undersøgte systematisk emaljens mineralindhold. I områder med slid på tandoverfladen fandtes et lavt fluorindhold. Tandoverflader der er udsat for mindre slid, har højere fluorindhold i de yderste lag, som et tegn på begyndende caries, fordi der er mulighed for ophobning af bakteriebelægninger.

I 1960'erne kortlagde Weatherell systematisk fluorindholdet i de hårde tandvæv. Generelt fandtes et lavt fluorindhold i human emalje. Emalje er hovedsageligt bygget op af hydroxylapatitkrystaller. Målingerne blev blandt andet foretaget på tænder fra individer af forskellig alder. Emaljeoverfladens fluorindhold måltes også med forskellig afstand fra tandkødet. Resultaterne viste at emaljeoverfladernes fluorindhold nogle steder steg med alderen, medens det andre steder bevaredes på et lavt niveau. De overflader hvor der er slid, vil der hele tiden eksponeres ny emalje med et lavt fluorindhold. De overflader hvor der ikke er slid, vil der ophobes plak. Plak medfører kemiske processer i emaljeoverfladen (caries). Derfor fandt Weatherell at emaljens fluorindhold steg med alderen i områder hvor plakken ikke blev fjernet regelmæssigt.

Fluorids carieshæmmende effekt blev erkendt i en periode med meget høj cariesforekomst. Årsagen til den høje cariesforekomst var en generelt meget ringe mundhygiejne. Da alle havde nogenlunde lige beskidte tænder, var det muligt at måle effekten af drikkevandets fluoridindhold. De steder hvor fluoridindholdet var højst, kunne man også se fluorids giftvirkning i form af øget frekvens og alvorlighed af dental fluorose. I de efterfølgende årtier blev fluorid blandt andet tilsat tandpasta, og mundhygiejnen forbedredes, samtidig med at cariesforekomsten faldt drastisk.
I starten var der eksperter der udtalte sig kritisk om fluorid, de mente ikke at fluorid kunne have lige så stor betydning som plakfjernelse. Men efterhånden fik fluormafiaen, ligesom gøgeunger, trængt kritikerne ud af reden. Fluorid fik hele æren for den forbedrede cariessituation. Til sidst blev der forsket i alt andet end det der virkelig kunne gøre en forskel, nemlig tandbørstning. Hvis vi fra starten af havde børstet tænderne ordentligt, ville det ikke have været muligt at opdage fluorids carieshæmmende effekt. Fluorid ville aldrig være blevet tilsat tandpasta, på grund af stoffets giftvirkning (dental fluorose), og vi ville ikke have haft caries.

Uanset drikkevandets fluoridindhold, har mange lokalsamfund i dag generelt mindre caries end de havde i de områder med det allerhøjeste fluoridindhold i drikkevandet i 1950'erne. På trods af at de altså flød i dental fluorose, havde de mere caries end vi har i dag. Alligevel påstår »tandlægerne« at årsagen til den forbedrede cariessituation er fluorid. Det er logik som vi kun finder det i de mest fantasifulde science fictions, og så lige hos »tandlægerne«. En sådan forandring ville selvfølgelig ikke have været mulig hvis fluorid havde haft nogen betydning. Fluorid har en virkning som baggrundsfaktor, men når det drejer sig om at få bugt med caries, er det helt klart mere skadeligt end gavnligt. I starten forekom fluorid som en velsignelse, nu er det en forbandelse der forplumrer og forhindrer at vi virkelig kan få kontrol over caries.

Flere steder ser og hører man påstanden om at fluorid skulle øge emaljens styrke og resistens. Dette er en voldsom forvrængning af sandheden. Selv med et meget højt fluorindhold er emaljen ikke bedre beskyttet mod caries. Der er gode grunde til at naturen har valgt at opbygge tandemalje af hydroxylapatit fremfor fluorapatit. Emalje med et højt indhold af fluorapatit er mere porøs og svagere end emalje med et lavt indhold af fluorapatit. En emaljeoverflade af fluorapatit kan ikke pakkes så tæt som en hydroxylapatitoverflade, og i naturen ville en fluorapatit-tand slides meget hurtigere. Vi behøver blot at tænke på dental fluorose.

Misforståelsen med at fluor skulle gøre tanden stærkere er udbredt. Nogle forskere har ligefrem talt om at tandoverflader »modnes« efter tandfrembruddet. Ved »modning« forstår forskerne, at tandoverfladens fluorindhold øges efter tandfrembrud. Det som sker er, at plak i forbindelse med tandfrembruddet ophobes på tandoverfladerne og starter caries. Ved caries opløses hydroxylapatit i emaljeoverfladen. Det opløste apatit genudfældes som fluorapatit, fordi fluoridkoncentrationen i plakvæske altid er høj. Hvis tandoverfladen holdes ren, opløses emaljeoverfladen ikke, og vi kan på den måde bevare en fluorfattig og stærk emalje. Det groteske er, at nogle tandpastaproducenter i deres iver for at øge emaljeoverfladens fluorindhold, i perioder har forsøgt sig med at gøre tandpastaen sur. På den måde kunne de svække emaljeoverfladen så fluor kunne indbygges.

Forsiden af Tandlægebladet. Med tanke på hvordan caries udvikler sig, med »subsurface lesion«, forekommer det komisk, at nogen påstår, at fluor skulle styrke tanden eller tandoverfladen. Og det har da heller ikke noget på sig. Der vil altid være opløseligt hydroxylapatit lige i nærheden. En øget koncentration af fluor-ioner i plakvæsken, vil hæmme cariesprocessens progressionshastighed. Men fluorid kan aldrig standse caries. Og fluor indbygget i tandemaljen gør ingen gavn.

Fluorids styrke, og den eneste styrke, der kan forbindes med stoffet fluor, er den effekt som stoffet udøver som fluorid opløst i plakvæske, når cariessygdom opløser emaljens hydroxylapatit og genudfældes som fluorapatit. Når tandens overflade er dækket af plak, så vil fluorid opløst i plakvæsken forbindes med opløst emalje og genudfældes som fluorapatit. Fluorid opløst i plakvæsken kan på denne måde hæmme udviklingen i cariesangrebet. Men fluorapatit i emaljeoverfladen øger ikke tandens resistens mod caries, fordi der selv med meget høje koncentrationer af fluorapatit altid vil være opløseligt hydroxylapatit lige i nærheden. Selv en tand med højst mulig fluorapatitindhold, er nøjagtig lige så sårbar overfor caries. Fluorids carieshæmmende effekt er tilstedeværelsen i plakvæsken under cariessygdommen. Derfor kan fluorid aldrig standse caries.

Hvis der virkelig er nogen som tror, at man ved at tilføre tandpasta små mængder af fluorid, har kunnet påvirke cariesudviklingen, så er vi under lavpunktet. Selv med de mest optimale og høje fluorkoncentrationer er der aldrig nogensinde blevet fundet cariesfrihed, selv i områder med udbredt dental fluorose. Caries var ikke noget problem hos de oprindelige naturfolk, og hos dyr og mennesker i naturen, og det var tilfældet uanset om de boede eller bor i fluorfattige områder. I dag ser vi en stigende grad af cariesfrihed, igen helt uafhængigt af drikkevandets fluoridindhold. Det der har betydning for cariesudviklingen, er fjernelsen af plak fra tandoverfladerne med tandbørste og tandtråd. Og det store problem er, at der ikke er nogen som har lavet relevant forskning i plakfjernelse siden Thylstrup.

Kurven illustrerer sammenhængen mellem fluorid og caries. Det umiddelbare indtryk er at lave cariesforekomster hænger sammen med højt fluoridindhold i drikkevandet. Nøjagtig ligesom man fandt det i U.S.A. mere end 50 år tidligere. Fluorid er stadigvæk en baggrundsfaktor som ikke kan standse caries. Det der er mere spændende, er hvad der foregår i de kommuner, der ligger længst væk fra gennemsnittet. For eksempel Nexø. Kim Ekstrand.

Hvis man skal bevise effekten af fluorid, er det nødvendigt at kunne skelne mellem effekten af plakfjernelse og effekten af fluorid. Hvilken del af ændringen i sygdomsforekomsten skyldes ændringer i plakforekomsten, og hvilken del skyldes ændringer i fluoridpåvirkning. Vi har ikke fluor-forskning hvoraf det er muligt at aflæse hvilke plakmængder der har været tilstede i forsøgsperioden og om den er ændret i forsøgsperioden. Det eneste vi har er Karlstad og Nexø, hvor plakfjernelse er en vigtig del af projektet, og her er resultaterne til gengæld meget overbevisende. Og de gode resultater skyldes plakfjernelsen. Ellers er vi ikke nået længere end til Grand Rapids i 1940'erne. I 1940'erne fandt man ud af at caries udviklede sig langsommere jo mere fluorid drikkevandet indeholdt. Men caries kunne ikke standses eller forhindres.
Der er endnu ikke fundet rationelle metoder til at opretholde høje fluoridkoncentrationer i mundhulen, uden at man samtidig udsætter sig for de systemiske bivirkninger af forhøjede fluoridkoncentrationer.

Ved en given caries-progressionshastighed (A, C og E) vil en øget fluorid-påvirkning sænke progressionshastigheden, men fluorid vil aldrig kunne standse caries, uanset fluorid-mængden (B). Når fluoridpåvirkningen normaliseres, ophører fluorids effekt (C). Ved at fjerne plakken, som er årsagen til caries, kan caries standses, uanset om der er fluorid eller ej (D). I perioder hvor der ikke gøres noget ved caries (A, C og E) vil progressionshastigheden returnere til udgangspunktet. Dette gælder såvel på populationsniveau, som helt ned til det enkelte cariesangreb.

Tandlægestanden er gennem årtier blevet undervist i hvad der nærmest må betegnes som »Kejserens nye klæder«.
Der er hele tiden blevet refereret til fluormiraklet som i 1960'erne førte til en decimering af cariesproblemet. Nogle steder blev der indført kunstig drikkevandsfluoridering, og de steder hvor tilsætning af fluorid til drikkevandet senere blev standset, medførte dette ikke nogen væsentlig tilvækst i caries.
Påstandene om fluorids mirakelvirkning er blevet gentaget så hyppigt, at de er blevet en sandhed i sig selv. Man har set helt bort fra effekten af plakfjernelse. Siden 1960'erne er vi blevet stadig bedre til at børste tænderne og bruge tandtråd.
Efter 50 år er det stadig drikkevandets fluoridkoncentration der styrer.
Og der findes ikke forskning, hvor det er muligt at skelne mellem effekten af fluorid og effekten af plakfjernelse.
Hvis der er nogen, der sidder inde med beviset for fluorids virkning, så er det på tide at de kommer frem med det.
De eneste steder hvor man virkelig har kunnet påvirke cariessygdommen er Nexø og Karlstad, og her har man så tilskrevet de positive resultater, såkaldt »passiv profylakse« og andre bortforklaringer.
Det er på tide at vi ser på hvad der virkelig sker, og at vi bruger den viden som vi allerede har, i stedet for at misbruge den viden som vi ikke har.
De velfungerende familier har i den grad overhalet forskningen ved at sørge for rene tænder.
Der er helt sikkert evidens for at mange flere bruger fluortandpasta i dag, end i 1930'erne. Og der er helt sikkert også evidens for at tænderne har fået det meget bedre. Men der er ikke evidens for at de to ting har noget med hinanden at gøre, sålænge vi ikke har styr på plakfjernelsen.
Forældre er gennem mange år blevet frarådet at bruge fluortandpasta til børn under tre år. Og mange forældre har undgået fluortandpasta til børn under tre år, for at mindske risikoen for dental fluorose. Alligevel har børnene ikke fået huller i tænderne, når de blot blev holdt rene.

Når tandplejen siger at de har opnået en væsentlig cariesreduktion ved at få børnene til at børste to gange dagligt med fluortandpasta, så mangler de lige at redegøre for, hvordan de har sikret sig, at børnene ikke har børstet tænderne bedre, og at dét i virkeligheden er årsagen til cariesreduktionen. Og når de så siger, at det jo netop er en af fordelene ved at skyde med spredehagl, når man iøvrigt ikke ved hvad det er man gør, så må man sige, at man faktisk ved nok om caries i dag til at kunne målrette cariesforebyggelsen. Hvem tror egentlig, at der er nogen der ikke bruger fluortandpasta? Fordelene ved at målrette indsatsen er utallige, men først og fremmest bedre resultater.

Vi står overfor et svindelnummer og vildledning af utrolige dimensioner. Det påstås at fluorid er årsagen til reduktionen i caries. Stadig flere er cariesfri. Men der findes ikke engang en hypotese som kan forklare hvordan fluorid skulle kunne forhindre at caries udvikles på en sund tandoverflade. Der er derimod ganske plausible forklaringer på hvordan fluorid kan sænke progressionshastigheden i et cariesangreb, nemlig ved at fluorapatit delvis erstatter opløst hydroxylapatit under cariesprocessen. Men der er tale om fluorids effekt på en syg tandoverflade. På en sund tandoverflade har fluorid ingen effekt. Og det eneste der kan holde en sund tandoverflade sund, er regelmæssig fjernelse af de sygdomsfremkaldende bakteriebelægninger. Det eneste vi har, er at der dør lidt flere bakterier ved høje fluoridkoncentrationer. Noget som små børn, der jo også får huller i tænderne, sikkert vil være glade for at høre.

En overtandlæge kaldte det for at skyde med spredehagl. og påpegede at fordelen ved at skyde med spredehagl, var den større sikkerhed for at ramme noget. Derfor måtte indsatserne (fluorid, kost og plakfjernelse) kombineres. Jeg ved ikke hvor mange der synes at det er smart at skyde med spredehagl, fremfor at ramme præcist med en enkelt kugle, nemlig plakfjernelsen.
Det er på høje tid, at vi går i gang med at rydde op efter de spredehagl som tandplejen gennem årtier har brugt til at ødelægge folks tænder med, ved at misbruge budskabet om fluorid, og på den måde forvirre budskabet om plakfjernelse.

Det er på høje tid, at vi vågner op efter 100 års fluorose-søvn.

Slid kontra Caries

Tilbage til start

Fra drømmenes, fantasiens og eventyrets verden, når det drejer sig om fluorid, bevæger vi os nu atter tilbage til virkeligheden. I modsætning til illusionerne om fluorid der må illustreres med skemaer, figurer og kurver, kan virkeligheden om slid illustreres med konkrete billeder.

Efter tre uger med sund kost, men uden tandbørstning, er der stadig plakfri områder på tandoverfladerne. Grovere og større kostmængder vil slide mere plak væk. Usund og kalorierig kost vil reducere de plakfri områder. Plakfri områder er cariesfri områder. Fluorid har intet med plakforekomsten at gøre. Emaljeoverfladens fluorindhold er højst i de områder der er dækket af plak, og lavest i de cariesfri områder (se Weatherell). Med tandbørste og tandtråd er det muligt helt at undgå caries. Det at der er plak på nogle overflader betyder ikke at der kommer caries på disse flader, men jo mere plak der er, og jo længere den får lov til at være på overfladen, jo større sandsynlighed er der for caries. (Else Theilade)

Tilstedeværelse af plak på tandoverfladen er en helt nødvendig forudsætning for cariesopståen og -udvikling. Fjernelse af plak er suverænt og helt uden sammenligning metoden til at forebygge cariessygdommen. Gevinsten ved at fjerne plakken, fremfor at bruge andre metoder til at påvirke sygdomsprocessen, er så meget større, at effekten af selv en lille forbedring af mundhygiejnen langt overstiger den kombinerede effekt af alle andre kendte metoder tilsammen.

6'eren (fra 6-års-alderen), 7'eren (fra 12-års-alderen) og 8'eren (fra 18-års-alderen). Der ses tydeligt mere slid på de tænder, der har siddet længst i munden. På 6'eren er fissursystemet næsten helt udvisket. Der ses også mest slid approksimalt mellem 6'eren og 7'eren. Overflader med aktivt slid er ikke udsat for caries. (Kim Ekstrand)

Oprindelig er tænder opstået for at fange og findele vores føde. Tænder skal være hårde og slidstærke, derfor har naturen måttet give afkald på levende væv i tandoverfladen. Færdigdannet tandemalje er dødt væv, og kan ikke gendannes. Selvom tænder er hårde og slidstærke, så har det slid, livet i naturen medførte, nødvendiggjort at tænderne havde en hvis højde, da en lav tand hurtigt ville være slidt ned under tandkødsniveau. Høje tænder udgør dog et problem, idet nogle dele af tandoverfladen udsættes for mindre slid end andre. Mindre slid medfører ophobning af bakterier. Men ophobning af bakterier betyder vel intet, for der er jo tale om bakterier i »økologisk balance«. I naturen er der jo tale om sund kost. Desværre har der aldrig eksisteret bakteriebelægninger i »økologisk balance« andre steder end i fantasien hos nogle forskere. Naturen har, i skarp kontrast til forskerne, måttet se virkeligheden i øjnene.

Derfor udvikledes i naturen glatte overflader. således at de tandoverflader der var mindst udsat for slid, var de glatteste. En glat tandoverflade gør det ikke sværere for bakterierne at ophobes, men det er ulige meget lettere at rengøre en glat tandoverflade, end en ru og ujævn overflade. Glatte tandoverflader er naturens forsøg på at lave en slip-let teflonoverflade. Selvom glatte tandoverflader ikke betød plakfri tandoverflader, så var det i naturen nok til at caries ikke udgjorde en trussel.

I naturen slides tænderne hver gang de bruges. Og tænderne bruges meget i naturen. Derfor slides tænderne meget. Sliddet medfører at plakken fjernes samt at de yderste fluorrige overfladelag af emaljen slides væk. Vi har altså en cariesfri emaljeoverflade med et lavt fluorindhold.

På trods af at overfladerne var glatte, var det netop på disse overflader at caries optrådte, hvilket ses af et øget fluorindhold i netop glatte tandoverflader. I modsætning til de ujævne tyggeflader der var udsat for slid, og derfor ikke var udsat for caries. Dette var et acceptabelt kompromis, for bakterier kunne ikke undgås, og når bakteriebelægningerne nåede en vis tykkelse ville det uvægerligt medføre at anaerobe bakterier tæt på tandoverfladen skabte forhold med lavt pH (caries).

Illustration af det terapeutiske spektrum for mekanisk plakfjernelse. Overdreven tandbørstning kan medføre erosion af emaljeoverfladen. Fravær af mekanisk påvirkning medfører ophobning af bakterier, og resulterer i caries.

Der er en balance i mundhulen og på tandoverfladerne, ligesom der er på alle andre overflader på levende væsener. På levende overflader, er balancen i bakteriebelægningerne betinget af at overfladen hele tiden fornys. De bakterier der skal overleve på huden har gennem millioner af år tilpasset sig livet på en overflade der hele tiden udskiftes. Hvis den hastighed hvormed overfladen fornys, ændres, eller udskiftningen ophører, vil bakteriesammensætningen også ændres. På tandoverfladerne er den tilsvarende mekanisme betinget af at slid hele tiden begrænser bakteriernes mulighed for at hobe sig op. De steder hvor der er slid, vil bakterierne kun kortvarigt kunne få fodfæste. På overflader med mindre slid, kan belægningerne etablere sig, men deres patogene evne begrænses af at belægningen aldrig når at blive tyk nok til at medføre sygdom. Fluorindholdet i overfladeemaljen vil øges, som følge af lavpatogen aktivitet. På tandoverflader der slet ikke udsættes for slid kan bakterierne ophobes, og mere patogene bakterier kan også etablere sig. Det er det, der har været anledningen til den caries-eksplosion som vi har oplevet gennem de sidste århundreder. Metoden til at udrydde caries, er at fjerne belægningerne regelmæssigt med tandbørste og tandtråd. Alle andre metoder til cariesbekæmpelse, har i bedste fald kun begrænset effekt. Det er den intelligente måde at begrænse bakterieproblemet på. At fjerne bakterierne mekanisk og fysisk fra overfladen. Kun når det går galt, sætter vores immunforsvar ind.

Erosioner, Syreskader. Det der ødelægger tænderne er gentagne uhensigtsmæssige tungebevægelser. Uden tungen ville det ikke være muligt. Det ville kunne lade sig gøre helt uden syre, men det går hurtigere når der i tungens fordybninger sidder syre. Tungen rasper emaljen af, og det går hurtigere med syre. Syre alene kan ikke gøre det.

Lavt pH medfører at visse dele af emaljen opløses og svækkes. Ved erosioner udsættes den svækkede emalje for slid og forsvinder. Ved caries vil intermitterende episoder med lavt og mere normalt pH afløse hinanden, og vil medføre at fluorapatit erstatter hydroxylapatit. Mængderne og hastigheden afhænger af mange forhold. Over tid vil fluorindholdet i en bakteriebelagt tandoverflade altid stige som et tegn på caries-sygdomsprocesser. Modsat vil en tandoverflade der slides og ikke er bakteriebelagt have et lavt fluorindhold. Udviklingen af glatte tandoverflader er en evolutionær genistreg. Det viser med al ønskelig tydelighed, at bakterier ikke gør nogensomhelst gavn på tandoverflader. Der er utallige andre overflader i mundhulen, hvor nogle bakterier kan gavne, men tandoverfladen er helt sikkert ikke en af dem. Men selvom glatte tandoverflader gjorde det lettere at begrænse bakteriemængderne, så har der altid været caries. Dette ser man af det hævede fluorniveau i glatte tandoverflader. I virkeligheden er det ret enkelt, og årsagen til at det er så simpelt, er at tandoverfladen ikke er levende væv.

Kostændringer fra forhistorisk tid til nutiden. Kostens kalorieindhold er steget, så mindre mad dækker et større energibehov. Kosten er også blevet mindre grov og meget mere forarbejdet. Samtidig er menneskets energibehov faldet drastisk. Selv hvis vi kun spiste mad som vore tidligste forfædre, ville vi stadig mangle effekten af et langt højere energibehov, et vilkår for mennesker og dyr i naturen, for at opnå tilstrækkeligt med slid på tænderne til at kunne undgå caries. Derfor steg cariesudbredelsen indtil vi begyndte at få styr på mundhygiejnen. Tandbørste og tandtråd er og bliver det moderne menneskes løsning på cariesproblemet.

Når den oprindelige grønlandske eskimobefolkning i begyndelsen af 1900-tallet i løbet af en generation forvandledes fra en cariesfri befolkning til en befolkning hvor alle var plaget af caries, så var det ikke fordi de pludselig indtog mindre fluorid. Den ændring i kosten som isolationsbruddet medførte, og som førte til en eksplosion i caries, var en ændring der på kort tid reducerede det slid, som naturfolkenes tænder havde været udsat for, til næsten ingenting. Den lette adgang til moderne blød og kalorierig kost, medførte et lavere energibehov, altsammen faktorer der reducerede sliddet på tænderne, og tillod ophobning af bakteriebelægninger, og dermed caries. Det var ikke fordi grønlænderne havde kysset med europæerne og på den måde var blevet smittet med onde cariesfremkaldende bakterier. Grønlænderne havde hele tiden haft cariesfremkaldende bakterier, de havde blot ikke haft mulighed for at ophobes på grund af slid. Hvis grønlænderne fra starten af havde fjernet den ophobede plak, der ikke blev fjernet af slid, med tandbørster og tandtråd, så ville de aldrig have oplevet caries, uanset hvor meget sukker de indtog.

Emaljen er tandens slidbane. Emaljetykkelsen er størst der hvor tanden normalt slides mest. Den funktionelle tyggeflade (rød linje) omfatter i overkæben også en del af lingualfladen. Nederst viser grønt område ekstra emaljetykkelse på linguale cusp. (DTF's billedarkiv).

Det er selvfølgelig muligt at gøre det mere eller mindre besværligt at børste tænder og bruge tandtråd, og på den måde fjerne årsagen til caries og tandkødssygdomme. Men det er et faktum, at flere og flere er gode nok til at fjerne plak og på den måde undgå caries. Kost og fluorid er baggrundsfaktorer, og hvad angår caries, er det skadelige sovepuder. Tandbørstning hos børn, betragtes af nogle som et problem, og det allerstørste problem er den forvirring der skabes af vildledende forskning i kost og fluorid. Det ville helt klart gøre det lettere for forældrene, hvis der var et klart budskab om plakfjernelse som cariesforebyggelse. Der er store fordele ved at have gode tænder gennem hele livet. Det kan derfor undre, at vildledningen får lov til at fortsætte, selvom det er indlysende, at fluorid og kostændringer aldrig vil kunne løse cariesproblemet. Det er kun plakfjernelse, der kan forebygge caries.

SLID

CARIES

Glat, spejlblank overflade Ru, ujævn overflade
Gennemskinnelig emalje Kridtagtig ugennemskinnelig emalje
Lavt og faldende fluorindhold i emaljeoverfladen Højt og stigende fluorindhold i emaljeoverfladen
Kompakt emalje Porøs emalje
Slidstærk emalje Svag emalje
Bakteriefri Bakterier på tandoverfladen
Lille risiko for tandkødssygdomme Stor risiko for tandkødssygdomme
Mekanisk fysisk påvirkning Kemisk biologisk påvirkning
Tandfarve afhængig af underliggende dentin Tandfarve er kridtagtig, hvidlig eller misfarvet
Slid og caries er modsætninger, fordi slid fjerner årsagen til caries

Når stenaldermennesket og dyr i naturen ikke havde problemer med caries, så skyldes det ikke kostens indhold af fluorider. Ejheller sukkermængderne eller tilstedeværelsen af bestemte bakteriekulturer havde nogen betydning. Det der gjorde at caries ikke var et problem i naturen, var kostens mekaniske indvirkning på plakmængden. Store mængder energifattig og grov kost som er nødvendig for at dække et enormt energibehov i naturen, resulterede i begrænsede mængder plak.
Drikkevandet som stenaldermennesket indtog, var overfladevand, der normalt har et lavere fluoridindhold end grundvand. Dette understreger tydeligt hvor betydningsløst fluorid er.

Ved slid i naturen, er det ikke blot tyggefladen der slides, også kontaktfladerne mellem tænderne slides, så det der starter som et kontaktpunkt, med tiden bliver til en kontaktflade.

Det er også en misforståelse at man ikke får huller i tænderne, hvis man ikke spiser sukker. Spyt indeholder også sukkerstoffer, der kan tjene som substrat for bakterier. Derfor kan hjerneskadede patienter, som slet ikke får mad i mundhulen, men udelukkende gennem sonde, ind i blodbanen, også få huller i tænderne, hvis den plak der ophobes på tandoverfladerne ikke fjernes regelmæssigt. Caries kan udvikles langsommere hvis man ikke spiser sukker, men det er kun regelmæssig plakfjernelse, der kan forebygge caries.

Nabotænder bevæger sig i forhold til hinanden og ved kraftig tygning slides kontaktpunkterne så de bliver til kontaktområder. Dette fører til en afkortning af tandbuen, således at der ved frembrud af visdomstanden er mere plads og færre problemer.

Med moderne kost slides tænderne ikke nok til at caries kan undgås. Tandbørste og tandtråd er nødvendige for at kunne fjerne den plak, der ellers ville forårsage caries. I enhver mundhule er der risikoområder, ligesom der normalt også vil være områder, hvor der ikke er risiko for caries (selvrensende overflader). En professionel vil normalt kunne se, hvor der er risiko for caries, samt hvor risikoen for caries er minimal. Men problemet er, at forholdene hele tiden ændrer sig, især i de vigtige perioder omkring tandfrembrud og tandskifte. Ellers ville det i princippet være muligt at programmere en computer til at holde tandoverfladerne bakteriefri. Formålet med tandbørstning er at fjerne plakken, eller at forstyrre den så meget, at den ikke forårsager sygdomme, og at gøre det, uden at skade tænderne eller deres omgivelser.

Mamelonerne på fortændernes skærekanter er eksempler på strukturer der få år efter tandfrembrud er slidt væk.

Tyggefladerne er normalt let tilgængelige for en almindelig tandbørste. Men furerne på tyggeflader kan være dybe, og det er vigtigt, at de holdes rene lige fra tandfrembrud. Langs med tandkødet ophobes bakteriebelægninger, hvis de ikke fjernes regelmæssigt. De bageste tænder kan også være svære at nå med tandbørsten. Imellem tænderne er det for det meste nødvendigt at bruge tandtråd. Uregelmæssig tandstilling kan også kræve forøget indsats. De selvrensende flader, for eksempel cusp-toppene, er derimod ikke risikoområder. Men vi kan ikke undgå, at de også bliver rene, når vi fjerner plakken fra risikoområderne.

Sutteflaskecaries eller manglende mundhygiejne? Hvorfor er incisalkanterne næsten cariesfri? Hvorfor er cariesangrebene de steder hvor plakken har siddet længst? Ved at se ind i en mundhule med masser af caries, ser man ind i et cariesunivers. Det er tydeligt at se at caries kun findes de steder, hvor plakken ikke er blevet fjernet. Og det har ikke det fjerneste med fluorid at gøre. Og heller ikke med sutteflasken. Problemet er manglende plakfjernelse.

Den gode side af historien er, at tænderne ikke nødvendigvis skal være helt rene hver dag. Det vigtige er, at vi får fjernet så meget plak fra risikoområderne, at plakken ikke er sygdomsfremkaldende, og at vi starter ved tandfrembrud, da skader, som allerede er opstået, ikke kan børstes væk.

Plak på tandoverfladen er en helt nødvendig forudsætning for cariesaktivitet. Befolkningen er i stigende grad i stand til at reducere cariestruslen, ved regelmæssigt at forstyrre plakken. De allerstørste forbedringer ses i Nexø. Nexø-metodens fokus-områder er forbedret plakfjernelse omkring tandfrembrud, specielt på tænder og flader hvor der normalt er øget cariesrisiko, samt en understregning af forældrenes ansvar, fordi alt det vigtigste foregår på tidspunkter, hvor børnene ikke selv er i stand til at udføre den nødvendige plakfjernelse tilstrækkelig godt. Fluorid vil aldrig nogensinde kunne forklare de forbedringer der ses i Nexø.
Præcis det samme kan siges om den enkelte tandflade. Caries kan opstå på de flader hvor plak får lov til at ophobes. Mindre end en millimeter fra et stort cariesangreb, ses ofte et cariesfrit område. Og nøjagtig ligesom det gør sig gældende på populationsniveau, kan fluorid ikke forklare cariesfrihed på hverken individ- eller helt ned på niveau af det enkelte cariesangreb. Cariesfrihed er ikke forbundet med høje fluoridniveauer, tværtimod er høje fluoridniveauer forbundet med højt cariesniveau. Fluorapatit og høje plakfluoridniveauer er forbundet med caries. Medens lave fluorapatitniveauer er forbundet med cariesfrihed. Det allerbedste vi kan håbe på at opnå med fluorid, er en forsinkelse af cariesprocessen. Den rationelle tilgang til cariesforebyggelse er, som stadig flere forstår det, regelmæssigt at fjerne plakken (årsagen til caries) fra tandoverfladen. De steder, hvor vi ikke vil have huller i tænderne, fjerner vi årsagen til huller i tænderne, vi fjerner plakken. Alt andet er spild af tid og ressourcer.

Sutteflaskecaries? Caries er opstået i de områder hvor der har været mest plak. Ofte er incisalkanterne cariesfri. Ofte er en ellers cariesfri incisalkant fraktureret af, undermineret af gingival caries.

En af de modeller der kan benyttes i cariesforskningen, er den der blev benyttet i »Lille Karlstad«. Ved at beskytte plakken mod tandbørstning under et metalbånd i fem uger, var det ikke muligt for en eneste af de 14 testpersoner at undgå caries. Men hvad nu hvis testpersonerne indtog store mængder probiotika-holdige surmælksprodukter, blandet med xylitol og fluorid? Ville det så være muligt at undgå caries under den beskyttede plak i fem uger, eller måske endda ti uger?
Og hvad nu hvis forsøgspersonerne indtog en meget cariogen kost? Ville det så være nok at fjerne plakken én gang om ugen, som det var i det oprindelige Lille Karlstad? Eller ville nogle af testpersonerne udvikle caries, selvom plakken blev forstyrret én gang om ugen.
Både Karlstad, Lille Karlstad og Nexø viser, at caries ikke kan opstå, hvis plakken forstyrres regelmæssigt. Samt at caries ikke kan undgås, hvis plakken lades uforstyrret. Hvis man vil bevise, at specielle fødevarer kan forebygge caries, så er denne model oplagt.

Anbefalinger

Tilbage til start

Det væsentlige er at få folk til at børste tænderne bedre. Tandplejen skal helt fokusere cariesforebyggelse på plakfjernelse. De fleste har da også forstået det. Tænderne bliver børstet, og tandplejen lægger stor vægt på at tænderne er rene. Vi mangler ydergrupperne, og så forskerne.
Hvordan får vi ydergrupperne med? Gør vi det bedst ved at øge fluorindholdet i tandpasta, eller ved at mindske sukkerindholdet i fødemidler? Nej, det bedste er selvfølgelig at få dem til at børste tænderne bedre. Et klart budskab om plakfjernelse, fordi det er her gevinsten er størst. I stedet for forvirrende og skadelige meldinger om fluor og kost, som i bedste fald er virkningsløse. Det ville selvfølgelig være en stor hjælp hvis forskerne gennemførte relevant forskning, og fortolkede deres resultater, så de viste at de havde forstået sammenhængen.

Når man påstår at mundhygiejnen bliver stadig bedre, og at denne forbedring er årsagen til den forbedrede cariessituation, konfronteres man ofte med et udsagn om at tandlægerne aldrig ser patienter uden plak på tænderne, som bevis for at folk stadig ikke kan børste deres tænder. Men lille Karlstad viste os, at blot tænderne var rene en gang om ugen, var det muligt at undgå caries. Og fluorid har ingen betydning. Tænder skal ikke nødvendigvis være rene to gange om dagen. Og tænder skal ikke nødvendigvis være helt rene for at opnå positiv effekt. For forskere og tandlæger er det et problem at tænder ikke er enten rene eller beskidte. Det er svært for forskerne at måle noget imellem beskidt og ren, og det er svært at måle forbedringer i plakfjernelse. For forældre er det derimod indlysende, at jo bedre de er til at børste børnenes tænder, des bedre tænder får børnene.
Desværre skal fornuftige forældre kæmpe sig gennem en sump af misinformation om fluorid, sukker, kost og probiotika, faktorer, som er fuldstændig uden betydning sammenlignet med plakfjernelse. Og her er især de svageste forældre og patienter taberne.

Vi bliver langsomt bedre til at fjerne plak fra tænderne. Det kommer til udtryk i stadig bedre cariestal. De steder hvor tandplejen, er gode til at få patienterne, til at fjerne plakken fra tandoverfladerne, ser vi de bedste cariestal. De steder hvor tandplejen fokuserer mere på fluorid og kost, går det lidt langsommere.

Uanset hvordan vi vender og drejer virkeligheden, så spiser vi ikke sundere i dag end i 1942, og fluorid-påvirkningen er ikke større i dag end den var i amerikanske byer med udbredt dental fluorose i 1942. På trods af usundere kost og på trods af mindre fluoridpåvirkning, har flere danske kommuner væsentlig lavere cariestal i dag, end de havde i amerikanske byer i 1942.

Der er faktorer som vil hæmme en positiv udvikling for cariesforebyggelse. Blandt dem er forskeres forsøg på at skelne mellem professionel plakfjernelse og hjemmemundhygiejne (passiv og aktiv profylakse). I Karlstad- og Nexø-projekterne, er de exceptionelt gode resultater, blevet tilskrevet den professionelle plakfjernelse. Af en eller anden mystisk årsag, er det ikke muligt at opnå de samme resultater, hvis testpersonerne selv får lov til at fjerne plakken. Det er opmuntring der vil noget, så den lader vi lige stå et øjeblik. Forskningsresultater om fluor, kost og økologisk balancerede belægninger, er også med til at forplumre og hæmme enhver positiv udvikling.

Heldigvis er der også en anden virkelighed. I stedet for at nedgøre folks egen indsats, værdsættes den, og effekten af indsatsen forbedres. Stadig flere børn, unge og voksne er cariesfri. Cariesfrihed kan ikke opnås ved fluoridpåvirkning, fordi fluorid kun virker ved at bremse caries-sygdommens progressionshastighed. Cariesfriheden er heller ikke opnået ved at vores kost er blevet sundere (vi spiser ikke mindre sukker), ejheller er bakteriebelægningerne blevet mere godartede. Cariesfriheden skyldes heller ikke flere professionelle plakfjernelser. Tværtimod skæres der ned på tandplejen hos dem med mindst caries.

Årsagen til cariesfrihed er en forbedret mundhygiejne i hjemmene. Og det er ikke fordi alle tænder er pinligt rene to gange om dagen. Stadig flere børster på trods af forskerne tænderne bedre, og bevidst eller ubevidst benytter de sig af helt indlysende smutveje. Forældre indretter sig efter børnenes begrænsede tålmodighed. Hvis der er et sted de ikke kan nå hen den ene dag, så husker de det, og så starter tandbørstningen her næste dag. Det er også blevet mere udbredt at børste tænderne før indtagelse af fødemidler. På den måde kan man fjerne de bakterier der ellers kunne danne syre som følge af kostens sukkerindhold. I nogle tilfælde kan det også være lettere, og dermed mere hensigtsmæssigt og effektivt, da børnene ofte er mindre motiverede efter spisningen. Det er jo trods alt plakken der skal væk, madrester giver ikke caries. Forældrene er også mere opmærksomme omkring tandfrembrud. Det er en mere intelligent tilgang til cariesforebyggelse, end at børste to gange om dagen med fluortandpasta. Men det er en udvikling der sker langsomt, fordi det sker på trods af forskningen, og ofte også på trods af tandplejens rådgivning.

Forskning i cariesforebyggelse forudsætter kendskab til plakken. Hvis vi ved hvor på tænderne der er plak, og hvorlænge den siddet der, så kan vi forudsige en hel masse om sygdomsforekomst. Og vi skal helt tæt på, og vi skal være der hele tiden, for at kunne få brugbare resultater. Hvis vi derimod forsker i kost og fluor, uden at tage højde for plakforekomst, så er forskningen formålsløs.

Der vil være to områder for fremtidig forskning. Det ene vil være at afsløre tilstedeværelsen af plak (plakdetektion), for at muliggøre fjernelse. Det andet vil være selve fjernelsen af plak. Vil computer-tomografi i fremtiden blive så fintfølende at den kan skelne plak fra spyt og tandkød i tandmellemrum, så det bliver muligt at se approksimal plak (og caries) i 3D? Vil nanoteknologi i fremtiden kunne bearbejde tænderne, så plak fjernes mekanisk af mikroskopiske robotter, der vandrer hen over alle tandoverflader?
Det bliver op ad bakke, fordi der ikke er nogen økonomiske interesser i at udrydde cariessygdommen. Uanset hvor avancerede (og dyre) forebyggelsesmetoderne bliver, vil det altid være baseret på, at man med ganske simple midler (tandbørste og tandtråd) kan opnå de samme resultater.

Der vil ikke ske ændringer fra dag til dag, men om tyve år vil man undre sig over at det var muligt at gå så galt i byen med fluorid, og hvordan tandplejen kunne spilde så meget tid på fluorid, når vi faktisk godt vidste at plak er årsagen til caries og at plakfjernelse er den eneste metode til at forebygge og standse caries. Sålænge (fluor)økonomien får lov til at styre tandsundheden vil cariessygdommen stadig hærge, især blandt de mest udsatte.

Vi kan selvfølgelig godt blive ved med at spilde ressourcer på at forske i fluorid, og prøve at finde den helt rigtige fluoridformel, der uden at gøre skade kan fjerne al caries. Men når det nu er sluppet ud, risikerer vi bare at forsøgspersonerne ødelægger forsøget ved at børste deres tænder, så der ikke er noget plak på dem, og så kan vi ikke se hvor godt fluorid virker. Det var jo det der skete i Vipeholm. Her viste forskerne hvordan højt og hyppigt sukkerindtag medførte mere caries. Men i alle forsøgsgrupper, selv den med højest og hyppigst sukkerindtag, var der 25 % der ødelagde forsøget og ikke udviklede ny caries, fordi de børstede tænderne. Men de var jo også »tosser«.


Cariesbehandling

Tilbage til start

Formålet med cariesbehandling er at standse sygdomsudviklingen.
Plakfjernelse og god mundhygiejne er altid en forudsætning for at enhver cariesbehandling kan blive vellykket.

Når sygdom først har taget fat, er det straks sværere at finde alle de rigtige løsninger. Det at sygdom er opstået, er et tegn på at plakfjernelsen ikke har været tilstrækkelig god. Vil det være muligt at motivere patienten til at forbedre plakfjernelsen, og vil det være nok? Hvis patienten ikke vil forbedre plakfjernelsen, må vi forvente at der vil opstå yderligere cariesangreb, samt at allerede behandlede tænder, vil skulle behandles igen og igen. Nogle gange står vi overfor patienter, som har en »dårlig dag«, og nogle gange medfører dette at behandlingens kvalitet forringes.
Hvor hurtig er progressionen i cariesangrebet? Er cariesangrebet muligvis allerede gået i stå?
Vore diagnostiske hjælpemidler er meget fine. Men det er ikke altid muligt at få taget røntgenbilleder af helt små børn. Det kunne ellers være en god metode til at motivere
Ofte er det de »mest besværlige« patienter, der har de dårligste tænder. Og de patienter der bliver behandlet, kunne i mange tilfælde have haft meget mere gavn af at blive sat ind i forebyggende behandling.
Hvornår skal vi behandle?

Behandlingens fremmeste formål er naturligvis, at patienten er stillet bedre efter end før behandlingen. Der skal naturligvis ikke udføres unødvendige behandlinger. Tandens nerve er et ømt punkt, og kan tage skade, selv hvis behandlingen ikke umiddelbart forekommer at være tæt på.

I de tidlige stadier af caries er der ingen bakterier i tandvævene. Sygdommen kan her standses ved at fjerne de bakterier der findes på tandoverfladen. Ved caries vil der under de- og remineraliseringsprocesserne blive optaget fluor i emaljeoverfladen. Det vil sige, at fluorindholdet i en carieret emaljeoverflade altid er højere end i en sund emaljeoverflade.

Bakterier i dentinen befinder sig ikke på en motorvej på vej mod pulpa. Bakterierne befinder sig i frontlinien i en stadig kamp mellem bakterier og tandens nerve.

Ved behandling af caries er det vigtigt at behandlingen er optimal. Hos små børn kan det i nogle tilfælde være en fordel ikke at behandle caries på et for tidligt tidspunkt, fordi manglende kooperation kan medføre at det ikke er muligt at opnå et tilfredsstillende resultat.
I nogle tilfælde kan det være en fordel med midlertidige behandlinger, indtil patienternes kooperation er god nok.

Allerede inden bakterierne kan trænge ind i tanden, vil ser ske ændringer i dentinen og i tandens nerve. I dentinen dannes translucent dentin og pulpa trækker sig lidt tilbage, sekundær og tertiær dentindannelse.
Begge dele kan betragtes som tandens (pulpas) forsvar mod cariesangrebet. Jo langsommere cariesangrebet progredierer, jo mere udtalt vil disse forandringer være. Cariesprogressionen kan fortsat standses ved at renholde tandoverfladen.

Hvis processen ikke standses, vil tanden blive svækket. Emaljeoverfladen kan bryde sammen, så der opstår en kavitet, og bakterier kan trænge ind i dentinen. Selv med bakterier i dentinen kan cariesangrebet standses.

Fyldningsterapi (operativ cariesterapi) er en af de behandlingsmuligheder der findes for caries. Formålet med fyldningsterapi er at standse de cariesangreb der ikke kan standses på anden og mindre radikal måde.
Hvis operativ cariesterapi havde været uskadeligt for tanden, og havde ubegrænset holdbarhed, ville det have været fint. Og vi kunne fylde uden videre. Men de fleste er enige om at fyldningsterapi kan medføre skader på tandnerven, nabotanden, og at fyldninger ikke altid varer evigt. Derfor er det nødvendigt at overveje om fyldningsterapi er den bedst mulige behandling i hvert enkelt tilfælde.
Mange forskere har i årenes løb forsøgt at advare om problemerne ved for tidlig fyldningsterapi, blandt andet ved at angive hvor hurtigt et cariesangreb progredierer, og ved at omtale fyldningers begrænsede holdbarhed.
Et af problemerne ved fyldninger er at fyldningsmaterialer ofte udvider sig anderledes end omgivende tandsubstans ved temperaturpåvirkninger. Over tid kan dette belaste tanden og føre til brud.
Ved fyldningsterapi hos børn er der ofte tale om kompromisbehandlinger, hvor kvalitet ikke altid er i top.
Hvis tandplejen skal bevare et højt tillidsniveau og trygge patienter, så er det vigtigt at der ikke foregår overbehandling.

Var det nødvendigt at bore i 6+ og 6-? Var det nødvendigt at bore 6+2? Er der ikke ved at starte caries 5+4? Kan det have noget at gøre med at vi har boret i 6+2? Hvem har ansvaret, hvis patienten klager over fejl- eller overbehandling? Kunne ressourcerne have været brugt mere hensigtsmæssigt? Har vi hjulpet patienten? Var patienten bare for dum?

I nogle tilfælde er der en vis tilbageholdenhed med at behandle sygdomme med radikale tiltag. Det er i hvert fald ikke tilfældet med caries. Her er der nærmere en tilbageholdenhed med ikke at behandle. Man vil i hvert fald ikke risikere at underbehandle.

Det er muligt at skelne mellem en absolut og en relativ indikation for operativ cariesterapi.
Ved en absolut indikation for operativ cariesterapi forstås at fyldningsterapi anses for uundgåelig, selv hvis der iværksættes intensivt renhold. Der kan være tale om brud på overfladen, et sted hvor renhold ikke er muligt, smerter, alternative muligheder som lakering er uholdbare, eller man har set progression på trods af forbedret plakfjernelse.
Ved en relativ indikation forstås at cariesprogression muligvis kan standses ved andre indgreb end operative. Det er velkendt at selv et stort approksimalt cariesangreb i nogle tilfælde kan standses ved at nabotanden fjernes, så plakfjernelse muliggøres.

Forsøg viser også at lakering over et cariesangreb i nogle tilfælde standser progressionen. Samtidig ved vi at fyldningsmaterialer, eller det at vi borer i tanden i nogle tilfælde kan skade pulpa. Observationsperioden på lakeringer er kun nogle få år, selvom man ude i det virkelige liv nok kan finde lakeringer der har dækket over caries i mange år. Man kan selvfølgelig godt kalde det for eksperimentel behandling. Især hvis man mener at plastfyldninger er uskadelige for tænder og miljø, og hvis man aldrig har lavet en plastfyldning, der skulle laves om.
Det er også velkendt, at der er en tendens til at overbehandle, i en periode hvor sygdommen er i tilbagegang.

Det er klart at fyldninger altid skal laves så de er bedst mulige og holder længst muligt. Når der er tale om en relativ indikation for fyldningsterapi, må dette krav være skærpet. Hvis det er sådan at man borer i en tand, hvor cariesangrebet kunne have været standset ved en forbedret mundhygiejne, så må kravet være at fyldningens kvalitet er helt i top og at fyldningen ikke skal udskiftes på et senere tidspunkt, ellers har vi stillet patienten dårligere end før behandlingen. Mundhygiejnen skal være optimal, det gælder både når der udføres behandling (især ved en relativ indikation), og når behandling udsættes eller undlades.
Undlader man at lave operativ fyldningsterapi ved en relativ indikation, er det vigtigt at tanden bliver fulgt, så der kan gribes ind, hvis der sker en forværring.
Hvis det at fyldningsterapi kan undgås, kan virke som motivation til en bedre mundhygiejne, er det en positiv ting.

Var det nødvendigt at bore i +6 og -6? Kunne caries være standset med bedre mundhygiejne eller med fissurforsegling? Er der ikke caries under fyldningen i -6? Ofte er det den første fyldning der starter »dødsspiralen«. Har vi hjulpet patienten? Var patienten bare for dum?

Hvis man bruger nogle tandlægers dårlige erfaringer med »dumme« patienter som retningslinjer for behandling af alle patienter, kunne det godt se ud som om arbejdet tilrettelægges så tandlægerne ikke kommer til at mangle arbejde. Man kan spørge sig selv om tandlægerne er til for patienternes skyld, eller om det er patienterne der er til for tandlægernes skyld.

Hvor meget sund tandsubstans skal fjernes og hvor meget skal en tand svækkes for at komme hen til et lille cariesangreb?
Og skabes der sundere forhold i mundhulen?
Ofte laves fyldninger hos patienter med dårligst mundhygiejne.

Øverst ses 6+ i oktober 2007. Patienten kommer ikke til de aftalte tider for at få lavet 6+. Først til 18-års undersøgelsen i oktober 2009 dukker patienten op. Der har ikke været nogen symptomer og tænderne er stadig meget beskidte. Umiddelbart ser det ud som om cariesangrebet er gået i stå eller endda blevet mindre. Ofte går cariesangreb i stå efter de tidlige teenage-år fordi mundhygiejnen forbedres.

Der findes helt sikkert tandlæger der kan få 4-årige børn til at nyde at få kofferdam på. Men hvad nu hvis hun lige er gået på pension?

Der er helt sikkert evidens for at der er blevet lavet mange fyldninger. Der er helt sikkert også evidens for at mange af de fyldninger der er blevet lavet, er blevet lavet om eller repareret. Men der er ikke evidens for at dem der har fået lavet fyldninger, har nogen god grund til at være meget taknemmelige, overfor dem der har lavet fyldningerne.

Vi har heller ikke evidens for at al carieret dentin skal fjernes for at redde en tand, når vi er tæt på pulpa og ønsker at bevare pulpas vitalitet.

Var det nødvendigt at bore i -6? Kunne caries være standset med bedre mundhygiejne eller med fissurforsegling? Er der ikke caries under fyldningen i -6? Har vi hjulpet patienten? Var patienten bare for dum?

Hvis det er sådan at fyldninger bliver repareret og omlavet flere gange inden det overhovedet havde været nødvendigt at lave det oprindelige cariesangreb, så er det uheldigt.

Noget af det vigtigste er information. Både når man vælger at bore på et tidligt tidspunkt, fordi man ikke mener at patienten vil være i stand til selv at bremse cariesangrebet (patienten er for dum), og når man vælger at give patienten en chance for med forbedret mundhygiejne at standse cariesangrebet. At bruge tiden på at forbedre mundhygiejnen fremfor at bore i tænderne kan have positive bivirkninger.

Carieslignende defekt i -7 på et tidspunkt hvor okklusalfladen stadig er helt dækket af slimhinde. Det er ikke alt der kan forebygges med tandbørstning, og her ville fluorid heller ikke have hjulpet.

Forfatteroplysninger

Tilbage til start

Tandlæge
Benny Kaufmann Solbirk
Drejøgade 21, 1. tv
DK-2100 København Ø
Telefon +45-39291140
Mobil +45-30999165
E-mail: benny@solbirk.dk

Litteratur

Benny Kaufmann Solbirk (hjemmeside), http://www.cariesforebyggelse.dk/.

Dean HT, Arnold FA, Elvove E.
Domestic water and dental caries, V, additional studies of the relation of fluoride domestic waters to dental caries experience in 4425 white children aged 12 to 14 years of 13 cities in 4 states.
Publ Health Rep. 1942;57:1155–1179

R.J. Fitzgerald, H.V. Jordan, H.R. Stanley, W.L. Poole and A. Bowler
Experimental Caries and Gingival Pathologic Changes in the Gnotobiotic Rat
J DENT RES 1960 39: 923

The Vipeholm Dental Caries Study: Recollections and Reflections 50 Years Later
Bo Krasse
Journal of Dental Research
http://jdr.sagepub.com/content/80/9/1785
J DENT RES 2001 80: 1785

Variations in the Chemical Composition of Human Enamel
J.A. Weatherell, C. Robinson and A.S. Hallsworth
Journal of Dental Research
http://jdr.sagepub.com/content/53/2/180
J DENT RES 1974 53: 180

Oclusivon and Attrition of the Primitive Yanomami Indians of Brazil.
Cléber Bidegain Pereira, Harry Evans
Publiched in Dental Clinics of North America - Symposium on an Alterable Centric Relation in Dentistry - V.19, N. 3, July 1975. http://www.cleber.com.br/evan.html

Axelsson, P., Lindhe, J. and Wäseby, J. (1976),
The effect of various plaque control measures on gingivitis and caries in schoolchildren (Karlstad).
Community Dentistry and Oral Epidemiology,
4: 232–239. doi: 10.1111/j.1600-0528.1976.tb00990.x

(Lille Karlstad) Holmen L, Mejare M, Malmgren B, Thylstrup A:
The Effect of Regular Professional Plaque Removal on Dental Caries in vivo.
A Polarized Light and Scanning Electron Microscope Study
Caries Research 1988;22: 250-256 (DOI: 10.1159/000261116)

SBU (Statens beredning för medicinsk utvärdering)-rapport »Att förebygga karies - en systematisk litteraturöversikt (sammanfatning och slutsatser)« fra oktober 2002.

Fluorindholdet i drikkevandet i de danske kommuner (vægtet gennemsnit). Fluor i drikkevandet 2004. Kim Rud Ekstrand. Tandlægeskolens hjemmeside http://www.odont.ku.dk/.

Nexø-metoden set i et sundhedsfremmende perspektiv
Kim Rud Ekstrand, Mauri Erik Christian Christiansen
Tandlægebladet 2008-02, 112-123.
samt http://nexodent.com/.

Tænk's hjemmeside http://taenk.dk/
Fluor - for eller imod? 19-02-2010:
»men man FÅR huller, hvis man ikke bruger fluor, siger professor Kim Ekstrand på Tandlægeskolen ved Københavns Universitet«.
Fluor til børn - for eller imod? 05-09-2013:
»men man får huller, hvis man ikke bruger fluor«.

Sven Poulsen, Alan Richards, Bente Nyvad. Om brugen af fluorider i cariesforebyggelsen. Tandlægebladet 2010-08, side 622.

Acta Odontologica Scandinavica 2012 Feb 9. [Epub ahead of print] Effect of a third application of toothpastes (1450 and 5000 ppm F), including a 'massage' method on fluoride retention and pH drop in plaque.

Birthe Cortsen. Rapport 2012.02. Fra Dansk Sundhedsinstituts hjemmeside http://www.dsi.dk/, side 63 i afsnittet 4.23 Mundhygiejne.

http://www.videnskab.dk/ 18-06-2012, Bakterier hjælper dig til nul huller, Twetman S.

Samarbejd med dine POSITIVE BAKTERIER og få dit liv i balance. Probiotika. Reklame for produkterne FotoSan & ProlacSan udsendt til tandlæger efteråret 2013.

Tandlægebladets temanumre om cariologi, nr. 3 og 4, 2013.
http://www.tandlaegebladet.dk/.

Ny sukkerknaldsplakat, Tandlægeforeningen, Tandlægebladet 2013-03, side 191.

Tidlig caries øger risikoen for senere caries.
Isaksson H, Alm A, Koch G et al. Caries prevalence in Swedish 20-year-olds in relation to their previous caries experience. Caries Res 2013;47:234-42.
Tandlægebladet 2013-03, side 193.

Ekstrand K R, Twetman S, Caries - en biofilmmedieret sygdom. Tandlægebladet 2013-03, side 198-203.

15 gennembrud der forandrede odontologien. Den første tandpasta med fluor lanceres i Danmark. Tandlægebladet 2013-03, side 238.

Aarhus-unge i tændernes superliga, og Silkeborgs unge har færre huller. Tandlægebladet 2013-04, side 292.

Ekstrand K R, Twetman S,
Principper og praksis for carieskontrol med fluorider,
Tandlægebladet 2013-04, 298-304.

Bakhshandeh A, Ekstrand KR, Qvist V, Plastforsegling og infiltration af okklusale og approksimale carieslæsioner. Tandlægebladet 2013-04, 306-313.

Ekstrand K R, Twetman S, Forfatternes svar til Tandlæge Benny Kaufmann Solbirk, Tandlægebladet 2013-04, side 333.

Skift tandlægeboret ud med lak og Kun hver femte bruger tandtråd dagligt. Tandlægebladet 2013-05, side 380.

De unge i Odder har næsten ingen huller. Tandlægebladet 2013-06, side 460.

Alderen har ingen betydning – for tandbørsten.
»Undersøgelsen viser i øvrigt også, at tandpasta ikke forbedrer plakfjernelse ved tandbørstning.«
Rosema N, Hennequin-Hoenderdos N, Versteeg P et al. Plaqueremoving efficacy of new and used manual toothbrushes – a professional brushing study. Int J Dent Hyg 2013. [Epub ahead of print].
Tandlægebladet 2013-06, side 460.

Cariesforebyggelse, Benny Kaufmann Solbirk, Tandlægebladet 2013-06, side 486.

Plakat med sukkerknalder får en sund søster, Tandlægeforeningen, Tandlægebladet 2013-07, side 547.

L.S Larsen, B Nyvad, Alan Richards. Aktivt fluorid i fluortandpastaer på det danske marked. Tandlægebladet 2013-08, side 638-644.

Børnene arver de dårlige tænder. Tandlægebladet 2013-09, side 704.

Mælk efter cornflakes beskytter tænderne. Tandlægebladet 2013-10, side 805.

K.R. Ekstrand, H Zahir. Anvendelse af fluoridforbindelser i tandlægepraksis. Tandlægebladet 2013-10, side 836-840.

Børst tænder på seks sekunder. Tandlægebladet 2013-11, side 888.

Cariesbog, Caries Management - Science and Clinical Practice. Meyer-Lueckel H, Paris S, Ekstrand K. Tandlægebladet 2013-12, side 984.

Forebyggende tandpleje for børn og unge i Norden. Januar 2014. Jürgensen N, Petersen PE. Opfordring til at deltage i den fællesnordiske opfølgende kortlægningsundersøgelse om forebyggende tiltag rettet mod børn og unges tandsundhed.

Yoghurt bekæmper plakbakterier. Tandlægebladet 2014-02, side 95.

Højt fluorindhold mest effektivt mod rodcaries. Tandlægebladet 2014-02, side 98.

En ært er ikke bare en ært. Tandlægebladet 2014-03, side 187.

Boganmeldelser. Toothpastes og Comprehensive Preventive Dentistry. Tandlægebladet 2014-03, side 192.

Probiotika til småbørn gav mindre caries. Tandlægebladet 2014-04, side 260.

Fluor til ortodontipatienter. Tandlægebladet 2014-04, side 290.

Bakhshandeh A, Ekstrand KR, Infiltration og forsegling versus fluorlakering af okklusale carieslæsioner i primære molarer. 2-3 års resultater. Tandlægebladet 2014-04, side 294.

Tandlægeforeningens foldere, bakterier hjælper dig Prolacsan, huller uden fluor. Undersøgelse om tandpleje.